Caso

2020-03-25.ACT9-Cahun_Emily

  • Anamnesis

    Anamnesis

    Se realizó la historia clínica en la cuál se recopilaron los datos generales del paciente.
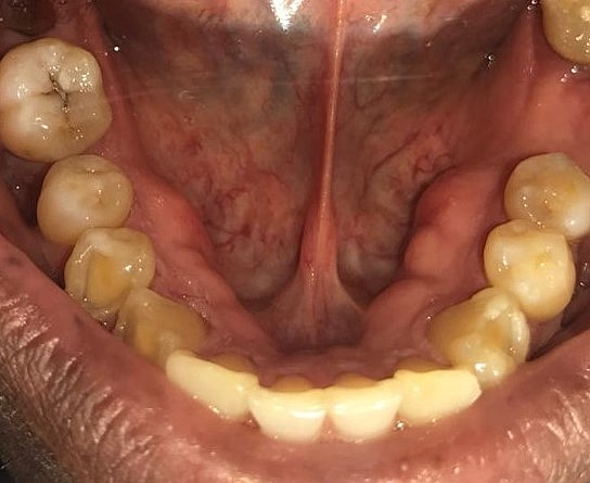
  • Fotografías intra orales

    Fotografías intra orales

    Se tomaron fotografías para tener un registro durante el tratamiento.
  • Fotografías extra orales

    Fotografías extra orales

    Se tomaron para tener un registro durante el tratamiento.
  • Sondeo

    Sondeo

    Se encontró bolsa periodontal en dos órganos dentales (1.3 y 2.3). no presento sangrado.
  • Serie Radiográfica

    Serie Radiográfica

    Se realizó una serie radiográfica de todos los órganos dentales, en el cual se observo una lesión apical en el órgano 1.7. se le dio una orden para la radiografía panorámica.
  • Toma de modelos

    Toma de modelos

    Se realizó para tener el registro de mordida durante el tratamiento.
  • Profilaxis

    Se realizara limpieza dental, para retirar el sarro supragingival.
  • Fase 1: fase periodontal

    Se realizará curetaje cerrado en el cuadrante 1 y 2 (en los órganos comprometidos con bolsas periodontales, 1.3 y 2.3).
  • Fase 2: fase operatoria

    Se realizará eliminación de tejido carioso en el órgano dental 2.7 y se le hará restauración con composite.
  • Fase 2: fase operatoria

    Se realizará la restauración de los órganos dentales que presentan desgaste oclusal con composite. (1.3, 2.3, 3.3, 3.4 y 4.3).
  • Fase 3: fase quirúrgica

    Se realizará alargamiento de corona en el órgano dental 1.7, para poder retirar el tejido carioso.
  • Fase 3: fase quirúrgica

    Se realizará la extracción de los órganos dentales 1.6 y 3.7.
  • Fase 3: fase quirúrgica

    Se realizará cirugía del torus lingual, para poder confeccionar la prótesis parcial removible.
  • Fase 4: fase protésica

    se tomara los modelos de estudio para la confección de la prótesis parcial removible.
  • Fase 4: fase protésica

    Se probará la cucharilla individual y se tomará la impresión fisiológica.
  • Fase 4: fase protésica

    Prueba de rodetes y de la estructura metálica.
  • Fase 4: fase protésica

    Prueba de enfilado de los dientes.
  • Fase 4: fase protésica

    Entrega de la prótesis e indicaciones al paciente sobre el cuidado e higiene de la misma.

Looking for a timeline maker?

Create timelines for projects, roadmaps, history, lessons, legal cases, and stories with Timetoast. Timetoast is a timeline maker for work, school, research, and stories.