Personas icono mujer cara feliz 24640 19284

2020-03-30.ACT9 y 10-Tapia_Vanessa

  • Anamnesis

    Anamnesis

    Acude a consulta odontológica paciente femenino de 44 años, se realizó historia clínica, exploración física donde se noto sobrepeso, al realizar preguntas en antecedentes patológicos hereditarios refirió: madre con enfermedad del corazón y padre con enfermedad del riñón.
    Antecedentes personales patológicos fueron preguntados y negados.
    Antecedentes personales no patológicos tiene hábitos higiénicos deficientes.
  • Examinación

    Examinación

    Se tomó fotografías extraorales e intraorales y se realizó sondaje periodontal.
  • Análisis extraoral

    Análisis extraoral

    Se encontró una sonrisa media donde expone del 75% al 100% de los dientes, un tipo de cara mesocefálico y un perfil convexo.
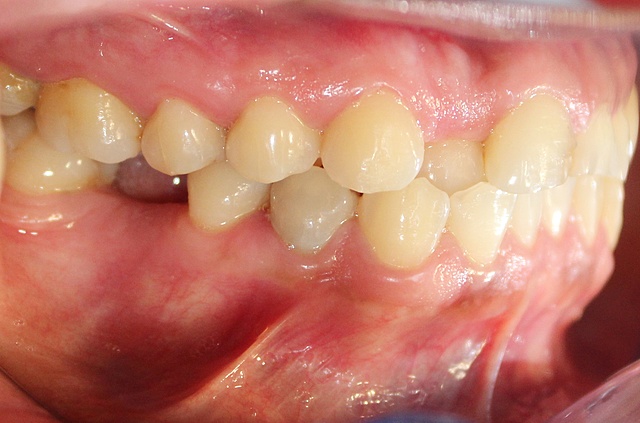
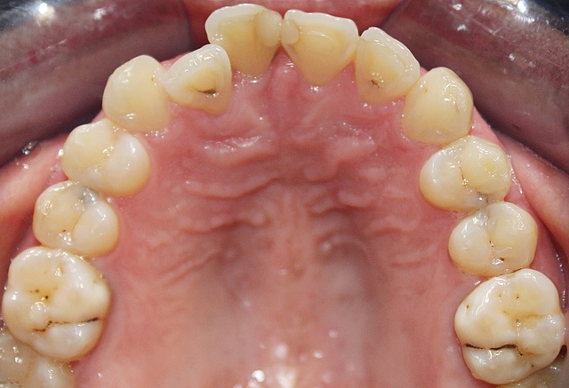
  • Análisis intraoral

    Análisis intraoral

    Se encontró un apiñamiento leve, restauración filtrada en OD 1.1 y 2.1. Caries en OD 1.2, 1.5 1.6, 1.7, 1.8, 2.2, 2.4, 2.5, 2.6, 2.7, 3.4, 3.5, 3.8, 4.5, 4.7 y 4.8. Ausencia de OD 3.6, 3.7 y 4.6.
  • Análisis radiográfico

    Análisis radiográfico

    Se tomó serie radiográfica periapical donde se encontró que el OD 4.4 es un diente previamente tratado donde no presenta ninguna lesión periapical y una zona radiopaca en la restauración filtrada de los OD 1.1 y 2.1.
  • Diagnóstico

    Diagnóstico

    Edentulismo Clasificación III de Kennedy inferior.
    Periodontitis estadio II grado A.
    Endodoncia filtrada del OD 4.4. Diagnóstico pulpar: diente previamente tratado. Diagnóstico periapical: periápice aparentemente sano
  • Análisis oclusal

    Análisis oclusal

    Clase de Angle:clase canina I derecha y clase canina I izquierda, ausencia de primeros molares inferiores para establecer clase molar.
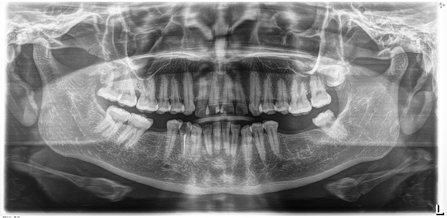
  • Análisis radiográfico

    Análisis radiográfico

    Se mandó a tomar la radiografía panorámica donde se observó la posición del OD 1.8, 2.8, 3.8 y 4.8. La reabsorción osea horizontal, restauración filtrada del OD 1.1 y 2.1. El OD 4.4 previamente tratado.
  • Toma de modelos

    Toma de modelos

    Se tomó modelos de diagnóstico.
  • Montaje de modelos

    Se articuló modelos de diagnóstico para el encerado.
  • Tratamiento inicial

    Se realizará la fase 1 periodontal del OD 1.6, 1.7, 2.6 y 2.7
  • Endodoncia

    Se hará el retratamiento de endodoncia del OD 4.4
  • Prótesis

    Se colocará un poste de fibra de vidrio para realizar la preparación del OD. 4.4 y colocar el provisional de acrílico.
  • Extracción dental

    Exodoncia del OD 1.8
  • Impresiones

    Se realizará la toma de modelos de impresión con silicona, se registrará mordida y toma de antagonista.
  • Prueba de rodetes y selección de color

    Se realizará la prueba de rodetes para la prótesis removible y la selección de color para los dientes.
  • Prueba de corona

    Se realizará la prueba de metal del OD. 4.4
  • Alargamiento de corona

    Se realizará un alargamiento de corona del OD.1.1, 2.1 y 4.4
  • Prueba de corona y removible

    Se realizará la prueba de bizcocho del OD 4.4 y se hará la prueba de esqueleto del removible.
  • Carillas

    Se colocará carrillas directas en el sector anterior.
  • Tratamiento final

    Se realizará la cementación de la corona de metal-porcelana del OD 4.4 y la colocación de la prótesis removible.
  • Resultado final

    Se rehabilitó con prótesis fija, prótesis parcial removible y carillas.
    El paciente será referido con el especialista de ortodoncia.

Want to make a timeline like this?

Use Timetoast to turn dates, events, milestones, and phases into a clear visual timeline you can build and share. Timetoast is a timeline maker for work, school, research, and stories.