2020-03-20.ACT-07. POSADAS_CARLOS

  • ANAMNESIS

    ANAMNESIS

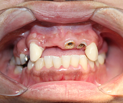
    paciente femenino de 42 años, al observar al paciente de manera extraoral, a la palpación no se detecta abultaciones o indicio de alguna patologia, no padece ipertension, ni diabetes. se observa en la inspeccion intraoral, con edentulismo parcial, los dientes existentes con multiples caries y amalganmas filtradas
  • FOTOS INTRAORALES

    FOTOS INTRAORALES

    Se realiza toma fotografica intraoral, donde se registra que el paciente se encuentra parcialmente edentulo tanto en carcada superior como inferior.
  • IMPRESIONES ANATÓMICAS III

    IMPRESIONES ANATÓMICAS III

    Se realiza la etapa clinica con el registro de impresiones de los tejidos bucales en posición pasiva o estetica, tomando un registro fiel de la anatomia bucal del paciente.
  • SERIE RADIOGRAFICA

    SERIE RADIOGRAFICA

    Se diagnóstica de manera independiente cada organo dentario, para determinar su vitalidad o lesión que pueda padecer, esto se hace con pruebas especificas en el area endodontica. como son prueba de calor, frio o percisión
  • ORTOPANTOMOGRAFIA

    ORTOPANTOMOGRAFIA

    Paciente referido a estudio radiologico, para toma ortomantomografica, como apoyo para el diagnostico y plan de tratamiento, esta toma radiologica muestra las estructuras anatomicas de soporte dentario y posicion mandibular del paciente.
  • SONDEO PERIODONTAL

    SONDEO PERIODONTAL

    se realiza sondeo para inspeccionar si existe enfermedad periodontal, y en que nivel se encuentra, locaizando bolsas periodontales localizadas en OD. 2.8, 4.7 y 4.8.
  • ANALISIS DE SONRISA

    ANALISIS DE SONRISA

    La linea de la sonrisa no es valorable, esta linea se puede medir cuando hay organos dentarios anterosuperiores y anteroinferiores.
  • DIAGNOSTICO

    DIAGNOSTICO

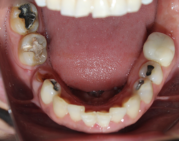
    El paciente ´resenta edentulismo parcial en ambas arcadas poe ausencia de OD. 1.1, 1.2, 1.4., 1.7, 1.8, 2.4, 2.5, 2.6, 3.7, 3.8, y 4.6.
    amalgamas filtradas en OD.1.6,2.6,3.4,3.5,4.8.
    Endodoncias previamente en OD. 2.1 y 2.2, lesiones apicales en OD. 1.3, 1.6, 2.3, 3.5, 3.6 y 4.1
    curacion provisional de HC: filtrada en OD. 3.7. remanente radicular 4.5
  • PLAN DE TRATAMIENTO

    PLAN DE TRATAMIENTO

    Fase higiénica, y curetaje cerrado.
    Exodoncias por motivos protesicos de los OD. 2.8,3.5,3.7,3.8,4.8.
    fase operatoria y fase endodóntica.
    confeccion de la PPR y coronas libres de metal en OD. 1.3 y 2.3 y corona metal porcelana en OD. 3.7
    protesis parcial removible superior e inferior
  • FASE HIGIENICA (PROFILAXIS)

    FASE HIGIENICA (PROFILAXIS)

    Se procede con la profilaxis, utilizando punta de cavitron irrigando con agua para evitar el calentamiento en la zona dental trabajada, con esta limpieza profiláctica se logra el retiro de la placa bacteriana que se deposita en el area subgingival de los dientes. La zona donde se localiza mas placa bactériana es en el área lingual de los dientes anteroinferiores.
  • CURETAJE CERRADO

    CURETAJE CERRADO

    Se trata al paciente con la fase I periodontal. lo que significa que se retiró el sarro de manera mecánica, con curetas de diferentes tamaños, a esta tecnica se le conoce como raspado y alizado. supragingival que consiste en retirar calculos adheridos en los organos dentarios.
  • EXODONCIA

    EXODONCIA

    Se realizo retiro de OD. 2.8, 4.5, 4.7 y 4.8. el motivo por el que se retiraron los organos dentarios, fue por motivo protésico, ya que los OD. 4.7 y 4.8 se encontraban mesializados sin soporte de carga masticatoria y en especial el OD. 4.7 se encontraba con una lesión apícal visible en la radiografia periapícal y panorámica, con una bolsa periodontal de 8mm con movilidad grado 3, teniendo medida de las exodoncias de 4.5/10mm. 2.8/20mm y 2.8/20mm.
  • FASE ENDODONTICA

    FASE ENDODONTICA

    Se inicio tratamiento de conductos en los OD. 1.3, 1.6, 2.3, 3.5,3.6 y 4.1 , cabe mencionar que a los OD. 1.3, 2.3 y 3.6 se dejan preparaciones para colocar coronas proviosionales de acrílico, para posteriormente colocar postes y coronas de zirconio libre de metal.
  • FASE RESTAURADORA (OPERATORIA DENTAL)

    FASE RESTAURADORA (OPERATORIA DENTAL)

    Se hace retiro de caries en OD.1.1, 1.2, 1.3, 1.5, 1.7, 2.3, 3.6 y 3.7 restaurando con resina A2 fotocurable para regresar funcion masticatoria y estetica dental adecuada, respetando los puntos de contacto para no afectar la altura de la oclusión.
  • FASE PROTESICA (COLOCACION DE PPR).

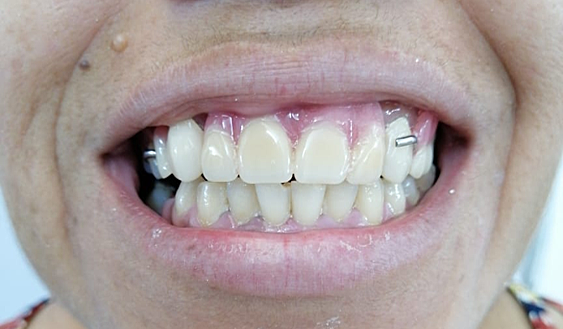
    FASE PROTESICA (COLOCACION DE PPR).

    Se confeccionan protésis parcial removible en ambas arcadas para sustituir los OD. 1.1, 1.2,1.6 y 2.1, 2.2, 2.4, 2.5, 2.6, 3.7, 4.5, 4.6, 4.7. se realizan las pruebas necesarias para lograr la adapatación, soporte y retención adecuada, con el fin de lograr la adecuada altura de la dimensión vertical. asi como la colocación de coronas libres de metal en OD. 1.3, 2.3, y 3.6. Quedando rehabiltado el paciente en su totalidad.

Want to make a timeline like this?

Use Timetoast to turn dates, events, milestones, and phases into a clear visual timeline you can build and share. Timetoast is a timeline maker for work, school, research, and stories.