Foto

2020-03-19. ATC6-Vázquez_Raúl

  • Anamnesis

    Anamnesis

    Paciente femenino de 64 años de edad, acude con motivo de consulta: "Quiero tener una bonita sonrisa". se recolectan los datos del paciente. con problemas de obesidad.
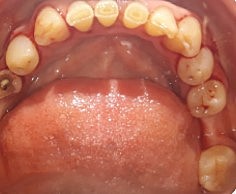
  • Modelos de estudio y  fotografías intraorales

    Modelos de estudio y fotografías intraorales

    Referencia a una réplica exacta de la estructura dental del paciente.
  • Sondeo y periodontograma

    Sondeo y periodontograma

    Se observa presencia de placa sangrado. De igual manera, bolsas mayores de 3 en OD 1.7, 1.5, 2.5, 3.5, 4.4 Y 4.5.
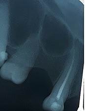
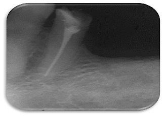
  • Serie radiográfica

    Serie radiográfica

    Se realiza la toma de radiografías peri apical. Se observa pérdida ósea considerable así como ensanchamiento periodontal en OD 1.1 y 2.1.
  • Fase higiénica

    Fase higiénica

    Se realiza limpieza dental, se le instruye a la paciente técnica de cepillado Bass modificado.
  • Fase periodontal

    Fase periodontal

    se realizo fase 1 periodontal en OD 1.7, 1.5, 2.5, 3.5, 4.4 Y 4.5.
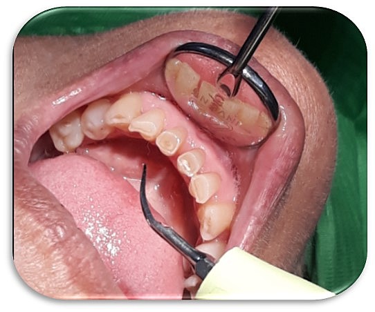
  • Endodoncia del OD 1.3

    Endodoncia del OD 1.3

    Se realiza endodoncia con DX Pulpar: pulpitis irreversible asintomática y DX
    Periapical: periápice sano
  • Endodoncia del OD 4.5

    Endodoncia del OD 4.5

    Se realiza el retratamiento endodóntico. Se procede a retirar la gutapercha contaminada y se obtura nuevamente con seraplex.
  • Period: to

    Férulas de Michigan

    Férulas para la desprogramación y relajación muscular.
  • Endodoncia del OD 1.5

    Se realizara endodoncia por motivos protésicos, para posteriormente preparar para colocar corona.
  • Endodoncia del OD 2.5

    Se realizara endodoncia por motivos de sensibilidad dental. Se observa una comunicación pulpar asintomática.
  • Period: to

    guardas y prótesis transitoria

    se elaboran con el fin de ayudar a la recuperación de la dimensión vertical.
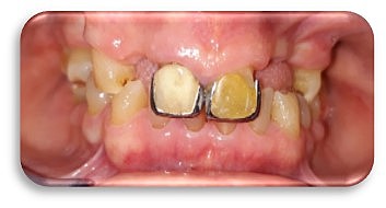
  • Provisional en OD .1 y 2.1

    Se retiraran las coronas fenestradas y posteriormente se realizaran las endodoncias.
  • Period: to

    prótesis transitoria

    Se colocaran para ayudar al aumento de la dimensión vertical,
  • Endodoncia de los OD 1.1 y 2.1

    Se realizaran las endodoncias debido a que las coronas se encontraban con filtraciones.
  • colocación de poste en OD 4.5

    Se colocara poste de fibra de vidrio.
  • Preparaciones dentarias para coronas OD 1.5, 2.5 y 4.5

    Se realizaran preparaciones con líneas de terminación chaflán, y posteriormente tomar la impresión.
  • Impresión final

    Se realizara la toma de impresión con silicona pesada y fluida para una mayor captura de las estructura dentales.
  • Prueba de núcleos y de metal para coronas

    coronas libre de metal OD 1.2,1.2, 1.1, y 2.1 y metal porcelana en OD 1.5, 2.5 y 4.5.
  • Prueba de bizcocho

    Consiste en la colocación de la corona no glaseada en boca para poder comprobar que el laboratorio ha colocado correctamente el metal o núcleo.
  • Cementación de coronas

    coronas libre de metal OD 1.2,1.2, 1.1, y 2.1 y metal porcelana en OD 1.5, 2.5 y 4.5.
  • Cita de control

Plan projects on a visual timeline

Map milestones, phases, deadlines, and key events in one place so the sequence is easier to see and share. Timetoast is a timeline maker for work, school, research, and stories.