Mujer negocios mujer icono 24877 11464

2020-03-19. ACT6-Tzec_Jorge

  • Period: to

    Profilaxis

    Se realizó limpieza de los órganos dentarios
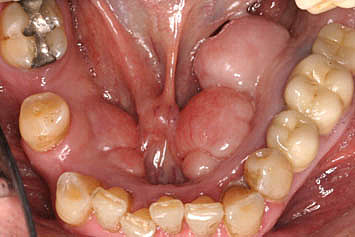
  • Cirugía de torus palatino

    Cirugía de torus palatino

    Se realizó extracción....
  • Period: to

    Endodoncias

    Se realizaron endodoncias en los órganos dentario...

A list shows items. A timeline shows sequence.

Use Timetoast to make dates, milestones, and turning points easier to understand in a clear visual format. Timetoast is a timeline maker for work, school, research, and stories.