2020-03-18. ACT7. HERNÁNDEZ_GLADYS

  • Tratamientos previos

    Se le realizo tratamientos en diferentes órganos dentales por fractura en O.D 2.1 Y 2.2, se le coloco corona.
  • Historia clínica y Anamnesis

    Historia clínica y Anamnesis

    Exploración intraoral, sondeo, odontograma.
    Antecedentes personales patológicos: Diabetes.
    Antecedentes heredo familiares: hermana padeció cáncer.
  • Toma de radiografias.

    se realizo la toma de serie de radiografias periapicales.
  • Analisis intraoral y extraoral.

    Analisis intraoral y extraoral.

    Se le tomo a la paciente fotografías intraorales y extraorales.
  • Toma de modelos.

    Se realizo la toma de impresiones con alginato para que seguidamente se corriera en yeso.
  • Diagnostico.

    Diagnostico.

    Se le informo al paciente sobre su diagnostico y en que consistirá el tratamiento.
  • Inicio de tratamiento.

    Fase 1: Fase higiénica.
    Curetaje cerrado.
  • Fase 2: Endodoncia.

    Endodoncia en 2.1
  • Poste de fibra de vidrio.

    colocación de poste de fibra de vidrio en organo dental 2.1
  • Fase 3: Restaurativa

    Resina compuesta en 1.4,1.5,1.6.
  • Restauración con resina compuesta.

    Resina compuesta en 1.7,1.8,2.4.
  • Restauración con resina compuesta.

    Resina compuesta en 2.5,2.6,2.7.
  • Restauración con resina compuesta.

    Resina compuesta en 2.8,3.6,3.7.
  • Restauración con resina compuesta.

    Resina compuesta en 3.8,4.4,4.5.
  • Restauración con resina compuesta.

    Resina compuesta en 4.6,4.7,4.8.
  • Fase 4: Protesica.

    Preparacion de Organo dental 2.1 y 2.1
  • Realización de provisionales.

    se le realizara provisionales de acrílico al paciente.
  • Impresión definitiva.

    se le tomara al paciente modelos con silicona: Con hilo retractor previo remojado en hemostatico se coloca alrededor del diente preparado. seguidamente con la cucharilla se coloca silicona pesada y en el diente silicona ligera y se toma la impresion. al final se toma registro de mordida y se envía al laboratorio.
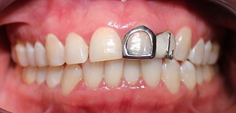
  • Prueba de metal.

    Se realizara prueba de metal donde verifica que todo este bien y que tenga el grosor adecuado.
  • Prueba de Bizcocho.

    se realiza la prueba de bizcocho verificando que selle bien.
  • Tratamiento final.

    Cementado con ionomero de vidrio.

Want to make a timeline like this?

Use Timetoast to turn dates, events, milestones, and phases into a clear visual timeline you can build and share. Timetoast is a timeline maker for work, school, research, and stories.