Plan rehabiltiacion oral

2020-03-25. ACT7-Arguelles_David.

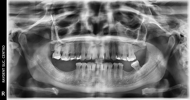
  • Análisis Radiográfico.

    Análisis Radiográfico.

    Se toma radiografía panorámica.
  • Valoración y diagnostico

    Valoración y diagnostico

    PX de 49 años de edad acude a la clínica de odontología de la universidad del sur por motivos de sensibilidad dental en algunos órganos dentarios.
    se realiza valoración dental así como también el análisis intraoral y extraoral, se observan espacios edentulos en el maxilar inferior, resinas filtradas, movilidad dental del OD, 4.2 y amalgamas en los dientes posteriores superiores.
  • Análisis radiográfico por serie periapical.

    Análisis radiográfico por serie periapical.

    Px acude para la toma de serie radiográfica.
  • Impresiones y articulado.

    Impresiones y articulado.

    Px acude para la toma de impresiones con alginato y para el articulado.
  • Fase 1

    Fase 1

    Fase 1 periodontal en cuadrantes 3 y 4.
    Ferulización de OD.4.2
  • Endodoncia.

    Endodoncia.

    Endodoncia OD. 3.5
  • Fase 1

    Fase 1

    Fase 1 periodontal en cuadrantes 1 y 2.
  • Endodoncia.

    Endodoncia.

    Referir endodoncia OD. 2.6 y 3.7
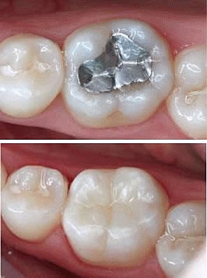
  • Cambio amalgamas.

    Cambio amalgamas.

    Cambio de amalgama por resina OD. 1.7, 1.5, 1.6.
  • Cambio amalgamas.

    Cambio amalgamas.

    Cambio de amalgamas por resinas OD. 1.4, 2.5. 2.4
  • Revaloración periodontal.

    Revaloración periodontal.

    Sondeo y revisión del estado del periodonto de los cuadrantes.
  • Impresión para prótesis fija.

    Impresión para prótesis fija.

    Tallado e impresión de lo dientes 3.7, .5, 2.6.
  • Prueba de metal.

    Prueba de metal.

    Prueba de metal de prótesis fija.
  • Prueba bizcocho.

    Prueba bizcocho.

    Prueba de bizcocho de las coronas.
  • Entrega coronas e impresión para prótesis removible.

    Entrega coronas e impresión para prótesis removible.

    Cementado de coronas e impresión para la elaboración de prótesis removible.
  • Prueba rodetes.

    Prueba rodetes.

    Prueba de rodetes, toma de altura y toma de color.
  • Prueba de dientes en cera.

    Prueba de dientes en cera.

    Prueba de dientes en los rodetes, se revisara también la oclusión y corroborar que el color sea el adecuado.
  • Entrega prótesis removible.

    Entrega prótesis removible.

    Entrega y ajuste de prótesis removible.
  • Carillas directas.

    Carillas directas.

    Elaboración de carillas directas de los OD. 1.5 - 2.5.
  • Reconstrucción borde incisal.

    Reconstrucción borde incisal.

    Reconstrucción del borde incisal de los dientes antero inferiores.
  • Valoración

    Valoración

    Valoración del estado de la cavidad bucal, ajuste de la prótesis.

Looking for a timeline maker?

Create timelines for projects, roadmaps, history, lessons, legal cases, and stories with Timetoast. Timetoast is a timeline maker for work, school, research, and stories.