14 6 2010 7.6.43 1 1

Tripanosomiasis Americana

  • 1.DESCRIPCION CASO

    1.DESCRIPCION CASO

    • Niño 7 años de edad, aprentemente sano Originario y residente de Cortijo, Catenario, Veracruz,mexico. *convive con ganado porcino, vacuno y aves
    • Acude con cuadro clinico de 15 dias de evolucion caracterizado por fiebre cuantificada de 39,5ºC predominio vespertino: *Edema palpebral derecho *Dolor en hemicara derecha *Mialgia en extremidades inferiores *Cefalea frontal asociada con fiebre *Malestar general e hipoxia ANTECEDENTE PICADURA DE INSECTO 3 DIAS ANTES
  • TRATAMIENTO

    TRATAMIENTO

    En region supraciliar derecha fue vista por la madre y se refiere "chinche"
    *Fue valorado por un medico de su comunidad y recibio tratamiento con:
    Dicloxacilina, nimesulina, dexametasona durante 3 dias sin mejoria.
    Posteriormente se dirije al centro de salud de la ciudad al Instituto Nacional de Pediatria, y se reiere como celulitis perio
  • Period: to

    OTRAS CONSULTAS

    Posteriormente se dirije al centro de salud de la ciudad al Instituto Nacional de Pediatria, y se reiere como:
    CELULITIS PERIORBITARIA
  • 2.EXAMENES HEMATOLOGICOS

    2.EXAMENES HEMATOLOGICOS

    HEMOGLOBINA:12.5 g/dl HEMATOCRITO: 35%
    VCM:82.3 fl CHCM:28.7q/dl
    LEUCOCITOS: 10.700 cel/L
    LINFOCITOS:69% NEUTROFILOS: 25%

    MONOCITOS 3% EOSINOFILOS 0% PLAQUETAS:253.000 Cel/L

    VSG:34 mm/h

    PCR: Menor 0.0302 mg/ml
  • 2.RADIOGRAFIA TORAX

    2.RADIOGRAFIA TORAX

  • 1.OTROS SIGNOS

    1.OTROS SIGNOS

    Paciente se encuentra conciente, tranquilo, con lesion eritematosa y descamatica por arriba del parpado superior derecho de aproximademante 3x2 (SIGNO DE ROMAÑA-MAZA)
    No dolorosa
    *Respuesta fotomotora y movimientos oculares sin compromiso
    *Dos adenomegalias submandibulares, derechas menores de 1 cm de diametro, moviles y no dolorosas
    *Funcion cardiopulmonar sin cmpromiso,no se hallaron viseromegalias y las extremidades se encontraron sin alteraciones
  • 3. PRUEBAS SERICAS

    3. PRUEBAS SERICAS

    SODIO 134 mmo/L POTASIO: 4 mmo/L CLORO: 102 mmo/L
    CALCIO:9.8mg/dl

    FOSFORO: 5mg/dl GLUCOSA:109mg/dl
    UREA:17.1 mg/dl

    NITROGENO UREICO EN SANGRE:8mg/dl
    CREATININA: 0.5 mg/dl

    BILIRRUBINA TOTAL: 0.5 mg/dl
    BILIRRUBINA DIRECTA: 0.1mg/dl

    BILIRRUBINA INDIRECT: 0.4 PROTEINAS TOTALES: 7.1 g/l
    ALBUMINA:2.7 g/dl GLOBULINA:4.4 g/dl
    TRIGLICERIDOS:116 mg/dl COLESTEROL: 172 mg/dl
    AST:65IU/l HDL:550 IU/L
    PT:12.7 Seg TT:34 seg INR:1.11
    ECOCARDIOGRAMA: NORMAL
  • 4.  OTRAS PRUEBAS

    4. OTRAS PRUEBAS

    *ELISA: Deteccion IgM y diagnostico enfermedad de Chagas: reactiva
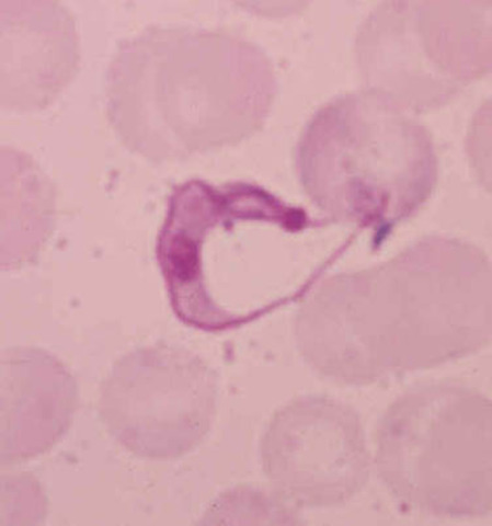
    *FROTIS SANGRE PERIFERICA: se encontró Trypomastigotes
    *Se inicia estudio para deteccion del agente en la familia
    DIAGNOSTICO: Tripanosomiasis Americana en fase aguda
  • 5.  TRATAMIENTO

    5. TRATAMIENTO

    NIFURTIMOX a una dosis 5mg/kg via oral cada 8 horas
    dosis inicial 72 horas tiene buena tolerancia, se incrementa dosis a 10 mg cada 8 horas por 90 dias
    * Es monitoreada por pruebas de funcionamiento hepatico, electrocardiograma y ecografia
  • Period: to

    TRATAMIENTO

  • EVOLUCION DEL PACIENTE

    EVOLUCION DEL PACIENTE

    *Paciente presento bena tolerancia al tratamiento
    *Se realizo valoracion radiografica, electrocardiograma, ecocardigrama: resultados NORMALES

Plan projects on a visual timeline

Map milestones, phases, deadlines, and key events in one place so the sequence is easier to see and share. Timetoast is a timeline maker for work, school, research, and stories.