Teoría cognitivista

Linea del tiempo-Teoría Cognoscitivista

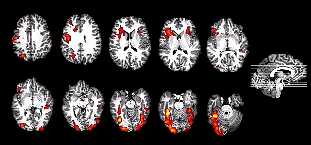
  • Uso de la Resonancia Magnética Funcional para estudiar la habilidad lingüística - (2006).
    2006 BCE

    Uso de la Resonancia Magnética Funcional para estudiar la habilidad lingüística - (2006).

    Con el desarrollo de la tecnología de resonancia magnética funcional fue posible identificar qué áreas del cerebro se encuentran más activas durante ciertas actividades. En 2006, Byars, Holanda, Schithorst y Scaflarski (2006) realizaron una investigación utilizando esta tecnología para estudiar la lateralización del lenguaje en los cerebros de niños y adultos.
  • Publicación de Terapia Cognitiva de la Depresión, Aaron Beck, John Rush, Brian Shaw y Gary Emory - (1987).
    1987 BCE

    Publicación de Terapia Cognitiva de la Depresión, Aaron Beck, John Rush, Brian Shaw y Gary Emory - (1987).

    Dentro de su libro de Terapia Cognitiva de la Depresión, los autores Beck, Rush, Shaw y Emory abogan por la utilización de la terapia cognitiva en el lugar de medicamentos antidepresivos para tratar la depresión. Se emplea el modelo cognitivo desarrollado por Beck para ayudar a pacientes con depresión, estableciendo que es necesario cambiar pensamientos irracionalmente negativos
  • Publicación de Principios de la Psicología, escrita por William James - (1890).
    1980 BCE

    Publicación de Principios de la Psicología, escrita por William James - (1890).

    El psicólogo funcionalista William James publica su obra, Principios de la Psicología (1980) en el año 1890. Dentro de dicha obra, James aporta conocimientos importantes sobre la conciencia, la atención y la percepción y los psicólogos cognitivos de la actualidad aún emplean los conocimientos aportados esta obra.
  • Publicación de Psicología Cognitiva, por Ulric Neisser - (1967).
    1967 BCE

    Publicación de Psicología Cognitiva, por Ulric Neisser - (1967).

    A Ulric Neisser se le reconoce como el padre de la psicología cognitiva. En 1967, este psicólogo publica su obra, Psicología cognitiva, la cual amplificó el interés por este enfoque de la psicología. Además, esta obra transmite información sobre la psicología cognitiva a gran escala dentro del ámbito académico.
  • Noam Chomsky critica la obra de Conducta Verbal, escrita por BF Skinner - (1959).
    1959 BCE

    Noam Chomsky critica la obra de Conducta Verbal, escrita por BF Skinner - (1959).

    Noam Chomsky emite una crítica de la obra de Conducta Verbal, escrita por BF Skinner. Skinner establecía que las habilidades para el lenguaje eran adquiridas gracias a estímulos externos. Sin embargo, Chomsky estableció que el cerebro humano tiene una capacidad lingüística innata. Efectivamente, Chomsky se opone a la postura conductista al abogar por que los procesos lingüísticos pueden quirúrgicos sin requerir estímulos externos.
  • Publicación de Lenguaje y Comunicación, por George Miller - (1951).
    1951 BCE

    Publicación de Lenguaje y Comunicación, por George Miller - (1951).

    George Miller es el fundador del campo de estudio de la psicolingüística. Dicho campo de estudio unifica a la psicología, la cognición y el lenguaje. La publicación de su obra Lenguaje y Comunicación en 1951, difundió información sobre este novedoso campo de estudio.
  • Prueba de Turing - (1950).
    1950 BCE

    Prueba de Turing - (1950).

    A través de la inteligencia artificial, es posible comparar los procesos de las computadoras con los procesos cognitivos de las personas. Alan Turing creó la Prueba de Turing en 1950, la cual se define como una prueba que examina si el comportamiento de una máquina puede distinguir el comportamiento del humano.
  • Teoría Hebbiana - (1949).
    1949 BCE

    Teoría Hebbiana - (1949).

    La psicobiología evalúa estudiar los procesos mentales desde un punto de vista biológico. Por lo tanto, el involucramiento de la psicobiología propició la validez del estudio de los procesos mentales científicamente. Así mismo, Donald Hebb propuso su teoría Hebbiana en 1949, en la cual propone las asambleas de neuronas son las responsables de llevar a cabo el proceso de aprendizaje.
  • Publicación de Gestalt Psychology: An Introduction to New Concepts in Modern Psychology, por Wolfgang Köhler - (1947).
    1947 BCE

    Publicación de Gestalt Psychology: An Introduction to New Concepts in Modern Psychology, por Wolfgang Köhler - (1947).

    Wolfgang Köhler fue uno de los fundadores de la psicología de la Gestalt, y dentro de su libro describe los principios y conceptos principales de la misma, indicando que los procesos mentales necesarios comprenden como una completa.
  • Publicación de La Conducta de los Organismos, por BF Skinner - (1938).
    1938 BCE

    Publicación de La Conducta de los Organismos, por BF Skinner - (1938).

    El psicólogo conductista BF Skinner consolidó su concepto de condicionamiento operante en su obra, La Conducta de Los Organismos (1938). En ella, el autor define que los comportamientos del ser humano son perpetuados por recompensas. De la misma forma, las conductas disiminuyen en frecuencia ante estímulos negativos. Skinner establece que el comportamiento humano no es innato y responde normalmente a estímulos externos.
  • Realización del Experimento del Pequeño Albert, por John B. Watson - (1920).
    1920 BCE

    Realización del Experimento del Pequeño Albert, por John B. Watson - (1920).

    John B. Watson fue un psicólogo que se le acreditó el establecimiento de la escuela conductista. Él llevó a cabo un experimento, conocido como El Pequeño Albert (1920) en 1920, para demostrar que el condicionamiento clásico podría ser aplicado a seres humanos. A través de tal experimento, Watson popularizó el uso de la experimentación científica en la psicología.
  • Conductismo Experimento de los Perros de Pavlov - 1891.
    1891 BCE

    Conductismo Experimento de los Perros de Pavlov - 1891.

    Los experimentos en perros que realiza Ivan Pavlov pueden contribuir conocimientos sobre el aprendizaje. Específicamente, Pavlov constituye el condicionamiento clásico, que establece que el aprendizaje surge de comportamientos que son incitados por estímulos externos.
  • Publicación de memoria, Una contribución a la psicología experimental, escrita por Hermann Ebbinghaus - (1885).
    1885 BCE

    Publicación de memoria, Una contribución a la psicología experimental, escrita por Hermann Ebbinghaus - (1885).

    El psicólogo alemán Hermann Ebbinghaus abogó por el asiociacionismo, que establecía que el aprendizaje surge a través de la asociación entre ideas. Este psicólogo publicado los primeros estudios experimentales sobre la memoria dentro de su obra, Memoria, Una contribución a la psicología experimental en 1885.
  • Publicación de la Fenomenología del Espírituo, escrita por Georg Hegel - (1807).
    1804 BCE

    Publicación de la Fenomenología del Espírituo, escrita por Georg Hegel - (1807).

    La obra Fenomenología del Espíritu se publica en 1804 y dentro de ella Hegel emplea su dialéctica compuesta por 3 etapas: tesis, antítesis y síntesis.
  • Fundación del Primer Laboratorio de Psicología Experimental - (1879).
    1789 BCE

    Fundación del Primer Laboratorio de Psicología Experimental - (1879).

    El psicólogo alemán Wilhelm Wundt funda el primer laboratorio dedicado al estudio exclusivo de la psicología en la Universidad de Leizpig. Así mismo, este acontecimiento marcó el nacimiento de la psicología como un campo de estudio independiente.
  • Publicación de la Crítica de la Razón Pura, escrita por Immanuel Kant - (1781).
    1781 BCE

    Publicación de la Crítica de la Razón Pura, escrita por Immanuel Kant - (1781).

    En su obra Crítica de la Razón Pura (1781) Immanuel Kant formula una síntesis del racionalismo y del empirismo, estableciendo que es necesario unificar ambas posturas para la adquisición del conocimiento del mar más efectiva.
  • Publicación de L'homme, escrita por René Descartes - (1664).
    1664 BCE

    Publicación de L'homme, escrita por René Descartes - (1664).

    En 1664 se publica la obra L'homme, escrita por el filósofo, matemático y científico francés René Descartes. Dentro de ella, se explica la teoría del dualismo, la cual crea una distinción entre el cuerpo y la mente.
  • Nacimiento de Platón - (428 AC).
    428 BCE

    Nacimiento de Platón - (428 AC).

    Nace el filósofo griego Platón en Atenas, Grecia. Las ideas de Platón sustentaban que los procesos mentales eran concebidos por el cerebro. También, cabe destacar que este filósofo favorecía una posición racionalista, estableciendo que la ruta hacia el conocimiento podría lograr a través del razonamiento lógico.
  • Nacimiento de Aristóteles - (384 AC).
    384 BCE

    Nacimiento de Aristóteles - (384 AC).

    Nace el filósofo y biólogo naturalista griego Aristóteles en Estagira, Grecia. Aristóteles establecía que los procesos mentales se originaban en el corazón y mantenía una posición contraria al racionalismo de Platón, optando por sustentar al empirismo.

Want to make a timeline like this?

Use Timetoast to turn dates, events, milestones, and phases into a clear visual timeline you can build and share. Timetoast is a timeline maker for work, school, research, and stories.