Invas

Tecnologías invasivas y no invasivas a través del tiempo.

  • Period: 1 CE to 3

    Inspección

    Observar el cuello puede revelar ingurgitación yugular cuando existe neumotórax a tensión o taponamiento cardíaco. Cuando existe cianosis se debe valorar si ésta es central (situación de shunt intracardíaco o pulmonar) o periférica (gradiente térmico por mala perfusión o extracción aumentada de oxígeno en el shock).
  • Period: 1 CE to 3

    Palpación

    La palpación de los pulsos periféricos detecta la frecuencia y el ritmo del latido transmitido; en situación de shock o parada no son detectables, debiendo valorar los pulsos centrales (carotídeo, femoral, braquial). Cuando existe insuficiencia cardíaca derecha se puede palpar hepatomegalia dolorosa y de consistencia elástica,
    así como edemas a nivel pretibial o ascitis cuando la situación está muy evolucionada.
  • Period: 1 CE to 3

    Auscultación

    Se debe evaluar la frecuencia cardíaca, alteraciones en el ritmo, tonos apagados, soplos, roces o ritmo de galope en situación de insuficiencia cardíaca. La auscultación de roncus o crepitantes puede traducir edema intersticial o alveolar cuando existe fracaso del ventrículo izquierdo (VI).
  • Period: 3 to 4

    Ecocardiografía Doppler

    Proporciona amplia información morfológica y funcional, pudiendo objetivar alteraciones anatómicas a nivel cardíaco, dilatación de las cavidades, arritmias, derrame pericárdico, así como obtener índices de función sistólica.
  • Catéter Swan-Ganz
    4

    Catéter Swan-Ganz

    El catéter Swan Ganz es un tipo de catéter central, usado para la monitorización hemodinámica invasiva en la aurícula derecha y la arteria pulmonar del paciente crítico. Tiene varias luces y dispositivos, a través de los cuales se pueden medir los diferentes parámetros a controlar como son gasto cardíaco, presión venosa central, presión de la arteria pulmonar, saturación venosa mixta, temperatura central, administración de medicación y extracción de muestras.
  • Catéter PiCCO
    4

    Catéter PiCCO

    El sistema PiCCO (PULSION Medical Systems AG, Munich, Germany) es una alternativa, para algunas mediciones, al catéter de arteria pulmonar. Esta tecnología utiliza la termodilución transpulmonar y el análisis del contorno de la onda de pulso para calcular el GC y otros parámetros que aportan información sobre el estado de la precarga y la postcarga.
  • Catéter Paratrend
    4

    Catéter Paratrend

    Es un cateter arterial específico para la monitorización de gases intraarteriales. Se instala en arteria pulmonar
  • Doppler esofágico
    4

    Doppler esofágico

    Proporciona una monitorización mínimamente invasiva del GC mediante la medición continua de la velocidad del flujo sanguíneo y el diámetro de la aorta torá-cica descendente. Proporciona también otros parámetros hemodinámicos acerca de la contractilidad, precarga y estado del tono vaso-motor, algunos de ellos obtenidos por medición directa, otros derivados del análisis de la morfología de la onda de velocidad de flujo aórtico, o calculados a partir de la información introducida manualmente.
  • Biorreactancia
    4

    Biorreactancia

    Cálculo del gasto cardiaco, el cual se basa en el análisis del
    cambio de fase que se produce en la onda eléctrica de
    alta frecuencia que es emitida al tórax. Los cambios de
    fase ocurren sólo como resultado del flujo pulsátil, por lo
    tanto, la señal NICOM se correlaciona casi por completo
    con el flujo aórtico.
  • Presión venosa central
    4

    Presión venosa central

    La monitorización de la PVC es una guía útil para la
    reposición de volumen; sin embargo, la PVC por sí sola
    no es un indicador de hipovolemia, pudiendo estar normal o incluso elevada en pacientes con mala función ventricular izquierda.
  • Period: 4 to 5

    Relleno capilar

    Expresa el flujo, éste se enlentece (se alarga más de tres segundos) en situaciones de shock.
  • Period: 4 to 6

    Monitorización cardiaca.

    ECG: Conector con tres cables (convencional) ó 5 cables (ECG completo) nos muestra la actividad cardíaca y respiratoria. La derivación D1 ofrece buenas ondas P (refleja la actividad auricular) y con la derivación D2 se obtienen buenos complejos QRS (actividad ventricular). Los cables para 3 derivaciones (BD, BI y PI) permiten la selección de las derivaciones I, II o III en el monitor.
  • NCPAP
    5

    NCPAP

    Soporte ventilatorio, produce: aumento del volumen pulmonar, capacidad residual funcional (CRF) y compliance, favorece la estabilidad de la caja torácica con disminución de la tendencia al
    colapso alveolar, conserva el surfactante endógeno. Indicaciones: Patologías respiratorias con disminución del volumen pulmonar, CRF, y tendencia al colapso alveolar. También en el edema pulmonar, apneas y traqueobroncomalacia.
  • Gases en sangre arterial
    5

    Gases en sangre arterial

    La medición de gases arteriales es fundamental para el diagnóstico y monitorización de la suficiencia del aparato respiratorio. La medición de gases arteriales permite la evaluación de la oxigenación, ventilación y del estado metabólico.
  • Ventilación mecánica
    5

    Ventilación mecánica

    Soporte artificial a la respiración que introduce gas en la vía aérea del paciente por medio de un sistema mecánico externo. Ésta incluye presión inspiratoria máxima, presión meseta, presión de distensión, lazo presión volumen, además se debe conocer las asincronías paciente ventilador para mejorar el estado respiratorio del paciente o modificar el tratamiento.
  • Radiografía
    5

    Radiografía

    Uso de esta técnica para apoyar el diagnóstico y detectar situaciones adversas como desplazamiento del TET y verificación de la posición de vías centrales, sondas de alimentación.
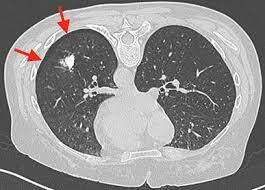
  • Tomografía computarizada
    5

    Tomografía computarizada

    Evalúa la magnitud de la superficie disponible
    para el intercambio gaseoso y el potencial de reclutamiento alveolar.
    Según los expertos, la TAC aún debe considerarse el estándar de oro para la investigación pero no para el uso clínico rutinario.
  • Period: 5 to 7

    Monitorización respiratoria

    Se contabiliza de forma manual y aislada contando las contracciones torácicas producidas en un minuto, Se realiza simultáneamente con la monitorización del ECG dónde puede indicar taquipnea, bradipnea, apenas. También por medio de la Inspección se observará, sincronía de los movimientos respiratorios, tipo de respiración, utilización de la musculatura auxiliar respiratoria, evidencia de aleteo nasal, quejido espiratorio
    o estridor inspiratorio.
  • Period: 5 to 6

    Pulsioximetría

    La saturación de oxígeno de la hemoglobina
    en el interior de los vasos sanguíneos a través de la piel, de forma continua e incruenta. En neonatos se puede utilizar el dorso del pie o de la mano, en los dedos índice, medio o anular. En los casos de mala perfusión, hipotermia, remanso venoso e hipotensión se buscarán zonas más centrales como lóbulo de la oreja, frente o tabique nasal. Los límites de fiabilidad se encuentran para Sat entre 80y 95%.
  • NIRS
    6

    NIRS

    La espectroscopía cercana al infrarrojo es una técnica
    no invasiva que ofrece la ventaja de monitorizar la oxigenación cerebral, dándonos un panorama del estado metabólico
    y hemodinámico de múltiples regiones.Se han propuesto varios sitios de medición (La frente se utiliza como un sitio para evaluar la oxigenación cerebral,la eminencia tenar,el antebrazo,el músculo pectoral, deltoides y la región paravertebral).No existe una recomendación estándar para su uso en procedimientos no cardíacos.
  • Capnografía
    6

    Capnografía

    Es el método estándar que permite monitorizar la eliminación del CO2 sanguíneo durante el ciclo respiratorio en forma continua y en tiempo real.
  • Capnografía  volumétrica
    6

    Capnografía volumétrica

    Permite medir el volumen de CO2 espirado en
    el Vc (mediante el cual se puede calcular el espacio muerto
    respiratorio), ajustar un PEEP óptimo (obteniendo de esta
    forma una mejor oxigenación) y valorar la ventilación y
    perfusión pulmonar.
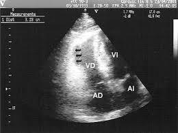
  • Ecocardiografía pulmonar
    6

    Ecocardiografía pulmonar

    La evaluación de la patología pulmonar en tiempo
    real. Recientemente, se ha incrementado su uso en niños para
    el estudio de patologías del pulmón, pleura y diafragma. La
    ventaja en este grupo de pacientes se origina en la falta de
    osificación.
  • Tomografía de impedancia eléctrica
    6

    Tomografía de impedancia eléctrica

    Monitorización no invasiva y en tiempo real mediante el uso de imágenes que representan cambios de impedancia regional pulmonar, que están directamente correlacionadas con cambios regionales de volumen. Se diferencian regiones no
    aireadas e hiperinsufladas, lo que permite evaluar la
    efectividad de una maniobra de reclutamiento alveolar.
  • Biomarcadores LBA
    6

    Biomarcadores LBA

    Propósitos de estudio y rescate bacteriológico en el paciente con SDRA. Mediadores de activación endotelial como la angiopoyetina-2 (Ang-2) y el factor von Willembrand (FvW) se han descrito como marcadores de susceptibilidad y gravedad. Los niveles de fibrocitos en el LBA se han correlacionado con el pronóstico del paciente.
  • Monitorización transcutánea de CO2
    6

    Monitorización transcutánea de CO2

    Valorar continuamente la ventilación alveolar. Los sensores tcPCO2 calientan la piel a una temperatura de 42-43 ◦C, lo que da
    lugar a la vasodilatación del lecho capilar.
  • Period: 7 to 9

    Presión arterial

    Es la presión ejercida por la sangre a su paso por las paredes arteriales. Está determinada por el gasto cardíaco y la resistencia vascular periférica, por ello refleja tanto el volumen de
    eyección de la sangre como la elasticidad de las paredes arteriales. Se puede medir de forma intermitente mediante manguitos neumáticos adaptados al tamaño y edad del niño.
    http://a-t-m.com.mx/
  • Presión arterial media
    8

    Presión arterial media

    Estimación de la presión de perfusión de los tejidos. Puesto que,
    a nivel fisiológico, la vasculatura pierde su capacidad de
    autorregulación a partir de valores de PAM inferiores a 60-
    65 mmHg
  • Marcadores globales de hipoperfusión
    8

    Marcadores globales de hipoperfusión

    La saturación venosa mixta de oxígeno (SvO2), obtenida en la
    arteria pulmonar, probablemente representa el mejor indicador de la adecuación del DO2. Obtenida en la aurícula derecha, ha demostrado una buena correlación con la SvO2. Lactato
    En general, su elevación en sangre indica la presencia de hipoxia tisular y metabolismo anaerobio.
  • Ees
    8

    Ees

    La pendiente de la relación presión-volumen ventricular al final
    de la sístole, denominada elastancia telesistólica (Ees), es
    considerada como el índice de referencia de contractilidad
    debido a su relativa independencia de las condiciones de
    carga y su sensibilidad a los cambios de inotropismo.
  • Termómetro de la arteria temporal
    9

    Termómetro de la arteria temporal

    Miden la temperatura en la frente, aunque lo hacen directamente sobre la arteria temporal. Estos termómetros se desplazan por la frente mientras se realizan las mediciones. Normalmente,
    la temperatura más alta registrada suele obtenerse sobre la arteria temporal.
  • Temperatura corporal central a través de la membrana timpánica.
    9

    Temperatura corporal central a través de la membrana timpánica.

    Sensor de infrarrojos es uno de los métodos de medición de la temperatura más ampliamente utilizados. Es representativa
    de la temperatura corporal central.
  • Termómetro axilar
    9

    Termómetro axilar

    La medición de la temperatura axilar se realiza mediante la colocación del termómetro en la axila, cerca de la arteria axilar, y sujetándolo en su lugar mediante la presión del brazo contra la pared torácica. Normalmente, la temperatura axilar es uno o dos grados inferior a la temperatura corporal central real.
  • Period: 9 to 11

    Temperatura

    Buena localización para temperatura son el hueco axilar, inguinal y rectal por estar menos expuesto a variables externas. Para la medición de la temperatura periférica un buen lugar de colocación es la planta del pie o el pulpejo del dedo gordo. Otra forma más invasiva de medir la temperatura central es por medio de sondas especiales insertadas en esófago, recto o arterias centrales y conectadas a un monitor.
  • Nasofaringe
    10

    Nasofaringe

    Únicamente puede aplicarse a los pacientes anestesiados. El sensor se introduce a través de la nariz y se sitúa por encima de la bóveda del paladar en la cavidad nasal.
  • Vejiga
    10

    Vejiga

    La medición de la temperatura de la vejiga se basa en la inserción de un catéter para la vejiga que incorpora una sonda de temperatura en su extremo distal. El método resulta especialmente útil en pacientes que requieren un catéter para la vejiga durante su tratamiento y no conlleva ningún riesgo adicional.
  • Termografía
    10

    Termografía

    Visualización de una región del cuerpo mediante el uso de
    una cámara de infrarrojos. Las características de este método facilitan el registro de la distribución de temperatura sobre la superficie de la piel del paciente. El método no ofrece precisión suficiente para medir la temperatura corporal central.

A list shows items. A timeline shows sequence.

Use Timetoast to make dates, milestones, and turning points easier to understand in a clear visual format. Timetoast is a timeline maker for work, school, research, and stories.