Radiobiologia y Radioproteccion fase -1

By fervaju
  • Period: to

    WILHELM CONRAD RÖNTGEN

    Padre de la radiología
  • Period: to

    William D. Coolidge

    Inventó el tubo de Coolidge
  • Descubrimiento de los RX

    Los rayos X se descubrieren en este tiempo y nada ha sido igual desde entonces. Röntgen no sabía qué,eran los rayos y, por eso, usó la “X” para denotar la incógnita.
  • Wilhelm Conrad Röntgen

    Wilhelm Conrad Röntgen

    Entregó su manuscrito al secretario de la Sociedad Físico-Médica
    de Würzburg, que decía: “Ahora es posible que se desate una
    hecatombe”. Y, de hecho, así fue.
  • Publicacion de articulos y monografias

    Publicacion de articulos y monografias

    El alto nivel científico en los nuevos rayos, se manifestó con 49 monografías y 1044 artículos especiales sobre los RX.
  • Thomas A Edison

    Thomas A Edison

    inventó un fluoroscopio modificado con una pantalla de tungsteno. La fluoroscopia de tórax se introdujo poco después y permitió al radiólogo observar segmentos de los pulmones y el mediastino.
  • Irène Curie-Radiactividad natural y artificial

    Irène Curie-Radiactividad natural y artificial

    primogénita de los científicos Pierre y Marie Curie, nació en París,
    Francia en 1897,fue una física y química francesa, galardonada con el premio Nobel de Química en 1935,
  • Jean Frédéric Joliot-Radiactividad natural y artificial

    Jean Frédéric Joliot-Radiactividad natural y artificial

    Fue un físico, químico y profesor universitario francés y recibió el premio Nobel de Química en 1935.
  • Paul Langevin-Radiactividad natural y articicial

    Paul Langevin-Radiactividad natural y articicial

    Fue un físico francés, conocido por su teoría del magnetismo y por la organización del Congreso Solvay,este fisico influyo mucho en Jean Frédéric Joliot.
  • Period: to

    Esposos curie-Radiactividad natural y artificial

    Uno de los eslabones de la cadena de descubrimientos del siglo XX, y que tuvo consecuencias muy importantes en el desarrollo de la ciencia, fue encontrar que la radiactividad, descubierta por Becquerel y los esposos Curie en la naturaleza, se podía
    producir en forma artificial.
  • Thomas A. Edison

    Thomas A. Edison

    Una fiebre de Röntgen real se propagó por todo el mundo. El uso
    comercial de la tecnología de rayos X convirtió a la ciencia en una
    especie de espectáculo. No existía la necesidad de ocuparse con sensatez de la peligrosa radiación. Edison terminó sus espectáculos sobre Röntgen en 1904, después de que su asistente principal, Clarence Dally, muriera de quemaduras causadas por los rayos X.
  • Tubo de Coolidge

    Tubo de Coolidge

    William D. Coolidge,inventó el tubo de Coolidge,que contiene un filamento catódico hecho de tungsteno, que fue una mejora del tubo de Crookes.
  • Gustave Bucky

    Gustave Bucky

    Descubrió la rejilla antidifusora, que ayudó a reducir las dosis nocivas de radiación.
  • Primer Congreso Internacional de Radiologia

    Primer Congreso Internacional de Radiologia

    Se reconoció la necesidad de cuantificar la exposición a la radiación.
  • Frédéric Joliot e Iréne Curie

    Frédéric Joliot e Iréne Curie

    Se casaron y su primer trabajo en colaboración de Irène y Frédéric consistió en la obtención de una gran cantidad de polonio, uno de los elementos radiactivos descendientes del radio, acumulado en el transcurso de los años en el radio que el Instituto del Radio disponía gracias a Madame Curie.
  • Magnitudes-Unidades y Limitación de dosis de radiación

    Magnitudes-Unidades y Limitación de dosis de radiación

    La primera unidad de dosis, el roentgen (r), fue establecida para los rayos x en 1928 por el Comité Internacional de la Unidad para los Rayos X el cual se transformaría más tarde en la ICRU (IXRUC
  • Philips

    Philips

    Comenzó la producción del primer tubo de ánodo giratorio, llamado Rotalix.
  • Dr. Moses Swick

    Dr. Moses Swick

    Urólogo estadounidense que estaba de visita en el departamento del profesor Alexander von Lichtenberg en Berlín, probó el uroselectan. Este fue un avance importante en la investigación del sistema vascular, y permitió la realización de la pielografía intravenosa.
  • los físicos Perrier y Segre

    los físicos Perrier y Segre

    Obtuvieron por primera vez, en forma artificial, trazas de un elemento que Mendeleiev llamó ekamanganeso. Por ser el primer
    elemento creado artificialmente se le dio el nombre de "tecnecio" originado en la palabra griega que significa artificio, creación.
  • Comité internacional de protección radiológica

    Comité internacional de protección radiológica

    Se consideró que una persona sana podía tolerar una exposición profesional a los rayos X y a las radiaciones gamma de hasta 0,2 roentgen por día de trabajo sin que se manifestaran lesiones cutáneas, anemia, o comité disminuyera la fecundidad.
  • Comité internacional de protección radiológica

    Comité internacional de protección radiológica

    la Comisión Internacional de Unidades y Medidas Radiológicas
    (CIUMR ) recomendó que en los límites de exposición se
    tomara en consideración la energía absorbida por los
    tejidos e introdujo el rad (dosis de radiación absorbida)
    como unidad de dosis absorbida (o sea, la energía
    transmitida por la radiación a una unidad de masa de
    tejido).
  • Comité internacional de protección radiológica

    Introdujo el rem (roentgen equivalente humano) como unidad de dosis absorbida,considerada por la forma en que los diferentes tipos de radiación distribuyen la energía en los tejidos (denominada dosis equivalente.
  • Magnitudes-Unidades y Limitación de dosis de radiación

    La primera magnitud de dosis incorporando la eficacia biológica relativa (RBE, del inglés Relative Biological Effectiveness) de los diferentes tipos de radiación usada por la ICRU fue la ‘dosis RBE
    en rems’ que era una suma ponderada por la RBE de la dosis absorbida en rads prescripta en las recomendaciones de 1956 de la ICRU
  • Centrales nucleares

    Centrales nucleares

    La primera central nuclear comercial del mundo a escala industrial, Calder Hall,fue construida en el Reino Unido, y desde entonces, la generación de energía eléctrica mediante centrales nucleares ha crecido considerablemente.
  • Period: to

    Comité internacional de protección radiológica

    Se publicaron numerosos informes sobre la protección radiológica, la vigilancia de los radionucleidos y la aplicación de las recomendaciones. no se revisaron hasta 1977 como la evolución de las ideas expresadas en los informes iniciales. se consideró necesario limitar la incidencia de casos de cáncer mortal
    y anomalías genéticas graves radioinducidas en los descendientes, efectos estocásticos, cuya probabilidad estadística de ocurrencia de radiación está en relación con la dosis.
  • Magnitudes-Unidades y Limitación de dosis de radiación

    El ‘ rem’ se retuvo como la unidad de dosis equivalente. Además, la ICRU definió otra magnitud de dosis, el kerma, y cambió el nombre de dosis de exposición a simplemente ‘exposición’.
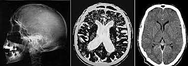
  • Primera tomografía

    Primera tomografía

    El uso de la TC en la radiología se ha desarrollado mucho desde
    la primera tomografía de un paciente .
  • Sir Godfrey Hounsfield y el  Dr. Jamie Ambrose

    Sir Godfrey Hounsfield y el Dr. Jamie Ambrose

    presentaron un artículo titulado “Computerised axial tomography (the new means of demonstrating some of the soft tissue structures of the brain without the use of contrast media)” [Tomografía axial computarizada (el nuevo medio para demostrar algunas de las estructuras del tejido fino del cerebro sin el uso de medios de contraste)] en el 32.º congreso anual del Instituto Británico de Radiología.
  • Magnitudes-Unidades y Limitación de dosis de radiación

    Magnitudes-Unidades y Limitación de dosis de radiación

    La Comisión introdujo una nueva magnitud el equivalente de dosis para la limitación de los efectos estocásticos. Está fue definida como una suma ponderada de los equivalentes de dosis de distintos órganos y tejidos del cuerpo humano dónde el factor de ponderación fue denominado ‘factor de ponderación de los tejidos.
  • Magnitudes-Unidades y Limitación de dosis de radiación

    La Comisión redefinió las magnitudes de dosis relacionadas con el cuerpo. Para los propósitos de la protección, fue definida como la magnitud básica la dosis absorbida promediada en un órgano o tejido.
  • Comité internacional de protección radiológica

    Comité internacional de protección radiológica

    Se espera terminar esta revisión de las recomendaciones, después del trabajo preliminar que realizarán los comités de la Comisión y varios grupos de trabajo ad hoc. Esta labor abarca la revisión y una nueva evaluación de todo el sistema de limitación de dosis, incluidos los valores de los límites de dosis.
  • Period: to

    Aplicaciones médicas

    El uso de la radiación en medicina para diagnosticar y tratar ciertas enfermedades juega un papel tan importante ahora , la principal fuente artificial de exposición en el mundo,alrededor de 3,6 mil millones de procedimientos médicos radiológicos se realizan anualmente en todo el mundo,Las principales categorías generales de la práctica médica que involucran la radiación son la radiología (que incluye los procedimientos de intervención,la medicina nuclear y la radioterapia.
  • UNSCEAR

    UNSCEAR

    La Comisión también menciona informes qué argumentan, en
    base a los datos genéticos de los supervivientes de la bombas atómicas y de ratones, que en el pasado el riesgo de enfermedades heredables tendió a ser sobreestimado.
  • Efectos biológicos

    Efectos biológicos

    Los riesgos de reacciones tisulares y de malformación en el embrión y el feto irradiado fueron examinados . En general, esa revisión reforzó las estimaciones sobre riesgo in útero, La Comisión ha llegado a las siguientes conclusiones respecto a los riesgos de lesión tisular y malformación in útero a dosis por debajo de alrededor de 100 mGy de radiación de baja LET.
  • Efectos biológicos

    La Comisión reconoce que estos factores biológicos, junto con los posibles efectos promotores de la tumorigénesis de la irradiación prolongada y los fenómenos inmunológicos, pueden influir el riesgo de cáncer radioinducido, pero las incertidumbres actuales en los mecanismos y las consecuencias tumorigénicas de los procesos descritos previamente son demasiado grandes para el desarrollo
    de estimaciones prácticas.
  • Efectos biológicos

    Efectos biológicos

    Para la mortalidad por cáncer , el seguimiento es de 47 años (octubre de 1950 a octubre-diciembre de 1997); para la incidencia de cáncer ,el periodo de seguimiento es de 41 años (enero 1958 - diciembre 1998). Estos últimos datos, que no estaban disponibles en
    1990, pueden proporcionar estimaciones más fiables del riesgo, principalmente porque la incidencia de cáncer puede permitir un diagnóstico más exacto.