Evolucion humana

Neuropsicologia Clinica

  • Periodo Preclasico 3500 a.c al 1861 d.c
    3500 BCE

    Periodo Preclasico 3500 a.c al 1861 d.c

    Durante este periodo se empiezan a reconocer el cerebro como una funcionalidad asociativa de los defectos sensoriales del cuerpo humano.
  • Alteración cognoscitiva en caso de daño cerebral 3500 a.c
    3500 BCE

    Alteración cognoscitiva en caso de daño cerebral 3500 a.c

    En Egipto se reconoce la asociacion del problema del lenguaje con el cerebro
  • Se describe el primer caso de Alexia traumática Periodo romano.
    3500 BCE

    Se describe el primer caso de Alexia traumática Periodo romano.

    Valerius Maximus describe el primer caso de alexia traumática. (En ese entonces, sin embargo, la actividad cognoscitiva tiene más relación con los ventrículos cerebrales que con el propio cerebro)
  • Corpus de Hipócrates 400 a.C
    400 BCE

    Corpus de Hipócrates 400 a.C

    La primera referencia que reconoce claramente el papel del cerebro en este tipo de incapacidad. Hipócrates cita dos tipos de alteraciones: los áfonos y los anaudos, como subtipos de pérdidas del lenguaje. Áfonos: sujetos carentes de una adecuada sonoridad de la producción del habla Anaudos: sujetos con dificultades en la elocuencia del
    lenguaje.
  • Franz Joseph Gall XIX
    19 BCE

    Franz Joseph Gall XIX

    Propuso la "frenología" que indica las funciones cognoscitivas localizadas en las áreas del cráneo. Gall es el antecesor directo de la neuropsicología.
  • Girolamo Mercuriale XVI (1601)
    16 BCE

    Girolamo Mercuriale XVI (1601)

    Realizó la primera descripción de "Alexia sin agrafia" que es la capacidad de leer pero conservando la capacidad de escribir.
  • Antonio Guaneiro XV (1401-1500)
    15 BCE

    Antonio Guaneiro XV (1401-1500)

    Publica informes relacionados con patologías del lenguaje
    1. Parafásia: Hablar sustituyendo fonemas y palabras por otras incorrectas.
    2. Afasia no fluida: Dificultad en la articulación, pero cuenta con una buena comprensión auditiva.
  • Conrad Von Gesner XV (1516-1565)
    15 BCE

    Conrad Von Gesner XV (1516-1565)

    Naturista y bibliógrafo suizo que describió la anatomía y descubrió la agrafia que es la capacidad de preservada para cantar, la disociación para leer diferentes lenguajes.
  • 15 BCE

    XV-XIX

    Durante estos siglos se publicaron informes relacionados en su mayoría con las patologías del lenguaje.
  • Johann peter schmitt

    Johann peter schmitt

    Se encargó de describir a varios pacientes afásicos con diferentes síntomas como la capacidad de dominar y repetir.
  • JeanBaptiste Bouillaud

    JeanBaptiste Bouillaud

    Distinguió dos tipos de patologías del lenguaje, uno articulado y otro amnéstico, correspondientes en general a las formas motora y sensorial de la afasia.
  • Jacques Lordat

    Jacques Lordat

    Pronone la dicotomía como la pérdida de la habilidad para reproducir palabras.
  • PERÍODO CLÁSICO (1861-1945) - PAUL BROCA - KARL WERNIKE

    PERÍODO CLÁSICO (1861-1945) - PAUL BROCA - KARL WERNIKE

    Paul Broca se encargó de investigar profundamente la relación entre el lóbulo izquierdo y la pérdida de la palabra. Karl Wernicke propuso la existencia de dos tipos de afasia (motora, sensorial). Descubrió que la lesión producida en el tercio posterior de la circunvolución temporal superior izquierdo, daba dificultades en la comprensión del lenguaje.
  • Hermann Munk

    Hermann Munk

    Fisiólogo alemán judío que escribió sobre las alteraciones perceptuales "ceguera psíquica".
  • Heinrich Lissauer

    Heinrich Lissauer

    Neurólogo alemán que realizó experimentación con humanos.
  • Sigmund Freud

    Sigmund Freud

    Realizó el estudio de diferentes agnosias entre ellas:
    - Agnosia visual
    - Agnosia auditiva
    - Agnosia táctil
  • Hugo Liepmann

    Hugo Liepmann

    Neurólogo alemán que identificó 3 tipos de praxis:
    Melóquinetica: Imposibilidad de realizar movimientos.
    Ideomatriz: Imitar.
    Ideacional: Procesos de movimientos.
  • Karl kleist

    Karl kleist

    Neurólogo alemán que mediante una apraxia óptica descubre las dificultades que tienen algunos pacientes para actividades que requieren de un adecuado control visual.
  • PERÍODO MODERNO (1945-1975) - Aleksandr Lúriya - 1947

    PERÍODO MODERNO (1945-1975) - Aleksandr Lúriya - 1947

    Lúriya propuso la calorificación de los transtornos afásicos basados en los diferentes niveles en que el lenguaje se encuentra alterado.
    También propuso una metodología para escalar transtornos neuropsicologícos con base en los análisis semicrómaticos.
  • KURD GOLDSTEIN

    KURD GOLDSTEIN

    Se considera pionero de la rehabilitacion neuropsicológica del daño cerebral, estudio las consecuencias de herida de guerra en el Sistema Nervioso.
  • DONALD HEBB

    DONALD HEBB

    1. Investigo y estudio el lóbulo frontal
    2. Contribuyo a que la psicología valorara las lesiones cerebrales, áceptandose escalas neuropsicológicas para localizar áreas del cerebro afectadas
    3. Contribuyo a que la neuropsicología fuera una disciplina autónoma
    4. Realizó grandes aportes acerca de la memoria y el aprendizaje (la regla de Hebb y el concepto de sinapsis Hebbiana)
    Termino Alalia en lugar de Afemia
  • Joseph Condrad

    Joseph Condrad

    Junto a Goldstein propusieron un enfoque Holístico de la Neuropsicoligía estudiaron la idea de que las lesiones en el hemisferio izquierdo producían reacciones catastróficas (Angustia, ansiedad, depresion y miedo) y las lesiones del hemisferio derecho reacciones de indiferencia.
  • N. Geschwind y el Grupo de Boston

    N. Geschwind y el Grupo de Boston

    Dirigieron las interpretaciones clínicas y teoricas de los procesos congnitivos.
  • PRIMERAS SOCIEDADES 1960-1979

    1. Society For Neurocience
    2. European Neurocience Association
    3. Sociedad Europea de Neurociencia
  • Henri Hecaen

    Henri Hecaen

    Realizó importantes contribuciones en la neuropsicología, especialmente en el estudio de la asimetria cerebral y la organización del lenguaje.
  • PERIODO CONTEMPORANEO 1975-2020

    1) Surgimiento de las imágenes cerebrales.
    2) Utilización de pruebas estandarizadas en el diagnóstico.
    3) Desarrollo del área de la rehabilitación neuropsicológica.
    4) Profesionalización de la neuropsicología.
    5) Aumento en el número de publicaciones.
    6) Integración conceptual.
    7) Ampliación del campo de trabajo.
  • Aleksandr lúriya

    Aleksandr lúriya

    Publicacion de "El cerebro en acción "
    Publicación del libro "las funciones corticales superiores en el hombre". Publicación del libro "Fundamentos de la neuropsicolingûìstica"
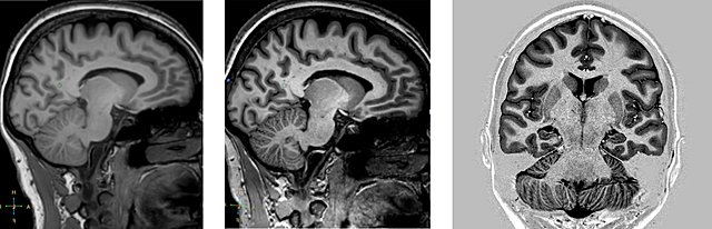
  • Resonancia Magnetica

    Resonancia Magnetica

    Durante esta década se fortalece la investigación con el empleo de imágenes no ya anatómicas sino funcionales, en particular la resonancia magnética funcional y la tomografía por emisión de positrones, que han permitido visualizar la actividad cerebral durante la realización de diferentes tareas cognoscitivas.
  • Joaquín Fuster

    Joaquín Fuster

    1. La información cognitiva está representada en redes neuronales amplias, traslapadas e interactivas
    2. Tales redes se desarrollan a partir de módulos nucleares de funciones elementales sensoriales y motoras, a los que permanecen conectados.
    3. El código cognitivo es un código de relaciones que se basa en la conectividad entre agregados neuronales discretos (módulos, ensamblados o nodos)
  • Año 2003

    1) Una red para la atención espacial que comprende el hemisferio derecho con epicentros en la región posterior del lóbulo parietal, el área que corresponde a los campos visuales en el lóbulo frontal y el giro cingulado. 2) Una red para el lenguaje que compende el hemisferio izquierdo con epicentros en las áreas de Broca y Wernicke. 3) Una red para la memoria y la emoción con epicentros en la región hipocampo entorrinal y en el complejo amigdalino.