Master neuropsicologia clinica

HECHOS IMPORTANTES DE LA NEUROPSICOLOGÍA

  • ALCMEON 500 A.C
    500 BCE

    ALCMEON 500 A.C

    Fue el primero entre los griegos en practicar la diseccion de cadaveres. Observó la constitución de diversos órganos sensoriales. Realizó la disección científica de un ojo y esto le permitió observar los nervios que lo enlazan por el cerebro.
    El cerebro es el asiento del alma.
  • HIPOCRATES 400A.C (PADRE DE LA MEDICINA)
    400 BCE

    HIPOCRATES 400A.C (PADRE DE LA MEDICINA)

    realiza el primer reconocimiento del papel del cerebro en las pérdidas verbales. Áfono y anaudos: Alteraciones de la pérdida del lenguaje.
  • ARISTOTELES
    400 BCE

    ARISTOTELES

    Sitúo los procesos intelectuales y los sentimientos en el corazón (enfoque racionalista).
    Afirmaba que la función principal del cerebro era refrigerar la sangre.
  • EGIPTO 350 A.C
    350 BCE

    EGIPTO 350 A.C

    Cuna de importantes aportes científicos se dio el descubrimiento de las alteraciones cognocitivas como la pérdida del lenguaje.
  • ANTONIO GUANEIRO SIGLO XV
    15 BCE

    ANTONIO GUANEIRO SIGLO XV

    Describe patologías del lenguaje en dos pacientes afásicos:
    1. con parafasia (hablar sustituyendo fonemas y palabras por otras incorrectas).
    2. con Afasia no fluida (dificultades en la articulación pero una relativamente comprensión verbal auditiva).
  • VALERIUS MAXIMUN (Periodo Romano) SIGLO I
    1 BCE

    VALERIUS MAXIMUN (Periodo Romano) SIGLO I

    Realiza la primera descripción de un caso de Alexia Traumática, (la cual consiste en la pérdida de la habilidad de leer cuando está ya a sido adquirida).
    La actividad cognoscitiva es más relacionada con los ventrículos cerebrales que con el cerebro mismo.
  • GALENO (Periodo Romano)
    1 BCE

    GALENO (Periodo Romano)

    Actividad mental interior de los ventrículos, en el liquido cefalorraquídeo.
  • GEROLAMO MERCURIALE SIGLO XVI
    16

    GEROLAMO MERCURIALE SIGLO XVI

    Realiza la primera descripción de un caso de Alexia sin Agrafia (pérdida de la capacidad de leer pero conservado la capacidad para escribir, aún mejor cuando es dictado o espontáneamente).
  • JOHANN Y PETER SCHMITT SIGLO XVII
    17

    JOHANN Y PETER SCHMITT SIGLO XVII

    Describieron a varios paciente afásicos con diferentes sintomatologías, entres estas la incapacidad del paciente para denominar y repetir.
  • RENÉ DESCARTES SIGLO XVII
    17

    RENÉ DESCARTES SIGLO XVII

    Postuló la doctrina del interaccionismo, la cual consiste en que el cuerpo y la mente se influyen entre si en una medida, y que el punto de interacción entre ambos se halla en la glándula pineal.
  • GESNER SIGLO XVIII
    18

    GESNER SIGLO XVIII

    Describió la anatomía y la jerga: Disociación en la habilidad para leer las diferentes lenguas.
  • LINNÉ-ANDRÉS VESALIO SIGLO XVIII
    18

    LINNÉ-ANDRÉS VESALIO SIGLO XVIII

    Actividad mental en el tejido nervioso del cerebro.
    Definió Agrafia como la pérdida de la escritura por causas traumáticas.
  • PIERRE FLOURENS SIGLO XVIII
    18

    PIERRE FLOURENS SIGLO XVIII

    Identificó seis áreas que controlaban ciertas funciones: Los hemisferios, la voluntad, el juicio, la memoria, la vista y el oído.
    Con sus investigaciones se establecieron bases para el desarrollo de la neurofisiología, concepción holística de la actividad mental.
  • BOUILLAUD SIGLO XIX
    19

    BOUILLAUD SIGLO XIX

    Diferenció dos tipos de patologías en las alteraciones del lenguaje producidas por un daño a nivel cerebral:
    1. Afasia articulatoria: Dificultad para articular las palabras.
    2. Afasia amnésica: Olvido palabras y utilización de expresiones que no significan nada, por que no se acuerda de las reales que quiere utilizar.
  • LORDAT SIGLO XIX
    19

    LORDAT SIGLO XIX

    Propone la dicotomía entre la pérdida de la habilidad para producir palabras (asinergia verbal) y para recordarlas (amnesia verbal).
  • FRANZ GALL SIGLO XIX
    19

    FRANZ GALL SIGLO XIX

    Propuso la "frenología" que indica las funciones cognoscitivas localizadas en áreas del cráneo, su doctrina fue muy refutada, pero este dio las bases para la neuropsicología.
  • DAX AUBURTIN

    Realizaron investigaciones sobre los trastornos de habla causadas por lesiones
  • DAÑO CEREBRAL Y COMPORTAMIENTO  1825

    DAÑO CEREBRAL Y COMPORTAMIENTO 1825

    Durante el siglo XIX surgen múltiples descripciones vinculadas a las secuelas posibles de daño cerebral sobre la actividad comportamental. Bouillaud distinguió en 1825 dos tipos de patologías del lenguaje, uno articulatorio y otro amnésico, correspondientes en general a las formas motora y sensorial de afasia.
  • PAUL BROCA

    PAUL BROCA

    Describe afasias indicando que localizaciones especificas del cerebro se encargan de procesos cognoscitivos específicos.
    Reconocido por el caso del paciente TAN, quien solo podía expresar esa silaba pero tenia una comprensión completa, este paciente permitió establecer la primera correlación entre una área particular del cerebro y una facultad psicología puntual "el lenguaje"
  • JACKSON

    JACKSON

    Hughlings Jackson (1864), neurólogo inglés, abordó estas
    alteraciones cognoscitivas desde un punto de vista dinámico y psicológico, más que estático y neuroanatómico; se refirió a lo que denominó síntomas de decremento y síntomas de incremento en
    caso de daño cerebral; lo que encontramos en el paciente no es sólo el efecto de la lesión en un sitio particular del cerebro, sino lo que resulta de los cambios globales que ha sufrido el cerebro.
  • OGLE

    OGLE

    Ogle utilizó en 1867 el término agrafia para referirse a la incapacidad para escribir.
  • WERNICKE

    WERNICKE

    Propuso la existencia de dos tipos de afasia: motora y sensorial, separables clínicamente y apoyó su punto de vista en correlaciones clínico/anatómicas. Posteriormente postuló un tercer tipo de afasia,
    la afasia de conducción, basándose en la descripción diagramática de las áreas del cerebro que participan en el lenguaje. Más tarde, junto con Lichtheim, dio a conocer un modelo de clasificación de las afasias al que se conocería como el esquema de Lichtheim-Wernicke.
  • MUNK

    MUNK

    La primera descripción sobre alteraciones perceptuales consecuentes al daño cerebral la realizó Munk en 1881, quien observó que los perros con daño parcial y bilateral de los lóbulos occipitales no podían reconocer —o reaccionar adecuadamente
    ante— los objetos ya conocidos, aunque sí podían evitar los obstáculos colocados en su camino. Munk interpretó esta incapacidad visual como una pérdida de la memoria de las imágenes de la experiencia visual previa, y la denominó ceguera psíquica.
  • GALL

    GALL

    A finales del siglo XVIII y comienzos del XIX Franz Gall formula una nueva doctrina: que los hemisferios cerebrales del hombre incluyen varios órganos independientes que sustentan las cualidades intelectuales y morales. El lenguaje, por ejemplo, depende de la región orbital
    de los lóbulos frontales. Esta región crece de manera anormal y conduce a la protrusión de los ojos en personas con excelente memoria verbal, y talento para el lenguaje y la literatura.
  • SIGMUND FREUD

    SIGMUND FREUD

    Sigmund Freud, mostró una gran influencia de Jackson y criticó abiertamente a los “constructores de diagramas”. En 1906, Pierre Marie presenta el punto de vista holístico en un artículo al que tituló, con irreverencia “La tercera circunvolución frontal no desempeña ningún papel especial en las funciones del lenguaje”. El punto de vista holístico contó con adherentes tales como Head (1926), Wilson (1926), Pick (1931), Weisenburg y McBride (1935),
    Wepman (1951) y Bay (1962).
  • LIEPMANN

    LIEPMANN

    En 1900 Liepmann introdujo el concepto de apraxia, para indicar la incapacidad de realizar determinados movimientos por orden verbal, sin que hubiera parálisis de la extremidad correspondiente.
  • RIEGER, KLEIST, POPPELREUTER

    RIEGER, KLEIST, POPPELREUTER

    Se cree que Rieger (1909) fue el primer investigador que llamó la atención sobre el hecho de que algunos pacientes con daño cerebral tienen dificultades para ensamblar objetos. Más tarde, Kleist (1912), y, posteriormente Poppelreuter (1917), hablaron de
    apraxia óptica para describir las dificultades que tienen algunos pacientes para realizar actividades que requieren un adecuado control visual de los movimientos, como dibujar, y que es evidentemente diferenciable de la apraxia ideomotora.
  • VON MONAKOW

    VON MONAKOW

    Von Monakow (1914) afirmó que no existen afasias (o amnesias o agnosias o apraxias), sino pacientes afásicos (o amnésicos o agnósicos o apráxicos). Postuló que toda patología cerebral se acompaña de una gran área circundante alterada (efecto de
    diasquisis), responsable de la variabilidad en los cuadros clínicos observados.
  • HENRY HEAD

    HENRY HEAD

    Henry Head (1926) presenta una aproximación clínico-psicológica en el estudio de las afasias. Sin embargo, muchos afasiólogos, cuyos puntos de vista pueden considerarse como clínico-psicológicos, reconocen que el daño en ciertas áreas neuroanatómicas se asocia de manera consistente con ciertas formas de sintomatología afásica, pero su aproximación al lenguaje realza más la evidencia psicológica y lingüística que los hallazgos neurológicos o anatómicos.
  • PERIODO CLÁSICO

    PERIODO CLÁSICO

    La Sociedad Antropológica de París presentó en 1861 un cráneo primitivo, argumentando que había una relación directa entre la capacidad intelectual y el volumen del cerebro. En abril de ese año, falleció un paciente que había sufrido pérdida del lenguaje. El examen post mortem demostró que el enfermo presentaba una lesión grave en la zona frontal posterior. Broca declaró en 1865 que “La afemia se relaciona con lesiones de la tercera circunvolución frontal del hemisferio izquierdo del cerebro”.
  • POSGUERRA

    POSGUERRA

    El primer resultado importante de la posguerra
    fue la aparición del libro de A.R. Luria, La afasia traumática, publicado en ruso en 1947 y en inglés en 1970, que presenta una serie de propuestas originales acerca de la organización cerebral del lenguaje y de su patología, con base en la observación sistemática de centenares de heridos durante el conflicto bélico.
  • KURT GOLDSTEIN

    KURT GOLDSTEIN

    Se considera pionero de la rehabilitación neuropsicológica del daño cerebral estudio las consecuencias de herida de guerra en el sistema nervioso.
  • DONALD HEBB

    DONALD HEBB

    Investigo y estudio el lóbulo frontal.
    Contribuyo a que la psicología valorara las lesiones cerebrales, aceptadose escalas neuropsicológicas para localizar áreas del cerebro afectadas.
    Contribuyo a que la neuropsicología fuera una disciplina autónoma
    Realizo grandes aportes acerca de la memoria y el aprendizaje (la regla de Hebb y el concepto de sinapsis hebbiana).
  • AFECCIONES CORTICOCEREBRALES

    AFECCIONES CORTICOCEREBRALES

    En 1958 se crea en el Instituto de Neurología de Montevideo (Uruguay) el llamado Laboratorio de Afecciones Corticocerebrales. En Inglaterra, Weigl, Warrington y Newcombe abordan los problemas del lenguaje, así como las alteraciones perceptuales. En España se crea, con la dirección de Barraquer-1Bordas, un importante grupo de trabajo especializado en neuropsicología.
  • N. GESCHWIND

    N. GESCHWIND

    N. Geschwind y el denominado Grupo de Boston
    dirigieron las interpretaciones clínicas y teóricas de los procesos cognoscitivos en general, tanto en los Estados Unidos como en gran parte del mundo occidental. Geschwind expuso una explicación de los síndromes corticales con fundamento en la transmisión
    de información entre centros corticales.
  • LURIA

    LURIA

    Luria adoptó un punto de vista intermedio entre el localizacionismo y el antilocalizacionismo. Para él, los procesos psicológicos representan sistemas funcionales complejos que requieren de muchos eslabones diferentes para su realización normal.
  • FRANCIA, ITALIA, ALEMANIA

    FRANCIA, ITALIA, ALEMANIA

    En Francia, Henri Hécaen (Hécaen y Albert, 1978) realiza importantes contribuciones prácticamente en todas las áreas de la neuropsicología, pero sobre todo en el estudio de la asimetría cerebral y la organización del lenguaje. En Italia, De Renzi, Vignolo y Gainotti trabajan en torno a los trastornos afásicos del lenguaje, habilidades construccionales y espaciales. Poeck, en Alemania, realiza aportes significativos en múltiples áreas, particularmente en el campo de las afasias y las apraxias.
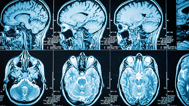
  • TAC

    TAC

    La incorporación y difusión de las técnicas imagenológicas contemporáneas, en especial la escanografía cerebral o la tomografía axial computarizada (TAC), implicó una verdadera revolución en todas las ciencias neurológicas.
  • REDEFINICIONES

    REDEFINICIONES

    Muchos conceptos acerca de la organización cerebral de la actividad cognoscitiva fueron redefinidos al menos parcialmente.
    En el campo de la neuropsicología se obtuvieron correlaciones
    clínico-anatómicas más precisas para diferentes síndromes y se incorporaron nuevas distinciones y clasificaciones (vg., Kertesz,
    1983, 1994; Damasio y Damasio, 1989).
  • REHABILITACIÓN COGNOSCITIVA

    REHABILITACIÓN COGNOSCITIVA

    Rehabilitación cognoscitiva o neuropsicológica, procura introducir procedimientos remediales en pacientes con daño cerebral no sólo en relación con las alteraciones del lenguaje, sino también con respecto a los trastornos cognoscitivos asociados (memoria, percepción, atención, etc.) (Meier y Diller, 1987; Ostrosky et al., 1996; Sohlberg y Mateer, 1989). La terapia del lenguaje (fonoaudiología) se ha reforzado con el trabajo de muchos neuropsicólogos dedicados a la rehabilitación cognoscitiva
  • PROBLEMAS INFANTILES

    PROBLEMAS INFANTILES

    El área del campo de estudio de la neuropsicología se ha extendido notoriamente en estos últimos años para incluir no sólo el análisis de las alteraciones cognoscitivas y comportamentales asociadas con el daño cerebral, sino también el estudio de los problemas infantiles asociados con el desarrollo, los fenómenos correlativos al envejecimiento, el análisis de las demencias, y la neuropsicología de los estados psi-copatológicos.
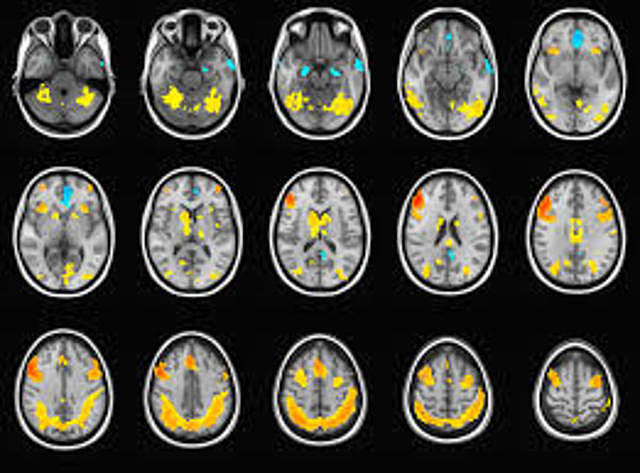
  • fMRI y PET

    fMRI y PET

    Durante la década de 1990 se fortalece la investigación con el empleo de imágenes no ya anatómicas sino funcionales, en particular la resonancia magnética funcional (fMRI, por sus siglas en inglés) y la tomografía por emisión de positrones (PET), que han permitido visualizar la actividad cerebral durante la realización de diferentes tareas cognoscitivas (por ejemplo, hablar, leer, pensar en palabras, etc.).
  • PERIODO CONTEMPORÁNEO

    PERIODO CONTEMPORÁNEO

    Desde mediados de 1975 la neuropsicología ha tenido un crecimiento notorio. Estos avances se podrían sintetizar en siete puntos diferentes:
    1) Surgimiento de las imágenes cerebrales.
    2) Utilización de pruebas estandarizadas en el diagnóstico.
    3) Desarrollo del área de la rehabilitación neuropsicológica.
    4) Profesionalización de la neuropsicología.
    5) Aumento en el número de publicaciones.
    6) Integración conceptual.
    7) Ampliación del campo de trabajo.

Looking for a timeline maker?

Create timelines for projects, roadmaps, history, lessons, legal cases, and stories with Timetoast. Timetoast is a timeline maker for work, school, research, and stories.