Aps

Linea del tiempo 2 APS

  • Enfermedades de transmisión sexual.
    7 BCE

    Enfermedades de transmisión sexual.

    Son infecciones que se contagian de una persona a otra durante el sexo vaginal, anal u oral. Son muy comunes, y muchas personas que las tienen no presentan síntomas. El herpes es un virus común que provoca llagas en los genitales y la boca, molesto y doloroso. El VIH es el virus que causa el SIDA. Este afecta el sistema inmunitario, haciendo que te enfermes más fácilmente. Es una infección bacteriana común que se contagia a través de las relaciones sexuales.
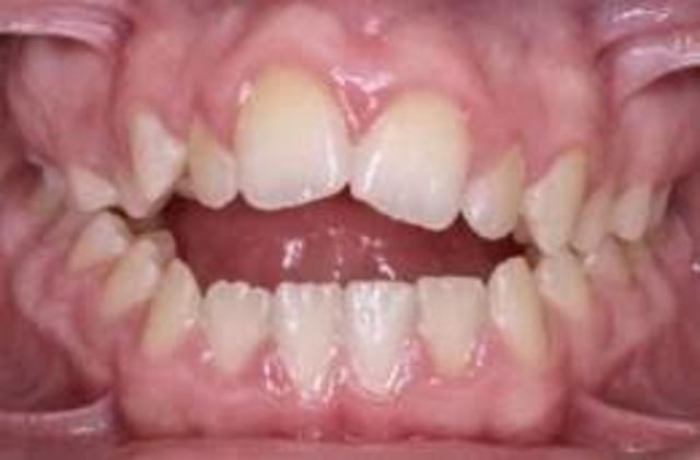
  • Mal oclusiones.
    6 BCE

    Mal oclusiones.

    Una maloclusión puede desarrollarse como resultado de factores genéticos o ambientales o de ambos.
    Su clasificación es : Clases de Angle Considerando el primer molar superior como punto fijo de referencia, Angle dividió las maloclusiones en tres grandes grupos:— Clase I.— Clase II: división 1/ división 2. Completa/incompleta.— Clase III.
  • Traumatismos dentoalveolares.
    5 BCE

    Traumatismos dentoalveolares.

    Se define como un impacto agresivo sobre las estructuras biológicas dentales y/o estructuras adyacentes de las cuales se derivan algún tipo de lesión.
    Se aplica la Clasificación Internacional de las Enfermedades en Odontología y Estomatología
    Incluyen lesiones en los dientes, de las estructuras de soporte, de la encía y mucosas orales.
    Aplicable para la dentición temporal y permanente.
  • Técnicas de cepillado y aditamentos para la higiene bucal.
    4 BCE

    Técnicas de cepillado y aditamentos para la higiene bucal.

    Se han descrito diversos métodos de cepillado y que autores afirman que el método ideal de cepillado es el que permite una eliminación de placa en el menor tiempo posible y con una presión que no cause ninguna lesión a los tejidos.
    El cepillo de dientes es un objeto que todos usamos para realizar nuestra higiene bucodental. Se componen de un mango y un pequeño cepillo que elimina los restos de comida en la boca y caras de los dientes.
  • Formación del calculo dental y denticiones temporal, permanente y mixta.
    3 BCE

    Formación del calculo dental y denticiones temporal, permanente y mixta.

    Es una película casi invisible formada por las bacterias que habitan en la cavidad oral, se extiende continuamente alrededor de los dientes. La placa bacteriana se convierte en cálculo dental o sarro mediante un proceso de mineralización de la misma. La dentición temporal es el primer juego de dientes que tenemos en la vida, los permanentes son el segundo juego de dientes y la dentición mixta es cuando están presentes dientes temporales y permanentes.
  • Necesidades nutrimentales del lactante mayor.
    2 BCE

    Necesidades nutrimentales del lactante mayor.

    Dos subetapas: 0 – 4 ó 5 meses, 4 ó 5 meses – 1 año
    Durante los primeros meses de vida, el lactante se alimentará exclusivamente con leche materna, empezando a introducir paulatinamente distintos tipos de alimentos para completar su alimentación en función de la madurez fisiológica. Durante toda la etapa de la lactancia, los requerimientos de proteínas se aproximan a 1,5 g/kg de peso/día. La leche materna presenta diferencias importantes en micronutrientes con respecto a la fórmula
  • Modificación de la norma oficial Mexicana 013 - SSA2 - 1994
    1 BCE

    Modificación de la norma oficial Mexicana 013 - SSA2 - 1994

    Esta norma establece los métodos, técnicas y criterios que deben realizarse por todo el personal de salud y en todos los establecimientos para la atención médica y consultorios de los sectores público, social y privado. Esta norma es de carácter obligatorio para todos aquellos que realicen acciones de fomento de la salud bucal. Tanto sector publico como privado.

Plan projects on a visual timeline

Map milestones, phases, deadlines, and key events in one place so the sequence is easier to see and share. Timetoast is a timeline maker for work, school, research, and stories.