Gripa española

Pandemias por influenza en los siglos XX y XI

  • Inicio

    Inicio

    La gripe Española catalogada en términos de pandemia nivel 5, inicia en 1918 provocando aproximadamente entre 50 y 100 millones de defunciones.
    Con un índice de contagio del 50% generaba síntomas capaces de debilitar y matar rápidamente a una persona.
    Finalizaba la primera guerra mundial (guerra de las trincheras), sin embargo las muertes por la gripe española superaba las en un alto las ocurrida durante la misma.
  • En Estados Unidos

    En Estados Unidos

    A pesar que esta gripe fue denominada la gripe Española, la real situación es que el paciente 0 provenía de Kansas en Estados Unidos. Es así como para octubre de 1918 se habían presentado ya por lo menos 300 defunciones por esta causa.
    Esta pandemia fue causada por un virus denominado H1N1, en ese entonces fue tal letal que causó más de 25 millones de muertes en todo el mundo.
    Hasta nuestros días sigue siendo considerada la peor pandemia de la historia de la humanidad.
  • La gripe Asiática

    La gripe Asiática

    Se inicia en el norte de China en febrero de 1957, de donde se difundió a la India y Australia. Rápidamente se extiende por todo el oriente, llega a África, Europa y Estados Unidos, alcanzando una distribución mundial en menos de 10 meses.
    Es causada por el virus H2N2 y se propaga hasta 1959 causando 2 millones de muertes en todo el mundo.
  • Gripe de Hong Kong

    Gripe de Hong Kong

    Produjo aproximadamente un millón de muertes en el mundo. Causada por el virus H3N2 (el cual circula en la actualidad) Su nombre se debe a que fue detectada en Hong Kong en 1968 extendiéndose rápidamente a Estados unidos.
    Tanto en la pandemia de la gripe Asiática como en la de Hong Kong se conoce que tenían una combinación de genes de virus de gripe humana y de un virus de gripe avícola.
  • Gripe Aviar

    Gripe Aviar

    De origen Asiático, es producida por el H5N1 es responsable de por lo menos 250 muertes. Es altamente patógena y se ha detectado tras el contacto directo y prolongado con aves de corral infectadas.
    El contagio no ha sido sostenido y no se ha identificado la diseminación de este virus en la comunidad.
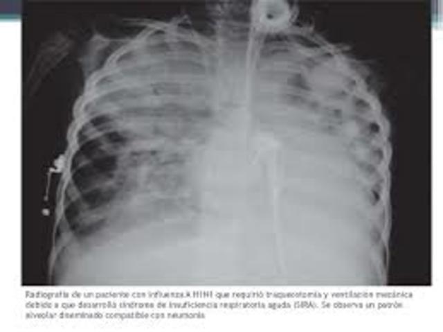
  • Gripe Porcina

    Gripe Porcina

    se detectan los primeros casos en el año 2009 en Estados, México y Canadá. Es producida por el virus del H1N1, se denomina porcina por una reorganización de un virus aviar – porcino – humano que generó un virus constituido por genes PA y PB2 aviares, genes PB1 humanos y segmentos de virus de dos linajes distintos circulantes de cerdos.
    Si quieres conocer más acerca del virus H1N1 te invito a seguir siguiente enlace: https://www.youtube.com/watch?v=nx0M9WdrnPY
  • Estudio publicado

    Estudio publicado

    Estudio publicado en el 2012 por The Lancet Infectious Diseases Online First ofrece las primeras estimaciones globales de mortalidad en el primer año de circulación del virus H1N1 de 2009, las cuales dan una cifra estimada de muertes de entre 151 700 y 575 400 personas en todo el mundo. Esta cifra supera 15 veces la reportada por OMS la cual estaba basada en datos confirmados por laboratorio.
  • Síntomas y complicaciones de la gripe por H1N1

    Síntomas y complicaciones de la gripe por H1N1

    Ante la vigencia del virus de la gripe porcina H1N1 es importante estar bien documentado sobre el tema.
    Te invito a seguir el siguiente enlace.https://espanol.cdc.gov/enes/flu/consumer/symptoms.htm
  • H1N1 Virus circulante en Colombia y en el mundo

    H1N1 Virus circulante en Colombia y en el mundo

    El H1N1 por ser un virus circulante vigente, requiere que, la población en general, esté alerta y siga todas las recomendaciones necesarias.
    En tal sentido te invito a ver el siguiente vídeo que realizó un experto infectólogo Colombiano. https://www.youtube.com/watch?v=cpIL1EyqAKk

Plan projects on a visual timeline

Map milestones, phases, deadlines, and key events in one place so the sequence is easier to see and share. Timetoast is a timeline maker for work, school, research, and stories.