Fisiopatológica del Evento Vascular Cerebral

  • ¿Que es?
    1 CE

    ¿Que es?

    Es el desarrollo de signos clínicos de alteraciones focal o global de la función cerebral.
  • ¿Cuando sucede?
    2

    ¿Cuando sucede?

    Ocurre cuando el flujo de sangre disminuye o la arteria se obstruye.
    La normalizacion inmediata de la circulación sanguínea permite la recuperación rápida de la conciencia, pero si el restablecimiento del flujo sanguíneo no es inmediato, las consecuencias son graves.
    Las fuentes de energía, la glucosa y el glucógeno, y el ATP se agotan.
    El ingreso excesivo de sodio va a provocar un efecto neurotoxico, por la producción de glutamato.
  • Infarto y Necrosis
    3

    Infarto y Necrosis

    El infarto se localiza en zonas anatómicas vulnerables,la irrigación sanguínea de estas zonas disminuye en forma muy pronunciada, lo que predispone a la isquemia y al infarto de los tejidos.
    La necrosis laminar tiene lugar en regiones irrigadas por arterias penetrantes. Si la duración de la isquemia supera el umbral de lesión el daño puede ser irreversible.
  • Factores de Riesgo
    4

    Factores de Riesgo

    • Presión arterial alta
    • Fibrilacion auricular
    • Diabetes
    • Ser hombre . Antecedentes familiares
    • Colesterol alto
    • Obesidad
  • Sintomas
    5

    Sintomas

    Depende de que zona del cerebro esta dañada. en algunos casos, es posible que la persona no se de cuenta que ha tenido un accidente cerebro-vascular.
    si e accidente cerebrovascular es causado por un sangrado cerebral, se puede presentar un dolor de cabeza.
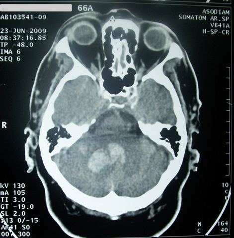
  • Pruebas y Exámenes
    6

    Pruebas y Exámenes

    Examen físico para verificar si hay problemas con la visión, el movimiento, la sensibilidad, los reflejos, la comprensión y el habla.
    Revisar si hay presión arterial alta.
    Los exámenes para ayudar a localizar el accidente cerebro vascular es una angiografía de la cabeza para buscar un vaso sanguíneo que está bloqueado o sangrando, o una ecocardiografía para ver si el accidente cerebro vascular pudo haber sido causado por un coágulo sanguíneo proveniente del corazón.

Plan projects on a visual timeline

Map milestones, phases, deadlines, and key events in one place so the sequence is easier to see and share. Timetoast is a timeline maker for work, school, research, and stories.