Fisiopatologia EVC

  • Fisiopatologia EVC
    1 CE

    Fisiopatologia EVC

    Causada por:
    Traumatismos
    *Tumores
    *Accidentes Vasculares
    *Transtornos metabólicos
    *Procesos degenerativos
  • Placa de Ateroma
    2

    Placa de Ateroma

    Se liberan sustancias que atraen a los monocitos circulantes, hacen que se adhieran al endotelio y que penetren en su interior.
    Allí captan las partículas lipídicas convirtiéndose en macrófagos; finalmente, sufren un proceso de muerte por apoptosis y liberan su contenido lipídico, que va confluyendo para dar lugar a un núcleo creciente de grasa extracelular, que constituye la placa de ateroma.
  • Hipoxia
    3

    Hipoxia

    La hipoxia hace referencia o mplica la falta de oxígeno con mantenimiento del flujo sanguíneo. (Oxígeno).
    Interfiere sobre la oferta de oxigeno.
  • Isquemia
    4

    Isquemia

    Reducción muy importante o la ausencia completa de irrigación sanguínea.
    -La isquemia interfiere sobre la oferta de oxigeno, glucosa y sobre la eliminación de desechos metabólicos.
    -Puede ser focal o global.
  • Isquemia Global
    5

    Isquemia Global

    Puede ser a causa de un paro cardíaco a shock circulatorio:
    -Se produce cuando el flujo sanguíneo es insuficiente para cubrir las demandas metabólicas.
    -No se forman vasos sanguíneos colaterales.
    -Refleja transtornos neurologicos que reflejan disfuncion cerebral global.
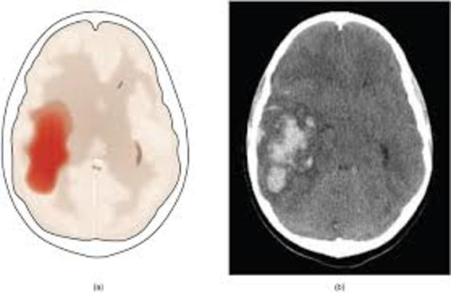
  • Isquemia Focal
    6

    Isquemia Focal

    Es a causa principalmente de un accidente cerebrovascular.
    -Se forma una circulación colateral que puede aportar una cantidad suficiente de sustrato que permite preservar la actividad metabólica a un nivel reducido.
    -La glucosa en condiciones anaerobias puede conducir a la producción elevada de ácido láctico y producir una acidosis láctica.
  • Características: Isquemia Global
    7

    Características: Isquemia Global

    Cuando la isquemia se produce durante pocos segundos produce perdida de conciencia.
    Cuando es durante un tiempo prolongado puede provocar infarto o muerte de elementos del cerebro.
    -El patrón de isquemia global refleja la disposición anatómica de los vasos sanguíneos cerebrales y la sensibilidad de los distintos tejidos cerebrales a la falta de oxigeno, predispone al desarrollo de dos tipos de lesión:
    - El infarto en aguas divisorias
    -Necrosis laminar
  • Infarto en divisoria de aguas
    8

    Infarto en divisoria de aguas

    Zonas anatómicamente vulnerables situadas entre territorios superpuestos irrigados por las arterias cerebrales mayores (arteria media, anterior y posterior).
    -La irrigación sanguínea de zonas distales disminuye, lo que predispone a la isquemia y al infarto de los tejidos.
  • Necrosis Laminar
    9

    Necrosis Laminar

    Tiene lugar en regiones irrigadas por las arterias penetrantes.
    -La sustancia gris de la corteza esta irrigada por este tipo de arterias que van a dar lugar a una red capilar.
    -Un descenso brusco de la presión arterial reduce significativamente el flujo sanguíneo a lo largo de esto conductos capilares.
    -La necrosis resultante es de tipo laminar y compromete en mayor medida las capas mas profundas de la corteza cerebral.
  • Lesiones provocadas por aminoácidos excitadores
    10

    Lesiones provocadas por aminoácidos excitadores

    Numerosos trastornos neurológicos se deben a la sobrestimulación de receptores de aminoácidos específicos como el glutamato y el aspartato.
    "Exitotoxicidad" se le llama así para designar la vía metabólica final que conduce al daño y la muerte de las neuronas como consecuencia de la actividad excesiva de los neurotransmisores excitatorios y sus efectos mediados por receptores.
  • Glutamato
    11

    Glutamato

    Es el principal neurotransmisor. La interacción de este aminoácido y receptores específicos es el factor determinante de numerosas funciones de orden superior, como:
    -La memoria, la cognición, el movimiento y la sensibilidad.
    Muchos de los efectos del glutamato se relacionan con canales iónicos regulados por receptores.
    -Un subtipo de receptor denominado receptor de glutamato N-metil-D-aspartato (NMDA) fue implicado como causa de lesión del SNC
  • Glutamato N-metil-D-aspartato (NMDA)
    12

    Glutamato N-metil-D-aspartato (NMDA)

    La apertura de un canal de calcio que permite el ingreso a las células de iones de calcio y sodio y el egreso de iones potasio, lo que genera potenciales de acción de duración prolongada.
    La apertura descontrolada de los canales regulados por receptores NMDA determinan un aumento de calcio a las células y conducen a una serie de procesos mediados por calcio denominados "cascada de calcio".

A list shows items. A timeline shows sequence.

Use Timetoast to make dates, milestones, and turning points easier to understand in a clear visual format. Timetoast is a timeline maker for work, school, research, and stories.