Rr

Caso clínico Sistema Renal - Mary Maloof

  • Nacimiento

    Nacimiento

  • Period: to

    Vida de paciente

    Tenemos a un paciente masculino de 50 años, fumador y con antecedentes de hipertensión arterial.
  • Fumar está de moda veddá?

    Fumar está de moda veddá?

    Paciente empieza a fumar a los 19 años. Es decir, que a los 50, llevaba ya 31 años fumando.
  • Tu cuerpo se está aburriendo...

    Tu cuerpo se está aburriendo...

    Nuestro paciente fue diagnosticado hipertenso en el 2002 , es decir, tenía 35 años.
  • Ahora estoy menos peor

    Ahora estoy menos peor

    El paciente empieza a fumar con filtro, porque su vía aérea se está viendo evidentemente comprometida.
  • 15 días antes de la Urgencia

    15 días antes de la Urgencia

    Empiezan las náuseas del paciente
  • 5 días antes...

    5 días antes...

    Paciente presenta epigastralgia, pirosis, sabor metálico en la boca y dolor retroesternal.
  • 2 días antes...

    2 días antes...

    Vómitos constantes y dolor retroesternal que se ha hecho más intenso desde hace 2 días y que se exacerba al inspirar.
  • Llegada a Urgencias

    Llegada a Urgencias

    7:47 a.m
    Paciente llega a urgencias con náuseas y vómitos persistentes, disnea de esfuerzo y mareos.
  • Examen físico

    Examen físico

    9:15 a.m
    Luego de una larga espera, el paciente es atendido y al examen físico se le encuentra:
    piel cetrina, pálida y seca, con áreas de hematomas y escoriaciones.
    En la auscultación se revelan estertores crepitantes en ambos pulmones que se extienden hasta los 2/3 inferiores del pulmón. El Examen cardíaco revela ruidos cardíacos apagados, roce pericárdico y un soplo de eyección sistólica
  • Los paraclínicos

    Los paraclínicos

    12:23 p.m
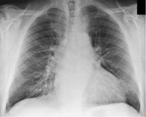
    Se realizaron los paraclínicos: Radiografía de tórax muestra cardiomegalia moderada con aumento de la trama vascular pulmonar y opacidad de las bases pulmonares inferiores. Ecografía abdominal muestra un tamaño adecuado de riñón de ambos riñones sin evidencia de dilatación pielocalicial. El ecocardiograma revela una moderada cantidad de líquido alrededor del corazón; por lo que se decide realizar una pericardiocentesis, obteniéndose 250 cc de líquido hemático.
  • Exámenes de laboratorio

    Exámenes de laboratorio

    12:40 p.m
    Bajo hematocrito 26%, los valores normales para hombres son de 40,7% a 50,3 %
    Hb aprox 8,6g/dL , siendo lo normal en hombres 13,3 a 18g/dL , confirma anemia
    La creatinina mg/dL, normal 0.7 a 1.3 mg/dL
    El BUN 215mg/dL , siendo lo normal 6 a 20 mg/dL
    El calcio de 6,2 mg /dL 8.5 a 10.2 mg/dL normales
    El ácido úrico se encuentra con 16,5 mg /dL 3,4 y 7,0 mg/dL.
    Leucocitos son normales al igual que plaquetas (en número)
    Hematuria y proteinuria
  • Hemodiálisis

    Hemodiálisis

    5:27 p.m
    Al paciente se le realiza una hemodiálisis
  • Pasó la noche

    Pasó la noche

    El paciente luego de hemodiálisis,mejora ligeramente su dificultad respiratoria y el dolor torácico, el paciente pasa la noche estable.
  • Muere

    Muere

    3:15 a.m
    Paciente inicia cuadro de dolor abdominal, deposiciones melénicas, llegando a presentar sangrado macroscópico evidente, el paciente evoluciona a hipotensión, arritmia y muerte, por lo que se decide llevar a autopsia.
  • Autopsia

    Autopsia

    Autopsia es realizada en la tarde del 21 de abril. Se encuentran hallazgos macroscópicos importantes en riñones, corazón, colon y paratiroides
  • Resultados patología

    Resultados patología

    Llegan los resultados microscópicos de patología.
  • Estudiante de medicina resuelve el caso

    Informe en el siguiente enlace

Want to make a timeline like this?

Use Timetoast to turn dates, events, milestones, and phases into a clear visual timeline you can build and share. Timetoast is a timeline maker for work, school, research, and stories.