Portada caso clinico

caso clinico

  • A la edad de 8 años el paciente fue diagnosticado con diabetes mellitus tipo 1

    A la edad de 8 años el paciente fue diagnosticado con diabetes mellitus tipo 1

    fue tratado con insulina NPH 30 unidades en la mañana y 10
    unidades en la noche.
  • Visitas por escándalos

    Visitas por escándalos

    El paciente ha sido visitado en varias ocasiones por la trabajadora social ya que ha tenido episodios de escándalos por causa del alcohol y aparentemente consumo de sustancias pisco activas.
  • Ruptura de relación amorosa

    Ruptura de relación amorosa

    El paciente le ocasionó lesiones físicas en una ocasión, estando bajo los efectos del alcohol
  • Comienzo de los síntomas

    Comienzo de los síntomas

    inició con parestesias en 2° y 3°
    dedos del miembro superior izquierdo, que en el curso de 10 minutos se extendió a toda la extremidad hasta cuello.
  • Siguiente síntoma dentro de las 24 horas

    Siguiente síntoma dentro de las 24 horas

    presentó hemiparesia con consecuente incapacidad para la marcha.
  • Consulta en el hospital universidad del norte

    Consulta en el hospital universidad del norte

    El paciente consulto por cuadro clínico de 5 días de evolución de déficit motor con hemiplejia izquierda de inicio súbito.
  • Exámenes paraclinicos

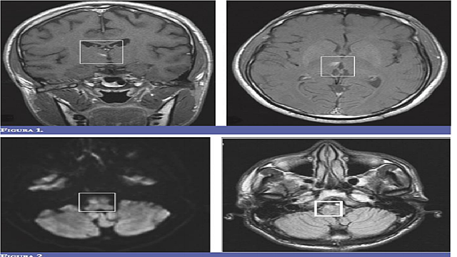
    Exámenes paraclinicos

    Resultados: glucometriá 272 mg/ dl, Hb Glicosilada 15,8%. La RM
    del encéfalo: evidenció lesión que restringiá la difusión, visible en FLAIR y T2. Imagen hiperintensa en T1
  • Examen fisico

    Examen fisico

    Resultados: El paciente estaba orientado, su
    presión arterial era 109/70 mmHg, la frecuencia cardiáca de 74/min, su frecuencia respiratoria era de 20/min, la saturación de
    oxígeno estaba en 94%. Sin disartria, ni compromiso de pares craneanos, isocórico normoreactivo a la luz de 3 mm, sin compromiso facial. Arreflexia generalizada, Babinski presente en pie izquierdo, sin signos menińgeos. Hemicuerpo derecho
    normal. Plejiá braquial 0/5 y paresia crural izquierdas 2/5.
  • Inicio de terapia fisica

    Inicio de terapia fisica

    Basada en estiramientos pasivos sostenidos, movilizaciones pasivas por medio de patrones unilaterales, posicionamiento, fortalecimiento muscular, entrenamiento de agarre no y grueso y
    entrenamiento del patrón de marcha sin caminador, equilibrio y propiocepción.
  • Mejora del paciente

    Mejora del paciente

    Mejoró a paresia braquial izquierda 3/5 y 4/5 crural ipsilateral, hipotónico, con Babinski izquierdo. Parestesias de hemicuerpo izquierdo. Logró marcha parética, muy limitada.

A list shows items. A timeline shows sequence.

Use Timetoast to make dates, milestones, and turning points easier to understand in a clear visual format. Timetoast is a timeline maker for work, school, research, and stories.