Caries molares

CARIES DENTAL

  • CARIES
    Jan 7, 1000

    CARIES

    La caries dental ha sido descrita como una enfermedad multifactorial relacionada con la dieta, bacterias intraorales, composición de la saliva y otros factores.
  • PREVENCION
    Sep 4, 1060

    PREVENCION

    Es importante desarrollar procesos que permitan promover la prevención de la caries. Para ello es necesario conocer los niveles de prevención y las medidas necesarias.
  • HISTORIA
    Feb 2, 1075

    HISTORIA

    Desde la época del papiro Rever descubierto en 1075, el documento más antiguo conocido, en el que exponen las causas de la caries dental y se propone su curación, hasta nuestros días, ha sido incesante el aporte de ideas por explicar la presencia de la enfermedad y los recursos para curarla.1
  • PRIMERAS INVESTIGACIONES

    PRIMERAS INVESTIGACIONES

    Hace casi 100 años Millar y Black identificaron los principales componentes del proceso de la caries como dieta cariogénica, microflora destructiva, y dientes susceptibles. A lo largo de los años, muchos investigadores han demostrado la asociación de diferentes grados entre la caries y factores bioquímicos, ambientales, físicos, microbianos, sociodemográficos y de comportamiento. Desafortunadamente, ninguna de estas asociaciones probó ser suficiente para permitir una predicción exacta de la futu
  • EVOLUCIÓN HISTORICA

    EVOLUCIÓN HISTORICA

    A través de la historia la caries dental es una enfermedad infecciosa que ha afectado al hombre desde las culturas antiguas. Lo que ha hecho que dediquen atención a eliminar las molestias ocasionadas por la misma.
  • TEJIDOS SANOS

    TEJIDOS SANOS

    Es importante conocer los tejidos que forman al diente y que al diente. El diente está formado por corona y raíz. Los tejidos que la forman son: Esmalte, dentina, tejido pulpar y cemento.
  • TEJIDOS SANOS

    TEJIDOS SANOS

    Es importante conocer los tejidos que forman al diente y que al diente. El diente está formado por corona y raíz. Los tejidos que la forman son: Esmalte, dentina, tejido pulpar y cemento.
  • FACTORES

    FACTORES

    Así la caries dental involucra la interacción en el tiempo de una superficie dental susceptible, las bacterias cariogénicas, y la disponibilidad de una fuente de carbohidratos fermentables, especialmente sacarosa.
  • RIESGO

    RIESGO

    La infección bacteriana es necesaria, pero no suficiente para el desarrollo de la enfermedad; deben estar presente una serie de factores (factores de riesgo), para que se desarrolle la misma.5-7
    Entiéndase por riesgo la posibilidad que tiene un individuo (riesgo individual) de desarrollar una enfermedad determinada o un accidente o un cambio en su estado de salud en un período específico y en una comunidad dada, a condición de que no enferme o muera de otra causa en eses período.8
  • AVANCE DE LA CARIES

    AVANCE DE LA CARIES

    Muchos estudios clínicos han estudiado los mecanismos a través de los cuales las lesiones cariosas progresan y regresan con el objetivo de evaluar las estrategias dirigidas a la prevención de la caries dental.14 La capacidad de remineralización de las áreas desmineralizadas es uno de los factores que intervienen en los procesos que conducen a la caries dental.15
  • DEFINICION

    DEFINICION

    Así la caries dental involucra la interacción en el tiempo de una superficie dental susceptible, las bacterias cariogénicas, y la disponibilidad de una fuente de carbohidratos fermentables, especialmente sacarosa.
  • FACTORES DE RIESGO

    FACTORES DE RIESGO

    Entre los factores de riesgo que han sido relacionados con la enfermedad de la caries dental, se encuentran:
    - Alto grado de infección por Estreptococos mutans.
    - Alto grado de infección por lactobacilos.
    - Experiencia de caries anterior.
    - Eficiente resistencia del esmalte al ataque ácido.
    - Deficiente capacidad de remineralización.
    - Dieta cariogénica.
    - Mala higiene bucal.
    - Baja capacidad buffer de la saliva.
    - Flujo salival escaso.
    - Apiñamiento dentario moderado, severo, tratamiento ortodó
  • DESMINERALIZACION

    DESMINERALIZACION

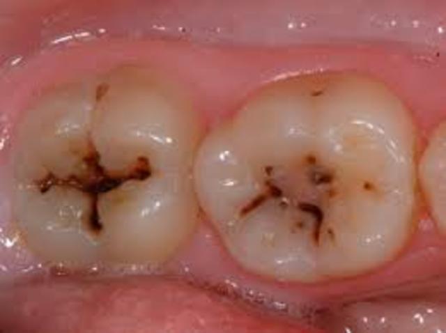
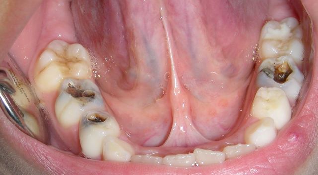
    Cuando la caries dental alcanza los tejidos dentarios profundos se convierte en una urgencia en los servicios estomatológicos, pero solo si se conoce cómo se inicia y se propaga esta afección, podremos curarla y prevenirla. Es en esta dirección hacia donde deben encaminarse los mayores esfuerzos que tiendan al control de la más frecuente de las enfermedades. Es por estas razones que nos vimos motivados a la realización de este trabajo.
  • SINTOMAS DE LA CARIES

    SINTOMAS DE LA CARIES

    El inicio del proceso carioso no se puede atribuir a una sola causa, debido a que para su desarrollo, se requiere de la confluencia de factores que determinan la lesión cariosa, es decir, que la agresión del esmalte dental sea de gran magnitud, que la resistencia del esmalte a la disolución ácida sea insuficiente, y que los mecanismos de remineralización del esmalte no tengan lugar (Dechaume M, Grellet M, Laudenbach P, Payen J. Estomatología. La Habana; 1985. pp. 5-7. Edición Revolucionaria).
  • HISTORIA NATURAL

    HISTORIA NATURAL

    Esta enfermedad es el problema de salud más extendido entre la población de todas las edades y aunque se ha observado en los últimos años un claro descenso en los países desarrollados, no sucede lo mismo en los menos ricos, lo que ha provocado el interés de los investigadores en estudiar el perfil epidemiológico de la caries dental, así como su prevalencia.
  • EFECTOS EN EL ORGANISMO

    EFECTOS EN EL ORGANISMO

    Dentro de estos factores se muestra cómo repercuten en el estado de la caries dental aspectos como la resistencia del esmalte, la remineralización del mismo, sus anomalías, y la lesión blanca, como exponente primario de la caries dental.
  • DESMINERALIZACION

    DESMINERALIZACION

    La caries dental resulta de la interacción de las fases de desmineralización y remineralización sobre esmalte cubierto por una placa produciendo ácidos.13

Looking for a timeline maker?

Create timelines for projects, roadmaps, history, lessons, legal cases, and stories with Timetoast. Timetoast is a timeline maker for work, school, research, and stories.