54

ANGIOGRAFIA

  • ANGIOGRAFIA

    ANGIOGRAFIA

    Examen de diagnóstico por imagen cuya función es el estudio de los vasos circulatorios que no son visibles mediante la radiología convencional. Su nombre procede de las palabras griegas angeion, "vaso", y graphien, "grabar". Se puede distinguir entre arteriografía cuando el objeto de estudio son las arterias, y flebografía cuando se refiere a las venas.
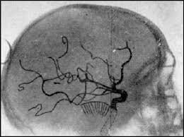
  • Egas Moniz.

    Egas Moniz.

    Médico Neurólogo. Fundador de la moderna neurocirugía. Pionero en la técnica de angiografía, permitiendo examinar las arterias del cerebro mediante Rayos X
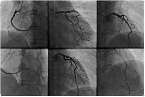
  • La arteriografía

    La arteriografía

    Es un proceso de diagnóstico por imagen cuya función es el estudio de los vasos arteriales que no son visibles mediante la radiología convencional. Se habla de arteriografía cuando el objeto de estudio son las arterias, si fueran las venas se habla de flebografía, ámbas técnicas se agrupan en lo que se conoce como angiografía.
  • La angiografía es una técnica invasiva,

    La angiografía es una técnica invasiva,

    Requiere la introducción de un catéter en una arteria periférica, con frecuencia se usa la arteria femoral o incluso la vena cubital. Sin embargo existen técnicas no invasivas, como la angiografía por tomografía computarizada, para detectar un número importante de patologías con la misma precisión que la técnica invasiva.
  • Flebografía

    Flebografía

    Flebografía (del inglés Phlebography) es una técnica radiográfica, la cual consiste en la introducción de contraste en la porción distal (más alejada) de un territorio venoso, con la finalidad de obtener imágenes para su diagnóstico.
  • 1953

    1953

    Uno de los pioneros en este campo, gracias a la Técnica Seldinger en el proceso se hizo mucho más seguro, ya que dejó de requerirse la permanencia de instrumental afilado en la luz vascular.