Rio hortega

Andanzas por el mundo, sentimientos y descubrimientos de Pío.

  • Nace en Portillo

    Nace en Portillo

  • Period: to

    Vida de Pío

    Se hablarán de los viajes que hizo en su carrera, los descubrimientos y los sentimientos respecto a estos
  • Period: to

    Aprende técnicas de colaboración e histología con Leopoldo López García

  • Period: to

    Médico titular en Portillo

  • Lee su tesis doctoral en Madrid

  • Cambia de vocación

    Tras la muerte de tres pacientes en un mes siente que la carrera de medicina no está hecha para él y decide volver con sus estudios del doctorado
  • Viaje a Madrid

    Viaje a Madrid

    Va en busca de conocer a Cajal pero no consigue entrar en su laboratorio y se siente muy triste
  • Entrada en el laboratorio de Cajal

    Entrada en el laboratorio de Cajal

    Se le permite entrar en el laboratorio de Cajal como observador gracias a las cartas de recomendación escritas por Francisco Tello y Nicolás Achúcarro
  • Se le nombra discípulo de Achúcarro

    Se le nombra discípulo de Achúcarro

    En el museo de Historia Nacional
    (LA fotografía es un retrato de Achúcarro)
  • Investigación sobre la glía

    Investigación sobre la glía

    La foto muestra a Pío del Río Hortega en sus investigaciones.
  • Viaje a París

    Viaje a París

    Estudia técnica histológica y patológica (citología y tumores)
  • Viaje a Berlín

    Viaje a Berlín

    Práctica del método de Achúcarro
  • Viaje a Londres

    Viaje a Londres

    Trabaja en el Imperial Cancer Research
  • Estudio y descubrimiento del centrosoma

    Estudio y descubrimiento del centrosoma

    La foto muestra el centrosoma visto al microscopio.
  • Creación del Instituto Cajal.

    Creación del Instituto Cajal.

    La foto muestra el Instituto Cajal en el cerro de San Blas.
  • Creación de un nuevo método histológico (coloración)

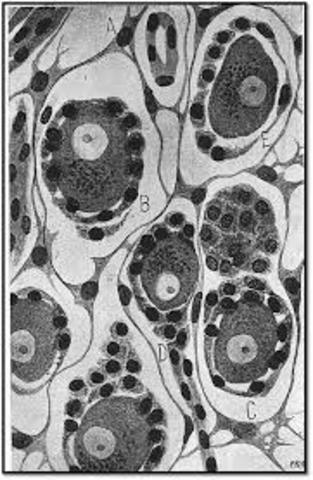
    Creación de un nuevo método histológico (coloración)

    Se muestran imágenes vistas al microscopio a gracias a este método.
  • Descubrimiento del la microglia y miedo a publicar sus investigaciones por miedo al enfado de Cajal

    Descubrimiento del la microglia y miedo a publicar sus investigaciones por miedo al enfado de Cajal

    La foto muestra la microglía vista al miscroscopio.
  • Tristeza por la muerte de Achúcarro

  • Publicación de su trabajo sobre la microglía

  • Creación de su propio laboratorio

    Creación de su propio laboratorio

    La foto muestra una reproducción del laboratorio de Pío.
  • Entrega a Cajal sus trabajos sobre la oligodendroglía para hacer la paces

    Entrega a Cajal sus trabajos sobre la oligodendroglía para hacer la paces

    La foto es una fotografía de Cajal
  • Reconocimiento a su trabajo por parte del mundo científico

    Llaman a la microglía célula de Hortega, en su honor
  • Viaje a Argentina para ofrecer cursos de histología

    Viaje a Argentina para ofrecer cursos de histología

    Éxito absoluto y felicidad
  • Jefe del Laboratorio de Cancerología Experimental del Instituto de Oncología y nominación al Premio Nobel

    Jefe del Laboratorio de Cancerología Experimental del Instituto de Oncología y nominación al Premio Nobel

  • Director del Laboratorio de Anatomía Patológica y Cancerología

    Director del Laboratorio de Anatomía Patológica y Cancerología

    Posteriores viajes a Bélgica y Alemania para obtener nuevas ideas para su nuevo instituto
  • Estudio de los meningoexoteliomas, los endoteliomas meníngeos y los gliomas

    Estudio de los meningoexoteliomas, los endoteliomas meníngeos y los gliomas

  • Investigación de tumores cerebrales

    Investigación de tumores cerebrales

    Sus discípulos le envían tumores cerebrales para su estudio, y le apodan con el nombre de "el importador de tumores"
  • Viaja a Alemania para un ciclo de conferencias en varias ciudades

  • Es nombrado director del Instituto Nacional del Cáncer

    Es nombrado director del Instituto Nacional del Cáncer

  • Segunda nominación para el Premio Nobel

  • muerte de Cajal y tristeza por parte de Pío

  • Viaje a Bruselas, al Congreso Internacional contra el Cáncer

    Viaje a Bruselas, al Congreso Internacional contra el Cáncer

  • Cierre de los laboratorios y el instituto, y posterior viaje a Valencia donde continuará sus investigaciones

    Cierre de los laboratorios y el instituto, y posterior viaje a Valencia donde continuará sus investigaciones

  • Se le nombra masón y republicano por el gobierno franquista, cesando así todos sus cargos en el estado español. Le nombran doctor honoris causa por la Universidad de Oxford

    Se le nombra masón y republicano por el gobierno franquista, cesando así todos sus cargos en el estado español. Le nombran doctor honoris causa por la Universidad de Oxford

  • Viaja a Buenos Aires, donde se construye el Laboratorio Ramón y Cajal

  • Crea los conceptos de angiogliona y neurogliona, hallazgos en los ganglios simpáticos y en los sensitivos

    Crea los conceptos de angiogliona y neurogliona, hallazgos en los ganglios simpáticos y en los sensitivos

  • Se autodiagnostica un cáncer urogenital

  • Muere rodeado de discípulos y amigos

Want to make a timeline like this?

Use Timetoast to turn dates, events, milestones, and phases into a clear visual timeline you can build and share. Timetoast is a timeline maker for work, school, research, and stories.