Taenia solium 1

Taenia Solium

  • Introducción

    Introducción

  • Period: to

    Introducción

  • Fiestas patronales

    Fiestas patronales

    Paciente KGT que acude a una fiesta patronal en el estado de Hidalgo, indica que come carnitas en un establecimiento a orilla de la carretera en condiciones no higiénicas
  • Al exponerse a comer carnitas

    Al exponerse a comer carnitas

    La carne se encontraba contaminada por el parásito Taenia solium
  • Generalidades

    Generalidades

    La neurocisticercosis es la enfermedad resultante de la infestación de la forma larvaria del helminto intestinal Taenia solium (los cisticercos) en el sistema nervioso central.
    Taenia solium:
    Gusano plano alargado
    Perteneciente al filo de los platelmintos
    2 a 4 metros de largo
    Color blanquecino
    Simetría bilateral y aplastado dorsoventralmente (acintado)
    En su cuerpo segmentado se distinguen tres zonas:
    Escólex o cabeza
    Cuello
    Estróbilo (conjunto de anillos o proglótides)
  • Period: to

    Generalidades

    Generalidades, ciclo biológico y periodo de incubación
  • Periodo de incubación: Taenia

    Periodo de incubación: Taenia

    Periodo de incubación e infectividad: 10-14 semanas (T. solium), hasta la aparición de los huevos en las heces, y más hasta la primera presentación de las manifestaciones clínicas (a veces unos meses o años). En caso de T. solium el enfermo es contagioso a personas en su entorno durante todo el período de expulsión de los huevos en las heces. T. solium puede ser además causa de cisticercosis
  • Periodo de incubación: Cisticercosis

    Periodo de incubación: Cisticercosis

    Periodo de incubación e infectividad: entre varios meses y varios años. El enfermo con cisticercosis no contagia a las personas de su alrededor, a no ser que sea el hospedador de la forma adulta de la tenia
  • Manifestaciones clínicas Teniasis

    Manifestaciones clínicas Teniasis

    Signos y sintomas
    -Náuseas
    -Debilidad
    -Pérdida de apetito
    -Dolor abdominal
    -Diarrea
    -Mareos
    -Adelgazamiento y absorción inadecuada de los nutrientes de los alimentos
  • Manifestaciones clínicas: Neurocisticercosis

    Manifestaciones clínicas: Neurocisticercosis

    Neurocisticercosis Inactiva
    Neurocisticescosis Activa
    -Forma parenquimatosa
    *Epilepsia, déficit motor, ataxia, cefalea
    -Forma intraventricular
    *Fibrosis, neuropatías, hidrocefalia, vaculitis, pérdida conciencia
    -Forma espinal
    *Dolor, debilidad muscular, alteraciones motoras, alteraciones sensitivas
    -Forma extraneural
    *Crisis epilépticas, cefaleas, hipertensión intracraneal
  • Etapa vesicular

    Etapa vesicular

    Pared translúcida, líquido transparente y el escólex es viable e invaginado Reacción inflamatoria escasa, compuesta de linfocitos, células plasmáticas y eosinófilos
  • Period: to

    Etapas

  • Etapa coloidal

    Etapa coloidal

    El parásito se va degenerando. Pared de la vesícula es gruesa y el líquido vesicular se encuentra turbio
    Intenso infiltrado inflamatorio donde predomina una respuesta de células NK
    Abundantes macrófagos y células T, respuesta anticuerpo (IgM + células plasmáticas)
    Principales citocinas en el proceso: IL-2, IL-6, IL-12, TGF-B, IFN Y
  • Etapa granular

    Etapa granular

    Escólex completamente degenerado.
    Abundan en el infiltrado inflamatorio células plasmáticas , linfocitos B y T, macrófagos y mastocitos.
    Prevalecen citocinas TH1 e incluyen IFN-Y, IL-18, y TGF-B
  • Paciente: KGT

    Paciente: KGT

    Caso clínico:
    Paciente femenina de 40 años, originaria y residente de la Ciudad de México, soltera, con escolaridad de licenciatura, sin
    antecedentes familiares, patológicos y no patológicos relevantes.
  • Period: to

    Caso Clínico

    Perfil del paciente, historia clínica y examen físico
  • Caso Clínico

    Caso Clínico

    Ingresó al servicio de urgencias de nuestro hospital por ser encontrada por un familiar con pérdida del estado de alerta, emitiendo sonidos incomprensibles, con restos alimentarios y vómito en la boca, así como pérdida de control del esfínter vesical.
  • Examen Físico

    Examen Físico

    Estupor, fondo de ojo con borramiento de bordes de la papila, movimientos oculocefálicos horizontales y verticales presentes, reflejo nauseoso presente. Abdomen globoso, peristalsis presente, depresible, no doloroso a la palpación, sin datos de irritación peritoneal.
  • Exámenes de laboratorio

    Exámenes de laboratorio

    En la biometría hemática se reporta leucocitosis con neutrofilia (leucocitos 11,000/mm3 y neutrófilos de 90%), el resto dentro de parámetros normales.
    Se realiza punción lumbar para estudio citoquímico de líquido CFR, encontrando lo siguiente: Aspecto de agua de roca, ligeramente turbio, coagulación negativa, leucocitos 0, eritrocitos 470, proteínas totales 18.62, glucosa 88.68, cloruros 127. Tinta china, tinción de Gram, PCR para micobacterias, desaminasa de adenosina (ADA) negativa.
  • Pruebas diagnósticas

    Pruebas diagnósticas

    El médico tratante le comenta a la paciente KGT la necesidad de realizar pruebas que confirmarían el diagnóstico sospechado, esto de acuerdo con la sensibilidad y especificidad de cada una. En el hospital se cuenta con las siguientes pruebas:
    • Técnicas inmunológicas que detectan anticuerpos o antígenos específicos de T. solium en suero o LCR: Enzyme-linked Immunoelectransfer Blot (EITB) y ELISA
    • Estudios de neuroimagen: Tomografía computarizada y resonancia magnética
  • Técnicas inmunológicas

    Técnicas inmunológicas

    Se realizó el ensayo de inmuno-electrotransferencia
    ligado a enzimas (EITB), única prueba serológica para la detección de anticuerpos específicos de T. solium. Considerado el método de elección en el inmunodiagnóstico de la neurocisticercosis (sensibilidad del 96% y especificidad del 98%). La prueba de ELISA, es útil para la vigilancia de la respuesta al tratamiento antiparasitario (S=87%, E=95%).
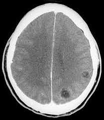
  • Estudios de neuroimagen

    Estudios de neuroimagen

    Método de elección para el diagnóstico de neurocisticercosis y para determinar el tipo de intervención terapéutica. Se realiza tomografía de cráneo simple y con contraste, la cual evidenció hidrocefalia aguda no comunicante y edema cerebral. Posteriormente se procede a colocación de válvula de derivación ventrículo-peritoneal, sin complicaciones con control tomográfico posterior donde se observó válvula de derivación.
  • Estudios de neuroimagen

    Estudios de neuroimagen

    Los estudios de imagen se complementaron con una resonancia magnética de cráneo donde se observó un quiste intraventricular anterior a la masa intertalámica con nódulo en su interior (escólex) y pared delgada bien definida, con lo que se estableció el diagnóstico de neurocisticercosis intraventricular.
  • Exposición de caso clínico

    Exposición de caso clínico

    El médico como es docente, en sus clases le gusta abordar los casos clínicos vistos en el hospital donde labora. Para esta exposición recibe ayuda de una química y un médico veterinario, para explicarles a los alumnos que se trata de una enfermedad zoonótica.
  • Period: to

    Exposición del caso clínico a los alumnos

    Inmunología, laboratorio y manifestaciones clínicas
  • Ciclo biológico 01

    Ciclo biológico 01

    En la forma usual de transmisión, el ser humano porta en el intestino la Taenia solium, popularmente conocida como "solitaria" y es uno de los huéspedes de dicho céstodo; éste se adquiere al ingerir carne de cerdo mal cocida en infestada con cisticercos. La taenia adulta elimina diariamente proglótidos grávidos que contiene aproximadamente 50,000 huevecillos cada uno.
  • Period: to

    Ciclo biológico y epigenética

  • Ciclo biológico 02

    Ciclo biológico 02

    Existen dos vías principales por las que el hombre adquiere la cisticercosis
    Ingesta de alimentos contaminados, a través de la vía ano-mano-boca en individuos portadores del parásito adulto en su intestio (autoinfección externa)
    Autoinfección interna a partir de regurgitación de proglóticos grávidos del íleon hasta el dudodeno
  • Genoma de T. solium

    Genoma de T. solium

    El contenido de ADN nuclear estimado mediante citofluorometría en núcleos aislados es de aproximadamente 270 Mb. Dos cálculos probabilísticos basados ​​en secuencias genómicas de escopeta resultaron en estimaciones de tamaño para el genoma haploide de 120-140 Mb ADN mitocondrial de T. solium: La secuencia tiene una longitud de 13,709 pares de bases y contiene 36 genes (12 para proteínas implicadas en la fosforilación oxidativa, 2 para los ARN ribosómicos, y 22 para los ARN de transferencia)
  • Epigenética T. solium

    Epigenética T. solium

    El genoma en la etapa de cisticerco está epigenéticamente modificado por una metilación del DNA, principalmente en 13 elementos genéticos. La metilación podría desempeñar un papel importante en la represión de genes clave relacionados con el parasitismo,
    incluyendo genes que codifican proteínas de secreción-excreción. La metilación de DNA (5-metilcitosina), es un mecanismo de importancia en el parasitismo.
  • Inmunopatología en neurocisticercosis provocada por Taenia solium

    Inmunopatología en neurocisticercosis provocada por Taenia solium

    Las características de los hallazgos están fuertemente influenciados por las etapas degenerativas del parásito
  • Mecanismos de contención

    Mecanismos de contención

    Predomina estado inmunológico TH2
    Niveles séricos aumentados de IG, IL-4, IL-5, IL-13
    Destrucción clínicamente silenciosa de cisticercos establecidos
  • Neurocisticercosis sintomática

    Neurocisticercosis sintomática

    Polimorfismos en genes relacionados con la inmunidad
    Polimorfismos TLR4 asociados con aparición y progresión de la enfermedad
    Anticuerpos anticisticercos e incremento en la respuesta de células linfoides
  • Mecanismos de evasión

    Se han propuesto:
    -Inactivación del complemento
    -Depresión de linfocitos
    -Liberación de factores líticos para diferentes estirpes celulares
    -Factores inhibitorios de inflamación
    -Presencia de un receptor para el fragmento Fc de las Inmunoglobulinas
  • Epidemiología: Teniasis en México

    Epidemiología: Teniasis en México

    La enfermedad se circunscribe principalmente a seis entidades (Jalisco, Veracruz, Tabasco, Chiapas, Nuevo León y Michoacán) de las 32 que conforman el territorio nacional, sumando el 51.6% de los casos de teniasis registrados 
  • Period: to

    Epidemiología, control y prevención

    Datos epidemiológicos, vigilancia, prevención, control y vacunación
  • Epidemiología: Cisticercosis en México

    Epidemiología: Cisticercosis en México

    Cisticercosis: se circunscribe principalmente a siete entidades (Jalisco, Michoacán, Guanajuato, Edo. De Mex, CDMX, Chihuahua y Sinaloa) sumando el 60.2% de la casuística registrada en el país.
  • Vigilancia epidemiológica

    Vigilancia epidemiológica

    NOM-017 para la vigilancia epidemiológica: Notificación y difusión de morbilidad por teniasis y cisticercosis.
    La información epidemiológica se concentra y envía hasta el nivel federal mediante el informe semanal de casos nuevos (SUIVE)
  • Prevención primaria

    Prevención primaria

  • Period: to

    Niveles de prevención

  • Prevención primaria

    Prevención primaria

  • Vacuna

    Vacuna

    vacunación de los cerdos (vacuna con TSOL18)
    Vacuna de los cerdos S3Pvac-papaya (oral) UNAM Pero no existe todavía una vacuna contra la cisticercosis que haya demostrado viabilidad, y aún cuando sea disponible, será dificultoso implementarla en regiones endémicas. En contraste a medidas preventivas, un tratamiento barato y eficaz contra la cisticercosis porcina mejoraría el valor del cerdo mejorando la producción de carne.
  • Prevención secundaria

    Prevención secundaria

    Detección y tratamiento de portadores
    Para esto mantener un control y vigilancia de los casos que se presente, triangular las zonas de riesgo y de probable contagio. Identificar a los manipuladores de alimentos y en grupo de riesgo (contacto de portadores y consumidores de carne cruda)
  • Prevención secundaria

    Prevención secundaria

    -Capacitar al personal de salud para detectar o descartar la patología cuando los pacientes presenten: hidrocefalia, epilepsia, meningitis, etc.
    -Solicitar una TAC de cráneo o una resonancia magnética donde se busque intencionalmente las calcificaciones cerebrales causadas por las larvas, esto por ser un estudio no invasivo, pero de contar con recursos, bajo el mismo criterio y tras el interrogatorio y una BH previa con leucocitosis con neutrofilia se podría hacer estudio de LCR
  • Prevención secundaria

    Prevención secundaria

    Tratamiento de los quistes ventriculares pueden ser farmacológico o quirúrgico, este último con escisión directa o aspiración por neuroendoscopia con fenestración del tercer ventrículo
  • Prevención Terciaria

    Prevención Terciaria

    Las principales complicaciones que se pueden presentar en la evolución de pacientes con NCC son: Mal control de la epilepsia, disfunción de los sistemas de derivación (hidrocefalia hipertensiva), cefalea aguda y en casos severos el paciente puede quedar con secuelas neurológicas incapacitantes.
    La prevención terciaria para NCC comprende la corrección de las posibles secuelas, parálisis, crisis convulsivas, perdida de sensibilidad o movimiento, alteraciones de la vista, entre otras.
  • Prevención Terciaria Recomendaciones

    Prevención Terciaria Recomendaciones

    -El tratamiento se lleva por un equipo multidisciplinario de neurología
    -Hidrocefalia:Requiere en la mayoría de los casos-de la colocación de una válvula de derivación ventrículo peritonea.
    -Se recomiendan la evaluación imagenológica de la respuesta al tratamiento se realicen luego de tres meses de administrarse la terapia.
  • Prevención Terciaria Fisioterapia Neurológica

    Prevención Terciaria Fisioterapia Neurológica

    Evalúa y trata a los pacientes con lesión en el sistema nervioso central.
    Orientado a la prevención de las complicaciones derivadas de la lesión cerebral, recuperación de las funciones sensitivomotoras perdidas y al mantenimiento de la funcionalidad alcanzada.
    El objetivo es conseguir la máxima funcionalidad del paciente y/o la prevención de su deterioro.
    Se realiza una labor de educación sanitaria donde se implica al entorno familiar y profesional.
  • Alimentos

    Alimentos

    HACCP (Gravedad biológica alta)
    NOM-030-ZOO-1995 (Parásitos/estados larvarios 4 o más: Defectos críticos)
    COFEPRIS-01-007-C
    NOM-009-Z00-1994
    NOM-251-SSA1-2009
  • Recomendaciones

    Recomendaciones

    -Implementación / regulación de Políticas Públicas para el aseguramiento de servicios básicos, en zonas de alta incidencia y prevalencia de la enfermedad.
    -Monitoreo continuo y regulación de preparación de alimentos.
    - Reforzar medidas de promoción a la salud en poblaciones con animales de traspatio.
    -Desarrollo y perfeccionamiento de la vacuna oral para lograr su implementación en zonas de alta incidencia y prevalencia de la enfermedad.
  • ¿Y qué sucedió con la paciente?

    ¿Y qué sucedió con la paciente?

  • Paciente acude a servicio de Neurocirugía

    Paciente acude a servicio de Neurocirugía

    Acude a revaloración por Neurocirugía y posteriormente se realiza neuroendoscopía para extracción del quiste. El procedimiento se realizó sin complicaciones y durante el quinto día de hospitalización se inició tratamiento con albendazol. La paciente presentó buena evolución clínica, con mejoría del
    estado de alerta, persistencia de inatención y con
    alteración de la memoria de trabajo, por lo cual recibe ejercicios de rehabilitación.
  • Bibliografía

    Bibliografía

Plan projects on a visual timeline

Map milestones, phases, deadlines, and key events in one place so the sequence is easier to see and share. Timetoast is a timeline maker for work, school, research, and stories.