Línea del tiempo "Neuropsicología clínica"

  • Periodo Preclásico
    3500 BCE

    Periodo Preclásico

    Periodo Preclásico
  • Imperio Romano
    400

    Imperio Romano

    Valerius Maximum describe el primer caso de alexia traumática
  • Patologías del lenguaje
    1500

    Patologías del lenguaje

    Se hace la Publicación de informes relacionados sobre todo con patologías del lenguaje.
  • Johann Schmitt y Peter Schmitt

    Johann Schmitt y Peter Schmitt

    Se refiere a varios pacientes afásicos con diferente sintomatología, incluyendo la incapacidad para denominar y repetir.
  • Franz Gall

    Franz Gall

    Formula una nueva doctrina particularmente influyente durante el siglo XIX: que los hemisferios cerebrales del hombre incluyen varios órganos independientes que sustentan las cualidades intelectuales y morales.
  • Diferentes trastornos Cognoscitivos

    Diferentes trastornos Cognoscitivos

    Se sabe de diferentes trastornos cognoscitivos, especialmente verbales: anomia y jerga (Gesner), agrafia (Linné), capacidad preservada para cantar (Dalin) e incluso disociación en la capacidad de leer en diferentes lenguas (Gesner).
  • Bouillaud

    Bouillaud

    Distinguió dos tipos de patologías del lenguaje, uno articulatorio y otro amnésico, correspondientes en general a las formas motora y sensorial de afasia.
  • Troussea

    Troussea

    Desaprobó el término de afemia porque, en su opinión, era sinónimo de infamia, y propuso entonces la palabra afasia. Esta última terminó por imponerse.
  • Broca

    Broca

    La afemia se relaciona con lesiones de la tercera circunvolución frontal del hemisferio izquierdo del cerebro
  • Oglee

    Oglee

    utilizó el término agrafia para referirse a la incapacidad para escribir.
  • Karl Wernicke

    Karl Wernicke

    propuso la existencia de dos tipos de afasia: motora y sensorial, separables clínicamente y apoyó su punto de vista en correlaciones clínico/anatómicas. Posteriormente postuló un tercer tipo de afasia, la afasia de conducción, basándose en la descripción diagramática de las áreas del cerebro que participan en el lenguaje.
  • Salomon Munk

    Salomon Munk

    La primera descripción sobre alteraciones perceptuales consecuentes al daño cerebral.
  • Freud

    Freud

    propuso el nombre agnosia, que finalmente reemplazó al de “ceguera psíquica” utilizado por Munk.
  • Liepmann

    Liepmann

    Introdujo el concepto de apraxia, para indicar la incapacidad de realizar determinados movimientos por orden verbal, sin que hubiera parálisis de la extremidad correspondiente.
  • Rieger

    Rieger

    Se cree que fue el primer investigador que llamó la atención sobre el hecho de que algunos pacientes con daño cerebral tienen dificultades para ensamblar objetos.
  • Apraxia óptica

    Apraxia óptica

    Kleist (1912), y, posteriormente Poppelreuter (1917), hablaron de
    apraxia óptica para describir las dificultades que tienen algunos pacientes para realizar actividades que requieren un adecuado control visual de los movimientos, como dibujar, y que es evidentemente diferenciable de la apraxia idemotora
  • Von Monakow

    Von Monakow

    Von Monakow afirmó que no existen afasias (o amnesias o agnosias o apraxias), sino pacientes afásicos (o amnésicos o agnósicos o apráxicos).
  • Experimentación animal de Lashley

    Experimentación animal de Lashley

    El apoyo científico para el enfoque holístico provino también de la experimentación animal de Lashley, cuyos trabajos iniciales sugirieron que la función cerebral no era el producto de una estructura neuroanatómica específica, sino que resulta de la participación integrada de una masa extensa de tejido cerebral.
  • Apraxia del vestirse

    Apraxia del vestirse

    Posteriormente, esta dificultad para orientar los
    movimientos necesarios para vestirse fue analizada por Brain, quien se refiere a una forma específica de apraxia del vestirse, es decir, la incapacidad para ubicar
    sin error la vestimenta en el propio cuerpo.
  • Enfoque holístico en neuropsicología

    Enfoque holístico en neuropsicología

    Los psicólogos de la gestalt, mejor ejemplificados por Goldstein y Conrad, promovieron el enfoque holístico en neuropsicología.
  • Afasia traumática

    Afasia traumática

    El primer resultado importante de la posguerra fue la aparición del libro de A.R. Luria, La afasia traumática, publicado en
    ruso
  • Instituto de Neurología de Montevideo

    Instituto de Neurología de Montevideo

    Se crea en el Instituto de Neurología de Montevideo (Uruguay) el
    llamado Laboratorio de Afecciones Corticocerebrales.
  • Interpretaciones clínicas y teóricas de los procesos cognoscitivos

    Interpretaciones clínicas y teóricas de los procesos cognoscitivos

    N. Geschwind y el denominado Grupo de Boston
    dirigieron las interpretaciones clínicas y teóricas de los procesos cognoscitivos en general, tanto en los Estados Unidos como en gran parte del mundo occidental.
  • Investigaciónes en neuropsicología

    Investigaciónes en neuropsicología

    Durante este periodo, se desarrolla en diferentes países la investigación en neuropsicología. En Francia, Henri Hécaen (1962, y Albert, 1978) realiza importantes contribuciones prácticamente en todas las áreas de la neuropsicología,
    pero sobre todo en el estudio de la asimetría cerebral y la organización del lenguaje.
  • Disconnection Syndromes in Animals and Man

    Disconnection Syndromes in Animals and Man

    Geschwind publicó su trabajo más representativo: “Disconnection
    Syndromes in Animals and Man”. Ese mismo año organizó, en el Boston Veterans Administration Hospital, el Centro de Investigación de las Afasias,
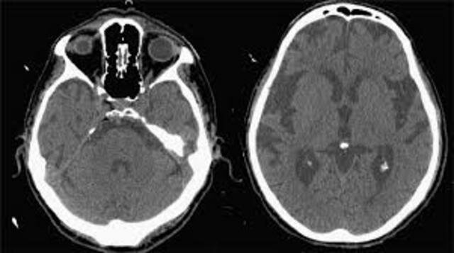
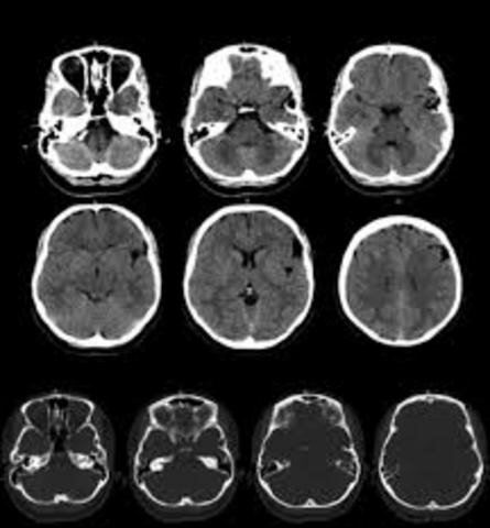
  • Técnicas imagenológicas

    Técnicas imagenológicas

    La incorporación y difusión de las técnicas imagenológicas contemporáneas, en especial la escanografía cerebral o la tomografía axial computarizada (TAC), implicó una
    verdadera revolución en todas las ciencias neurológicas
  • Imágenes no anatómicas

    Imágenes no anatómicas

    Se fortalece la investigación con el empleo de imágenes no
    anatómicas sino funcionales, en particular la resonancia magnética funcional (fMRI, porsus siglas en inglés) y la tomografía por emisión de positrones (PET), que han permitido
    visualizar la actividad cerebral durante la realización de diferentes tareas cognoscitivas
  • Baterías

    Baterías

    Se comienzan a utilizar la Batería Neuropsicológica de Halstead-Reitan, la Batería Neuropsicológica de Luria-Nebraska, el Neuropsi, la Escala de Memoria de Wechsler, la Prueba de Boston para el Diagnóstico de las Afasias, la Prueba de Clasificación de
    Wisconsin, la Figura Compleja de Rey-Osterrieth, etc
  • Rehabilitación de las secuelas cognoscitivas

    Rehabilitación de las secuelas cognoscitivas

    se comienza rehabilitación de las secuelas cognoscitivas de lesiones cerebrales en general (la desaparición de las alteraciones no sólo afásicas, sino también amnésicas, apráxicas, agnósicas, comportamentales, etc.) ha generado un enorme interés en los últimos años
  • Fonoaudiología

    Fonoaudiología

    Se refuerza terapia del lenguaje o fonoaudiología con el trabajo de muchos neuropsicólogos dedicados a la rehabilitación cognoscitiva. El empleo de computadores en el área de la rehabilitación representa un avance potencialmente muy valioso en esta dirección.
  • Publicaciones internacionales

    Publicaciones internacionales

    Durante los últimos años, la cantidad de publicaciones internacionales ha crecido en forma sorprendente, dando
    testimonio de la importancia cada vez mayor de la neuropsicología dentro del mundo científico contemporáneo