Historia y Desarrollo de la Radiología

  • Electricidad

    Electricidad

    Investigaciones sobre la electricidad (Crookes tube)
  • Wilheim Conrad Röentgen

    Wilheim Conrad Röentgen

    Descubrimiento de los rayos X
  • Frederic Otto Walkhoff

    Frederic Otto Walkhoff

    Primera radiografía dental
  • William D. Collidge

    William D. Collidge

    Creación del primer aparato en miniatura de rayos X
  • Dartmouth College

    Dartmouth College

    Primera aplicación de x rays documentada médicamente (muñeca fracturada)
  • Protección Radiológica

    Protección Radiológica

    Inicia la era de la legislación sobre protección radiológica
  • George Eastman

    George Eastman

    Primera película radiográfica
  • Tubo de coolidge

    Tubo de coolidge

  • Intensificador de imágenes

    Con este descubrimiento se pudo lograr que la lu- minosidad de la imagen brindada por la pantalla radioscópica fuera tan clara como la observada en una pantalla televisora
  • 2nda Guerra Mundial

    2nda Guerra Mundial

    Multiplicación de instituciones universitarias al rededor de la nación, e integración de programas educativos en tecnología radialógica
  • Tomografía axial computarizada

    Tomografía axial computarizada

    Órganos nunca visualizados radio- lógicamente se expusieron con gran claridad ante nuestros ojos
  • Fred M. Medwedeff

    Fred M. Medwedeff

    Desarrollo de la técnica de colimación rectangular, reduciendo al mínimo la radiación fuera del sitio de exposición
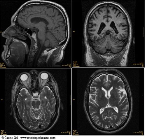
  • Resonancia magnética nuclear

    Resonancia magnética nuclear

    Método de diagnóstico que eliminaba el uso de la radiación para el paciente, nos ofrece imágenes de alta resolución mediante cortes en cualquier dirección del espacio

Looking for a timeline maker?

Create timelines for projects, roadmaps, history, lessons, legal cases, and stories with Timetoast. Timetoast is a timeline maker for work, school, research, and stories.