Disparos rayos x realistas huesos humanos 1284 29690

Historia de los Rayos X

  • Invención del "Tubo de Geissler".

    Invención del "Tubo de Geissler".

    Útil para experimentos de descarga en tubos de vacío.
  • Creación del "Tubo de Crookes".

    Creación del "Tubo de Crookes".

    Por William Crookes. En un extremo tiene un cátodo y en otro un ánodo, cuando hay diferencia de potencial, se percibe fluorescencia.
  • Trabajo de científicos con tubos al vacío.

    Trabajo de científicos con tubos al vacío.

    Estudiar comportamiento de la electricidad en su interior.
  • Descubrimiento de los rayos X o rayos Roentgen.

    Descubrimiento de los rayos X o rayos Roentgen.

    Wilhelm Conrad Roentgen realizó experimentos con rayos catódicos y el tubo de Crookes.
  • Diseño y fabricación del primer fluoroscopio.

    Diseño y fabricación del primer fluoroscopio.

    Por T. Edison, lo que permitió observar órganos internos en movimiento. Desarrolló pantallas fluorescentes de tungsteno.
  • Primeras radiografías en Barcelona.

    Primeras radiografías en Barcelona.

    Realizadas por C. Comas.
  • Radiografía de un cálculo renal.

    Radiografía de un cálculo renal.

    Tomada por John Macintyre.
  • Primer radiografía dental.

    Primer radiografía dental.

    Obtenida por W. G. Worton, utilizando cráneos humanos desecados.
  • Leopold Freund.

    Leopold Freund.

    Primero en realizar radioterapia a niña de 5 años que padecía de nevus piloso.
  • Wilhelm Roentgen recibe el primer Premio Nobel de Física.

    Wilhelm Roentgen recibe el primer Premio Nobel de Física.

  • Ley de radiosensibilidad de los tejidos.

    Ley de radiosensibilidad de los tejidos.

    Descrita por J. Bergonié y R. Tribondeau al estudiar en ratones, vieron que las células presentan diferente sensibilidad a la radiación en función de diferentes factores intrínsecos.
  • Primer aparato portátil de rayos X.

    Primer aparato portátil de rayos X.

    Presentado por Mónico Sánchez Moreno, lo llamó aparato de rayos X "Sánchez".
  • Perfeccionamiento del método para medir la longitud de onda de los rayos X.

    Perfeccionamiento del método para medir la longitud de onda de los rayos X.

    Por M. Von Laue. Demostró que estos eran de naturaleza análoga a la luz.
  • Creación del primer ánodo y cátodo de tungsteno.

    Creación del primer ánodo y cátodo de tungsteno.

    Por W. D. Coolidge.
  • Fundación del Instituto de Radio.

    Fundación del Instituto de Radio.

    Por Marie Curie. Aquí se estudiaron las aplicaciones de los rayos X en medicina.
  • Marie Curie utiliza rayos X.

    Marie Curie utiliza rayos X.

    Para cura de fracturas y también usó rayos X móvil en la guerra mundial.
  • Invención del "Tubo de Coolidge".

    Invención del "Tubo de Coolidge".

    Por William David Coolidge.
  • Primeras normas de radioprotección.

    Primeras normas de radioprotección.

  • Descubrimiento del efecto Compton.

    Descubrimiento del efecto Compton.

    Por Arthur H. Compton. Pudo demostrar que los rayos X se comportan como corpúsculos con momento lineal p = h/λ cuando chocan con electrones. Midió la longitud de onda (o la frecuencia) de los rayos X incidentes y una vez dispersados y, de esta manera, pudo determinar el cambio en el momento lineal del fotón de rayos X.
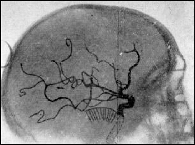
  • Primera angiografía.

    Primera angiografía.

    Por António Egas Moniz.
  • Intensificador de imágenes.

    Intensificador de imágenes.

    Uso del yodo radioactivo.
  • Philips crea el primer arco quirúrgico con brazo en "C".

    Philips crea el primer arco quirúrgico con brazo en "C".

    Permite visualizar imágenes en tiempo real, sin necesidad de transportar al paciente hasta el área de rayos X.
  • Descubrimiento de la densitometría ósea.

    Descubrimiento de la densitometría ósea.

    Por J. Cameron y J. Sorenson.
  • Creación del primer TAC.

    Creación del primer TAC.

    Por Godfrey Newbold Hounsfield.
  • Primera tomografía computarizada.

    Primera tomografía computarizada.

  • Introducción del primer mamográfo.

    Introducción del primer mamográfo.

    En El Salvador.
  • Inicio del Programa de Residencia en Radiología.

    Inicio del Programa de Residencia en Radiología.

    En el Hospital General del Seguro Social.
  • Invención del primer sistema de radiología digital directa.

    Invención del primer sistema de radiología digital directa.

    Por F. Mouyens.
  • Instalación del primer tomógrafo axial computarizado.

    Instalación del primer tomógrafo axial computarizado.

    En el Hospital Militar.
  • Formación de la Comisión Nacional de Protección Radiológica.

    Formación de la Comisión Nacional de Protección Radiológica.

    Actualmente llamada Unidad Reguladora y Asesora de Radiaciones (UNRA).
  • Ley de Actividades Nucleares y Seguridad Radiológica.

    Ley de Actividades Nucleares y Seguridad Radiológica.

  • Creación del Reglamento de Autorizaciones para Instalaciones Radiactivas y Equipos Generadores de Radiaciones Ionizantes.

    Creación del Reglamento de Autorizaciones para Instalaciones Radiactivas y Equipos Generadores de Radiaciones Ionizantes.

  • Ahora

    Ahora

    Se cuentan con radiología intervencionista, ecografías, tomografías computadas, resonancias magnéticas, tomografías y resonancia por emisión de positrones, entre otros.

Plan projects on a visual timeline

Map milestones, phases, deadlines, and key events in one place so the sequence is easier to see and share. Timetoast is a timeline maker for work, school, research, and stories.