Medicina

Historia de la medicina

  • Medicina prehistórica
    3000 BCE

    Medicina prehistórica

    Concepto religioso y mágico delas enfermedades. Usaban plantas y saliva para curarse.
  • Trepanaciones
    3000 BCE

    Trepanaciones

    Práctica que se ejercía en la Prehistoria agujereando el cráneo cuando la persona estaba loca.
  • Hipócrates
    460 BCE

    Hipócrates

    Se le conoce como el padre de la medicina. Fue el primero en separarla de otras ciencias y de la filosofía.
  • Medicina Alejandrina
    336 BCE

    Medicina Alejandrina

    La disección de cadáveres permitió hacer avances en anatomía.
    También se alcanzó un notable progreso en la fisiología y la cirugía.
  • Medicina medieval
    476

    Medicina medieval

    Mucha gente creía que las enfermedades eran un castigo de Dios, y la curación sólo podía venir de la ayuda divina. Los pacientes buscaban la sanación sólo a través de la oración o bien peregrinando a algún lugar santo,
  • Avicena
    Jul 8, 980

    Avicena

    Nace el importante médico árabe Avicena, quien descubrió el reconocer la naturaleza contagiosa de la tuberculosis, la diseminación de enfermedades por el agua y la tierra, así como la interacción mente-cuerpo.
  • Ibn an-Nafis
    1242

    Ibn an-Nafis

    Diferencia los ventrículos derecho e izquierdo y describe la circulación de la sangre.
  • Roger Bacon
    1249

    Roger Bacon

    Inventa las lentes convexas para poder tratar la hipermetropía.
  • Nicolás De Cusa
    1451

    Nicolás De Cusa

    Inventa las lentes cóncavas para tratar la miopía.
  • Leonardo da Vinci
    Apr 15, 1452

    Leonardo da Vinci

    Fue un muy importante anatomista del Renacimiento.
  • Ambroise Paré
    1510

    Ambroise Paré

    Es considerado como el padre de la cirugía.Hizo avances en la curación de heridas de bala. Era cirujano y barbero.
  • Miguel Servet
    1553

    Miguel Servet

    Fue un científico español que descubrió la circulación menor pulmonar.
  • Edward Jenner

    Edward Jenner

    Fue el primer hombre en crear una vacuna y esta fue contra la viruela.
  • Filippe Ricord

    Filippe Ricord

    Nace Filippe Ricord quien consigue distinguir entre la gonorrea y la sífilis.
  • Louis Pasteur

    Louis Pasteur

    Nace Louis Pasteur, médico francés muy importante que descubrió la existencia de los microbios y se llegó a la conclusión de que muchas enfermedades eran originadas por ellos
  • Crawford Long

    Crawford Long

    Realizó la primera operación quirúrgica con anestesia.
  • Walther Flemming

    Walther Flemming

    Descubrió el primer antibiótico, la penicilina, aunque lo hizo debido a un error.
  • Wilhem Conrad Röntgen

    Wilhem Conrad Röntgen

    Fue el primero en realizar una radiografía.
  • Albert Neisser

    Albert Neisser

    Descubre cual es el agente patógeno de la gonorrea, la primera ETS descubierta.
  • Frederick Gowland Hopkins

    Frederick Gowland Hopkins

    Descubrió y demostró la relación que tenían los alimentos y la carencia de ellos con las enfermedades.
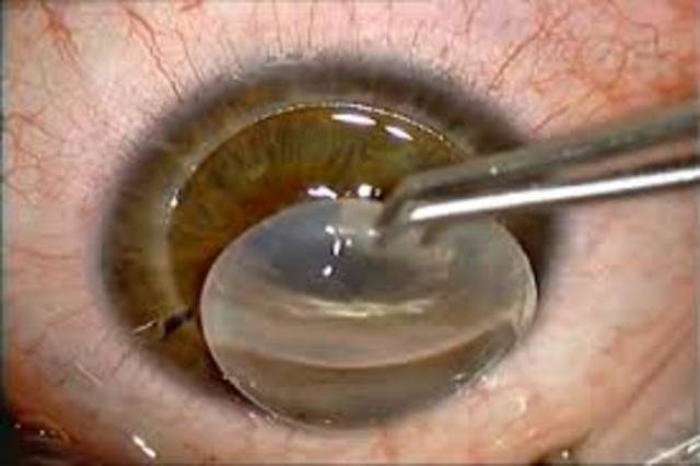
  • Primer trasplante en seres humanos

    Primer trasplante en seres humanos

    Eduard Zirm fue el primero en realizar un trasplante de córnea con éxito.
  • Alexis Carrel

    Alexis Carrel

    Realizó el primer trasplante de corazón con éxito.

A list shows items. A timeline shows sequence.

Use Timetoast to make dates, milestones, and turning points easier to understand in a clear visual format. Timetoast is a timeline maker for work, school, research, and stories.