Diente restaurado

Evolución de la Odontología Restauradora

  • 1562

    Dientes artificiales

    Ambrosio Paré prepara dientes artificiales con hueso
    y marfil.
  • Dentadura completa

    Alexis Duchateau hace el primer uso de la porcelana para hacer una
    dentadura completa.
  • Construccion de puentes dentales

    Construccion de puentes dentales

    J.B. Gariot de Panes construye puentes, con el uso del articulador.
  • Amalgama dental

    Amalgama dental

    August Taveau combina plata y mercurio, formando una pasta de plata (París).
  • Oxido nitroso

    Horace Wells es el primero en demostrar y utilizar el óxido nitroso para la sedación.
  • Anestesia para la cirugía

    El odontólogo Thomas Morton fue el primero en demostrar el uso de la anestesia para la cirugía. La cocaína fue el primer anestésico local utilizado.
  • Gutapercha

    Gutapercha es descubierta en la India.
  • Caucho duro para dentaduras

    Nelson Goodyear desarrolla un método para producir vulcanita, y sustituir las dentaduras de marfil tallado,
  • Taladro eléctrico

    George Green realiza la patente del primer taladro eléctrico.
  • Movimientos del mandibulares

    Movimientos del mandibulares

    William E. Walker estudió los movimientos mandibulares con respecto a la prótesis dental.
  • Hidrocoloide

    Alphons Poller introduce el hidrocoloide reversible en odontología. El cual sirvió para reproducir modelos en yeso.
  • Metacrilato de metilo

    Relleno directo con resinas de metacrilato de metilo.
  • Grabado acido del esmalte

    Grabado acido del esmalte

    El dr. Michael G. Buonocore publica la técnica del grabado acido del esmalte y su efecto.
  • Rellenos blancos de resina

    Rellenos blancos de resina

    Michael Buonocore inventó los rellenos blancos de resina para restauraciones más estéticas.
  • Silla dental

    Sale al mercado la primera silla dental. Totalmente reclinable, comodidad para paciente y odontólogo. Ayuda de una asistente dental.
  • Selladores de fosetas y fisuras

    Selladores de fosetas y fisuras

    Buonocore y Cueto publican artículo sobre selladores de
    fosetas y fisuras para prevenir caries oclusal en dientes posteriores.
  • Transiluminación

    Transiluminación

    Usado como método diagnóstico para las lesiones cariosas. Se ilumina el diente y las caries aparecerán más oscuras.
  • Oro para restauraciones

    Oro para restauraciones

    Robert Woofendale introduce la lamina de oro por primera vez en Estados Unidos.
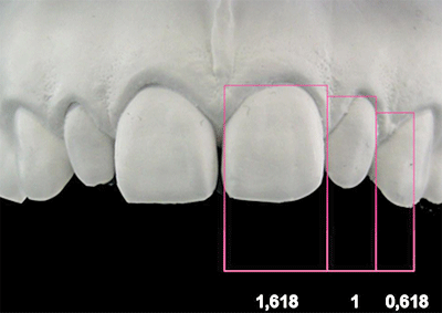
  • Gradiente de Levin

    Gradiente de Levin

    Proporción aurea en odontologia. Es una formula matemática que nos ayuda a mantener proporciones estéticas.
  • Implantes dentales

    Implantes dentales

    Ingvar Branemark describe la técnica para realizar implantes dentales. Nueva opción de tratamiento para los pacientes.
  • Restauraciones semidirectas

    Restauraciones semidirectas

    Desarrolladas por Mörmann y Blankenau. Una única sesión con pasos intraorales y extraorales. No es necesario tomar impresiones de la arcada antagonista o colaborar con el laboratorio de prótesis dental. Sin provisionales. Cavidades de número limitado.
  • Alúmina Vita In-Ceram

    Alúmina Vita In-Ceram

    75% alúmina policristalina y 25% vidrio de infiltración. Alta resistencia y tenacidad; translucidez media. Coronas posteriores y puentes anteriores.
  • Cemento de ionómero de vidrio autocurable

    Cemento de ionómero de vidrio autocurable

    No necesita de la luz para activarse. En odontopediatría para cementar coronas; mantener espacios, bandas y brackets de acero inoxidable.
  • Adhesivos dentinarios hidrofílicos

    Adhesivos dentinarios hidrofílicos

    Aparecen en los 90s. Humedece la superficie de la dentina y proveen retención micromecánica ademas de unión química.
  • Restauraciones libres de metal

    Restauraciones libres de metal

    Aparecen las restauraciones de cerámica libres de metal. 99,9% era Al2O3 y recubierto de porcelana dental.
  • Espinela Vita In-Ceram

    78% MgAl2O4 y 22% vidrio de infiltración. Resistencia a la flexión y tenacidad con altos requisitos estéticos. Para Inlays y coronas anteriores.
  • CEREC 2

    CEREC 2

    Gráficos bidimensionales. Software y hardware para el diseño de coronas y restauraciones.
  • Titanio en implantología

    Titanio en implantología

    Wennerberg implanto diferentes metales en hueso de conejo. El titanio era el segundo elemento con gran capacidad osteointegradora.
  • Láser Er:YAG

    La FDA aprueba el uso del láser Er:YAG en tejidos dentales duros.
  • IPS ProCAD

    IPS ProCAD

    Bloques de cerámica vítrea, de partícula fina. En varios tonos para mayor estética.
  • Ormoceras

    Compuestos orgánicos, inorgánicos y polisiloxanos. Buen sellado marginal. Mínima contracción por polimerización. Citotóxico, fácil
    decoloración y poca resistencia.
  • DIAGNOdent

    DIAGNOdent

    Hibst y Gall desarrollan un equipo laser portátil. Mide el incremento en la fluorescencia del tejido dental afectado por caries.
  • Vita 3D Master

    Vita 3D Master

    Vita Zahnfabrik introduce esta guía de colores basada en el sistema de colores de Munsell; se considera la dimensión Value del color.
  • Microscopio quirúrgico ergonómico

    Microscopio quirúrgico ergonómico

    Se propone el primer microscopio ergonómico por el Dr. Gary Carr; con óptica galileana.
  • Zirconia In-Ceram

    Zirconia In-Ceram

    Material más resistente de In-Ceram. 56% alúmina policristalina, 24% zirconia policristalina y 20% vidrio de infiltración. Resistente a la flexión y tenaz. Opaco; para coronas y puentes posteriores de 3 unidades.
  • Recaldent

    Recaldent

    El fosfato de calcio fue aprobado por la FDA de Estados Unidos para ser usado en productos alimenticios o productos de higiene oral, ya que contribuye a la remineralización.
  • CEREC 3.

    CEREC 3.

    Gráficos tridimensionales para la elaboración de restauraciones dentales.
  • Vita Easyshade

    Vita Easyshade

    Bad Sackingen, Alemania. Espectofotómetro estándar para
    la medición objetiva de color de los dientes en estudios clínicos. Necesita estar en contacto directo con la superficie del diente
  • Regeneración de organo dentario

    Regeneración de organo dentario

    Ohazama y colaboradores lograron el desarrollo completo de un diente. Transfirieron primordio embrionario al maxilar de un roedor adulto. Tubo las características apropiadas.
  • Implantes de titanio antibacterianos

    Petrini modifica la capa natural de óxido de titanio. Capa mixta de óxido de titanio y zinc. Disminuye 5 cepas bacterianas orales.
  • IPS E-max press /CAD

    IPS E-max press /CAD

    Sistema reforzado solo con cristales de disilicato de litio. Transparencia y translucidez. Muy buena estética.

Looking for a timeline maker?

Create timelines for projects, roadmaps, history, lessons, legal cases, and stories with Timetoast. Timetoast is a timeline maker for work, school, research, and stories.