Evolución

  • Ingreso

    Ingreso

    Tópico sillas (32)
  • SILLA 32

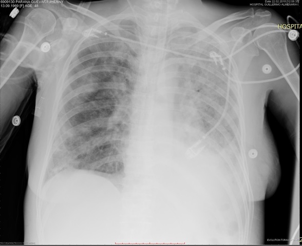
    Plan: BK1 // Hemogrma//G-U-C//RX TORAX// I/C INTELIGENCIA SANITARIA e INFECTOLOGÍA
  • UCE

    DA PASE A SU SERVICIO (03:00 HRS)
    Guardia Día: I/C REUMATOLOGIA e INFECTOLOGÍA
    (11:40hrs) Inicia: PIPERACILINA TAZOB + VANCOMICINA + AZITROMICINA.
    (12:40hRS) REUMATOLOGÍA: INMUNOGLOBULINAS + I/C GASTROENTEROLOGIA(No se efectiviza)
    Guardia Noche: PASE 3er PISO
  • Obs. 1 cama 1

    FEBRIL
    SS. Recuento linfocitario // Anti DNA. (ANA // ANCA) Pendiente 14-02-2018
    Continúa tratamiento
  • Obs. 1 cama 1

    I/C NEUMOLOGIA (Respondida)
  • Obs. 1 cama 1

    SS. HEMOGRAMA//PCR//G-U-C//CPK//DHL.
    TAC TORAX (EFECTIVIZA 12-02-2018) // I/C OFTALMOLOGIA(Acuden 12-02-2018)
  • Obs. 1 cama 1

    NO CUENTA CON PIPERACILINA TAZOB. (72HRS)
    I/C INFECTOLOGIA // OFTALMOLOGIA // GASTROENTEROLOGIA// DERMATOLOGIA (SE EFECTIVIZA 12--02-2018)
  • Obs. 1 cama 1

    Obs. 1 cama 1

    TAC TAP
    RESULTADOS AL MOMENTO NEGATIVOS VERIFICADOS EN SISTEMA.
    SE AGREGA SMX TMP (21 DÍAS)
    SUSPENDE AZITROMICINA
  • Obs. 1 Cama 1

    FARMACIA NO CUENTA CON INMUNOGLUBULINA, NI PIPERACILINA TAZOB. (REPORTA ENFERMERÍA DIA Y MEDIO SIN TX)
  • UCE - REINGRESO

    UCE - REINGRESO

    NO RECIBE PIPERACILINA TAZOB. DESDE EL 17-2-2018
    AGA CONTROL: K 1.6 INICIA RETOS
    I/C UCE
    PROCEDIMIENTO: CVC
    Guardia noche: Marcada dificultad respiratoria
    UCE: PASE A SU SERVICIO
    INICIA VASOPRESORES - SEDOANALGESIA - VM
  • UCE - REINGRESO

    UCE - REINGRESO

    SE RETIRA VASOPRESORES
    SE CONTINUA CON VANCOMICINA EN Rp PESE A INDICACIÓN DE INFECTOLOGIA
  • UCE - REINGRESO

    ANEMIA SEVERA Hb 6,4, SE TRANSFUNDEN 2 PG
  • UCE - REINGRESO

    UCE - REINGRESO

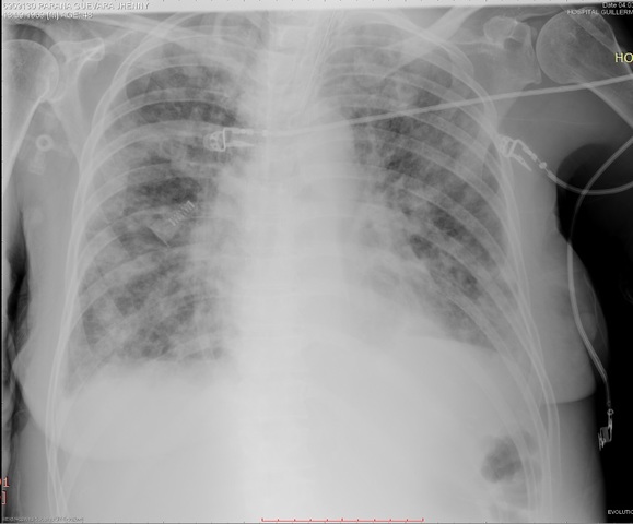
    ACTUALIZA ANALITICA, RX TORAX
  • UCE - REINGRESO

    SE SUSPENDE TRATAMIENTO ANTIBIÓTICO - INICIO VENTANA TERAPÉUTICA
  • UCE - REINGRESO

    UCE - REINGRESO

  • UCE - REINGRESO

    SE RECIBE RESULTADO CULTIVO SECRECIÓN BRONQUIAL (03-03-2018): AISLÓ KLEBSIELLA
    I/C INFECTOLOGIA
  • UCE - REINGRESO

    SE TOMAN MEDIDAS DE AISLAMIENTO
  • UCE - REINGRESO

    UCE - REINGRESO

Want to make a timeline like this?

Use Timetoast to turn dates, events, milestones, and phases into a clear visual timeline you can build and share. Timetoast is a timeline maker for work, school, research, and stories.