Oral cavity and tmj

Epistaxis posterior

  • Evaluación inicial.
    1 CE

    Evaluación inicial.

    Determinar el origen del sangrado.
  • Period: 2 to 2

    Evaluación inicial.

    Epistaxis anterior.
    Epistaxis posterior.
  • Determinar las causas.
    3

    Determinar las causas.

    Enfermedades asociadas: hipertensión arterial, neumopatía crónica, uso de anticoagulantes o antiplaquetarios,
    Causas traumáticas.
    Causas tumorales intra y extranasales.
    Causas infecciosas.
  • Estabilización.
    4

    Estabilización.

    Evaluar comorbilidades.
    Estabilización de las condiciones generales del paciente.
    Definir tratamiento definitivo.
  • Tratamiento inmediato.
    5

    Tratamiento inmediato.

    Detener el sangrado. Taponamiento nasal.
  • Definir manejo definitivo.
    6

    Definir manejo definitivo.

    De acuerdo a las condiciones del paciente y la experiencia del cirujano, puede optar por: dejar el taponamiento nasal por espacio de 5 días, realizar arteriografía y embolización selectiva o realizar ligadura arterial.
  • Taponamiento nasal
    7

    Taponamiento nasal

    El taponamiento nasal es muy útil en el servicio de urgencias y detiene el sangrado de inmediato, sin embargo, no es la mejor opción terapéutica definitiva ya que ocasiona revascularización en más del 70% de los casos.
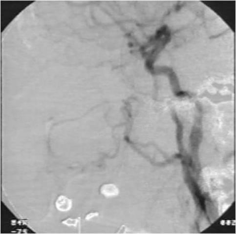
  • Arteriografía y embolización.
    8

    Arteriografía y embolización.

    Método selectivo para aquellos pacientes donde se sospecha de una malformación arterio-venosa como causa de sangrado. No se utiliza de forma rutinaria.(https://youtu.be/8o1YY9f_W-c)
  • Ligadura arterial
    9

    Ligadura arterial

    La ligadura arterial se realiza en las arterias etmoidales si el origen es en la arteria carótida interna o en tres niveles:carótida externa, maxilar interna o esfenopalatina si el origen es de la arteria carótida externa
  • Ligadura de arterias etmoidales
    10

    Ligadura de arterias etmoidales

    Se realiza cuando el sangrado es proveniente de las arterias etmoidales, ramas de la arteria oftálmica que se deriva de la arteria carótida interna.
  • Ligadura de la arteria carotida externa
    11

    Ligadura de la arteria carotida externa

    Se realiza sólo en casos de trauma facial, donde es imposible realizar abordajes endoscópicos intranasales. No se utiliza en forma rutinaria ya que ocasiona un alto índice de revascularización.
  • Ligadura de la arteria maxilar interna.
    12

    Ligadura de la arteria maxilar interna.

    Muy utilizada antes del advenimiento de la cirugía endoscopica nasal. Actualmente sólo se usa en casos selectos principalmente de origen tumoral debido a la complejidad anatómica de la región.
  • Ligadura de arteria esfenopalatina.
    13

    Ligadura de arteria esfenopalatina.

    Es el tratamiento de elección de la epistaxis posterior, ya que controla el sangrado en el punto de origen y no causa revascularización.(https://youtu.be/BkM68ss5Vz0)

Want to make a timeline like this?

Use Timetoast to turn dates, events, milestones, and phases into a clear visual timeline you can build and share. Timetoast is a timeline maker for work, school, research, and stories.