Embarazo

  • Acto sexual

    Acto sexual

  • Semana 1

    Semana 1

    En la primera semana ocurre la fecundación, seguida se las primeras divisiones para formar la morula y después el blastocisto. Aproximadamente en el día 6-7 ocurre la implantación del blastocisto en endometrio.
  • Semana 2

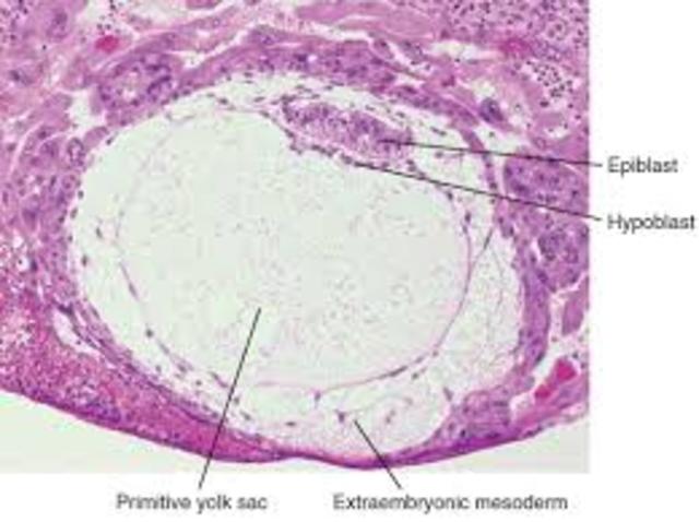
    Semana 2

    Termina la implantación. El embrión se convierte en un disco bilaminar y se crean dos vesículas (saco amniótico y vitelino).
  • Semana 3

    Semana 3

    Ocurre la gastrulación, se generan las 3 capas embrionarias y comienza la formación del tubo neural.
  • Semana 4-5

    Semana 4-5

    Inicio de actividad cardiaca fetal.
    Esbozos de extremidades.
    Cierre del tubo neural.
    Internalización del intestino.
    Desarrollo de la cara (arcos faringeos)
  • Semana 6-7

    Crecimiento de extremidades
    Desarrollo de nervios craneales
    Desarrollo del sistema gastrointestinal
  • Semana 8

    Semana 8

    Comienza el desarrollo pulmonar
  • Semana 9-10

    Crecen dedos
    Desarrollo de la cara y sus estructuras cobran forma.
    Intestinos rotan y crecen
  • Semana 11-12

    Desarrolla encias y dientes
    Comienza a moverse
    Gran desarrollo de nervios
  • Semana 14

    Crecimiento de lanugo
  • Semana 15-16

    Semana 15-16

    El crecimiento es muy rápido.
    Las cuerdas vocales empiezan a formarse.
    El sentido del tacto comienza a desarrollarse.
    Es capaz de separar los dedos de los pies, de flexionar las muñecas y de cerrar los puños, incluso puede girar la cabeza y abrir su boca.
  • Semana 17-20

    Se forma la grasa en zonas cercanas al cuello, detrás del esternón y alrededor del riñón
    Comienza a crecer cabello
    Cubierto por vermix caseosa
  • Semana 21-24

    Semana 21-24

    Se mueve mucho
    Pesa más de medio Kg
    Se sigue desarrollando el pulmón
    Mide casi 30.5 cm
  • Semana 25-29

    Su sistema nervioso es capaz de controlar los movimientos respiratorios y la temperatura.
    Sus movimientos son más activos.
    Su estómago, intestinos y riñones funionan perfectamente.
    Todos sus órganos sensoriales están despiertos.
  • Semana 30-35

    Semana 30-35

    Mide más de 50 cm
    Pesa más de 2 kg
    Ya tiene la cabeza en dirección hacia el cervix
  • Semanas 36-40

    Semanas 36-40

    Dedica estas últimas semanas a fortalecerse y ganar peso.
    Queda menos líquido amniótico en el útero.
    El cerebro está perfectamente constituido.
    Puede diferenciar lo amargo de lo dulce y se activa el sentido del olfato.
    Su corazón palpita a una velocidad de 120-160 pulsaciones por minuto.
    El bebé está listo para su nacimiento.

Want to make a timeline like this?

Use Timetoast to turn dates, events, milestones, and phases into a clear visual timeline you can build and share. Timetoast is a timeline maker for work, school, research, and stories.