Cronologia de algunos en mi vida

  • Mi Nacimiento

    Mi Nacimiento

    En el cuatro de setiembre yo fui nacido. Cuando yo fui nacido, mi hermana gemela fui nacido además.
  • Mi primero dia de jardín de infancia.

    Mi primero dia de jardín de infancia.

    En Setiembre de 2005 yo tuve mi primero dia de jardín de infancia. Yo no le gusta porque yo no tuve amigos.
  • Nosotros adoptamos mi hermano.

    Nosotros adoptamos mi hermano.

    En Agosto de 2007, mi famillia adoptó mi hermano de Ethiopia. Mi hermano era muy precioso y gordo.
  • Fue a la Mexicó

    Fue a la Mexicó

    En Agosto de 2009 mi famillia y yo fuimos a Mexicó. Nosotros comimos la comida buena.
  • Period: to

    Yo veia a New York.

    Cada año de 2010 hasta ahora yo fui a New York con mis hermanas. Cada año nos visitamos nos abuelos y viviamos con mis abuelos.
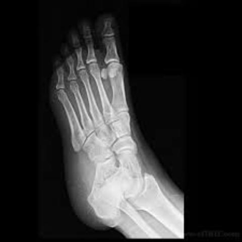
  • Yo duelo mi pie.

    Yo duelo mi pie.

    En Diciembre de 2013 yo duelo mi pie. Mi padre me condujo a la hospital y yo tuve un radiografia.
  • Yo visité mi amigo.

    Yo visité mi amigo.

    En June de 2015 yo visité mis amigo en Florida. Era muy bonita y era bien tiempo.

Want to make a timeline like this?

Use Timetoast to turn dates, events, milestones, and phases into a clear visual timeline you can build and share. Timetoast is a timeline maker for work, school, research, and stories.