Avances tecnológicos y científicos

  • Neuroimagen

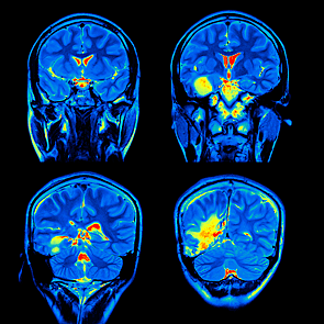
    Neuroimagen

    Es un examen neurológico que permite ver imágenes del cerebro y del sistema nervioso central, el cual utilizan los médicos para encontrar causas e investigar profundamente a pacientes que posiblemente pueden padecer trastornos neurológicos.
    Área de conocimiento: Neuropsicología y medicina imagen tomada de: https://www.investigacionyciencia.es/
  • Electroencefalograma

    Electroencefalograma

    Un electroencefalograma es un examen que se realiza para observar la actividad cerebral y así diagnosticar enfermedades como epilepsia, muerte cerebral, entre otras. Se colocan pequeños electrodos en la cabeza de los pacientes y estas envían resultados a una computadora para luego ser analizados.
    Área de conocimiento: Neuropsicología
    imagen tomada de: https://www.cancercarewny.com/
  • Realidad aumentada

    Realidad aumentada

    La realidad aumentada es otra herramienta que proporcionan las nuevas tecnologías a la psicología. Supone la introducción de elementos virtuales en el mundo real. Se ha utilizado en el tratamiento de fobias a arañas y cucarachas. El terapeuta puede controlar el número, tamaño y movimientos de los insectos.
    Área de conocimiento: Psicología imagen tomada de: https://www.consalud.es/
  • Laberinto de foster

    Laberinto de foster

    El laberinto de Foster o el test de laberinto de Foster es una herramienta que se utiliza para estudiar diferentes aspectos o errores de aprendizaje. Este examen es realizado a adolescentes y adultos y se desarrolla en las áreas de la psicología y el aprendizaje.
    Área de conocimiento: Psicología educativa, neuropsicología y la organizacional imagen tomada de: https://jpinglobal.com/
  • Resonancia Magnetica

    Resonancia Magnetica

    La resonancia magnética es un examen que utiliza ondas de radio para crear imágenes muy detalladas de los órganos y estructuras que se encuentran en todas las partes del cuerpo humano.
    Área de conocimiento: neuropsicología imagen tomada de: http://www.siacardio.com/
  • Neurofeedback

    Neurofeedback

    Es una técnica que consiste en proporcionar retroalimentación inmediata al sujeto sobre sus funciones fisiológicas tales como la respiración, la conductancia, la tensión muscular o la temperatura.
    Área de conocimiento: Psicofisiología, neuropsicología y psicología clínica. imagen tomada de: https://www.news-medical.net/
  • La tele-psicología

    La tele-psicología

    Es la prestación de servicios psicológicos empleando tecnologías de la información y de la telecomunicación, mediante el procesamiento de la información por medios eléctricos, electromagnéticos, electromecánicos, electro-ópticos o electrónicos.
    Área de conocimiento: Piscología clínica, deportiva, educativa, judicial, organizacional, etc. imagen tomada de: https://www.cibersalud.es/
  • Estimulación magnética transcranial

    Estimulación magnética transcranial

    La estimulación magnética transcraneal (EMT), facilita la estimulación del tejido nervioso (córtex, médula espinal y nervios periféricos) de manera no invasiva e indolora, permitiendo de esta
    manera interferir en la actividad normal del cerebro. Funciona a través de campos magnéticos oscilantes administrados por una bobina situada sobre el cuero cabelludo.
    Área de conocimiento: Psicología clínica y neuropsicología
    imagen tomada de: https://autismodiario.com/
  • Software Superlab

    Software Superlab

    Software de manejo y control de experimentación en áreas como la psicología, neuropsicología y neurociencias. imagen tomada de: https://www.adinstruments.com/
  • Ciberterapias o terapia on-line

    Ciberterapias o terapia on-line

    Son todos aquellos servicios psicoterapéuticos, que un profesional de la salud mental ofrece a un paciente, a través de alguna modalidad o de una combinación de las diversas modalidades de comunicación ofrecidas por Internet.
    Área de conocimiento: Psicología clínica, psicología educativa, familiar, de trabajo etc. imagen tomada de: https://psyjourneysite.wordpress.com/
  • Instrumentos de evaluación psicológica

    Instrumentos de evaluación psicológica

    La psicología avanza tanto científica como tecnológicamente de esta manera, se vincularon los instrumentos psicométricos estos ayudan a medir los femémonos psíquicos, este se realiza por medio de una prueba en el que se calcula las habilidades cognitivas a un rango de personas. Esto son instrumentos estructurados de respuestas posibles.

    Área de conocimiento: Psicología
    imagen tomada de: https://www.centrobonanova.com/
  • Uso de las nuevas tecnologías por parte de los psicólogos españoles y sus necesidades

    Uso de las nuevas tecnologías por parte de los psicólogos españoles y sus necesidades

    La tecnología ha tenido muchos desarrollos en diferentes áreas, como por ejemplo la psicología, en la cual implemento la tele terapia, se refiere a intervenciones psicológicas realizadas a traces de internet. Esta es el desglosamiento de la tele psicología, que es utilizadas por los psicólogos sanitarios y clínicos, en la cual consiste en llevar un tratamiento a distancia, con contacto virtual que sustituya al físico, la cual se puede realizar por video conferencias, videollamadas, entre otras.
  • Avances, proyectos y retos internacionales ligados al uso de test en psicología.

    Avances, proyectos y retos internacionales ligados al uso de test en psicología.

    La psicometría y la normalización de la practica profesionalidad de la psicología, delimitaban la vinculación del uso correcto de los test en entorno sociales y científicos, puesto que los progresos que tuvieron algunos científicos fueron positivos puesto que esto ayudaba a orientar a las directrices de manera pragmática y ofrece guías para la buena práctica.
    Área de conocimiento: Psicología imagen tomada de: https://www.utel.edu.mx/
  • Angiografía cerebral

    Angiografía cerebral

    Aproximadamente en el siglo XIX, la psicología incorporo la angiografía como un avance tecnológico y científico, la cual es una técnica que permite el análisis del flujo cerebral y la salud del sistema cerebrovascular, es una técnica en la cual se emplea los rayos x y se aplica contraste para tener una mayor visualización, esto llega a inmovilizar la cabeza.
    Área de conocimiento: psicología clínica, neuropsicología imagen tomada de: https://infomedicos.tumblr.com/

Plan projects on a visual timeline

Map milestones, phases, deadlines, and key events in one place so the sequence is easier to see and share. Timetoast is a timeline maker for work, school, research, and stories.