Banner congreso aps 660x300 1 660x300

Atención Primaria en Salud

  • RECIÉN NACIDO

    RECIÉN NACIDO

    En esta etapa es esencial ofrecer una alimentación y una atención adecuadas durante este periodo con el fin de aumentar las probabilidades de supervivencia y construir los cimientos de una vida con buena salud.comprendiendo de los 0 a los 28 días
  • TÉCNICA DE CEPILLADO

    TÉCNICA DE CEPILLADO

    Debemos considerar la edad del niño, interés, habilidades y grupo familiar.
    Técnica de Fones.- indicada en niños en edad preescolar.
    Técnica de Stillman modificado.- Se coloca el cepillo en la región mucogingival, con los filamentos del cepillo apoyado lateralmente sobre la encía.
    Técnica de Bass.- Indicado en odontopediatría sólo en pacientes portadores de aparatos de ortodoncia fija
  • TIPO DE COLACIONES ENTRE COMIDA

    TIPO DE COLACIONES ENTRE COMIDA

    Las colaciones son aquellas porciones alimenticios que puedes consumir al medio día o por la tarde para disminuir el apetito, evitando que llegues a la mesa muriéndote de hambre y en consecuencia comas en exceso entre ellas puede ser una taza de yogurt con durazno, manzana en trozos con queso panela, barra de amaranto, plátano, galletas tipo maria etc.
  • CURVA DE STEPHAN

    CURVA DE STEPHAN

    El Dr Stephan experimento que justo después de comer el Ph de la boca desciende durante cinco minutos hasta los 5.5 Por debajo de este límite se produce una desmineralización que daña el esmalte de los dientes. Sin embargo, gracias a la acción de la saliva el Ph vuelve a sus niveles de equilibrio entre 20 y 40 minutos más tarde a su ph normal de 7.4
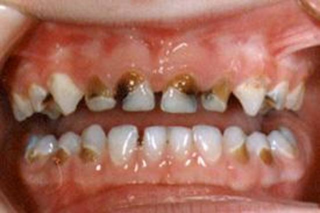
  • CARIES TEMPRANA EN INFANCIA

    CARIES TEMPRANA EN INFANCIA

    La caries temprana en un infante es una enfermedad infecciosa, cuyo factor etiológico principal es la bacteria S. mutans y Lactobacilos, en ella intervienen múltiples factores, físicos, biológicos, ambientales y conductuales; pero además, se ve afectada por el número de bacterias que causan la caries, la disminución en el flujo salival, poca o nula exposición al flúor, higiene oral deficiente.
  • ALIMENTACIÓN NOCTURNA SIN HIGIENE

    ALIMENTACIÓN NOCTURNA SIN HIGIENE

    La higiene es muy importante ya que sin ella propiciariamos muchas enfermedades de las mas conocidas caries. Por eso se debe tener en cuenta las indicaciones de limpieza para un bebe,en este caso lo mas importante conlleva a limpiar y masajear las encías del bebe después de cada comida
  • HORARIOS DE ALIMENTACIÓN

    HORARIOS DE ALIMENTACIÓN

    El horario de comida es muy importante ya que si nosotros comemos a la hora que queremos nos hará un mal en nuestro estomago, por eso de acuerdo a varios factores se debe ingerir cierta cantidad de alimentos y en el horario adecuado para no tener malestares
  • HILO DENTAL

    HILO DENTAL

    Se utiliza para retirar pequeños trozos de comida y placa dental entre los dientes, el hilo se introduce entre los dientes, cuidadosamente, y se hace recorrer el borde de los dientes, en especial por la zona cercana a la encía,previene infecciones de las encías, halitosis y caries lo encontramos en formas variadas, incluyendo monofilamentos y multifilamentos, con cera o sin cera.
  • USO DE FLUORUROS

    USO DE FLUORUROS

    Algunos compuestos de flúor (tal como fluoruro sódico, fluoruro estannoso y monofluorofosfato de sodio) se añaden a los dentífricos para prevenir las caries dentales. También se añaden habitualmente al agua,para lo cual o es bueno consumirlos en una alta cantidad, ni diariamente.
  • ESTRUCTURAS BUCALES

    ESTRUCTURAS BUCALES

    La cavidad bucal es constituida por vestíbulo de la boca, limitado por los labios, carrillos y arcadas dentarias, que comprende de Dientes, encías, glándulas salivales y amígdalas palatinas
  • ALIMENTACIÓN DEL BEBE

    ALIMENTACIÓN DEL BEBE

    Conlleva una alimentación desde recién nacido hasta los doce meses , en donde de 0 a 6 meses el bebe necesita leche materna o formula, requiriendo lactar cada 4 horas preferentemente, de 6 9 meses preguntar a un medico para poder utilizar una cuchara,con alimentos sólidos y de 9 a 12 meses ya podrá recurrir a a mamila
  • COMPOSICIÓN DE LA LECHE MATERNA

    COMPOSICIÓN DE LA LECHE MATERNA

    La leche materna compuesta esencialmente por calostro que es presente en la madre de los 3 a 5 días después del nacimiento del bebe, rica en proteínas, hidratos de carbono, alto numero de leucocitos, anticuerpos y baja e grasas
  • FORMULA LÁCTEA

    FORMULA LÁCTEA

    La formula láctea, como la mayoría de las cosas tiene ventajas y desventajas, entre las desventajas en las que el bebe se pueda someter es que debe darse en la porción adecuada, de lo contrario causara consecuencias como empacho o diarrea
  • SUCCIÓN NUTRITIVA Y NO NUTRITIVA

    SUCCIÓN NUTRITIVA Y NO NUTRITIVA

    gran parte de donde se obtienen nutrientes es de la leche materna por medio de la succión de la cual la succión nutritiva es la que alimenta al bebe durante la lactancia cogiendo adecuadamente el pezón, siendo de forma física, la succión no nutritiva es en la cual el bebe se alimenta de otros medios menos el físico y el bebe no succiona para obtener leche si no para calmarse, no llenando su saciedad.
  • HIGIENE BUCAL

    HIGIENE BUCAL

    Es importante llevar a a cabo la higiene bucal desde pequeños, ya que así se puedan combatir las caries o prevenir estas, desde el nacimiento es importante masajear y limpiar encías, paladar,carrillos y labios del bebe, utilizando una gasa humedecida en agua ,o un dedal de silicona
  • DIENTES NATALES Y NEONATALES

    DIENTES NATALES Y NEONATALES

    Los dientes natales y neonatales, son aquellos que han erupcionado antes del tiempo normal y que también son clasificados de acuerdo a su madres, ya sean maduros o inmaduros, estos se caracterizan por estar en su desarrollo total, amarillentos con dentina y esmalte hipoplastica y con ausencia de desarrollo radicular y que por ende pueden causar algunas alteraciones en tejidos blandos.
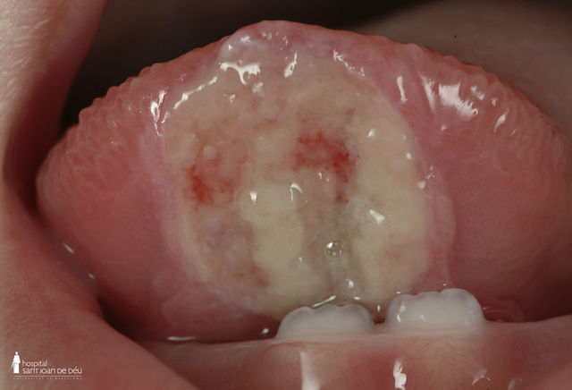
  • ULCERA DE RIGA FEDE

    ULCERA DE RIGA FEDE

    Es una enfermedad causa daño en la mucosa de la lengua, econtrandose por debajo de la lengua(sublingual) causada por traumatismo y es dada por movimientos de la lengua al succionar a causa de erupción de dientes incisivos centrales
  • FLAP

    FLAP

    Es una alteración morfogenica embriologica, debido a la detención de los procesos palatinos, que afecta de forma aislada o combinada al labio superior, arcada alveolar, paladar osea.Sus causas pueden ser de tipo hereditario, radiaciones, alcohol, estrés tabaco
  • LACTANTE MAYOR

    LACTANTE MAYOR

    Esa etapa abarca de los 28 días de vida, hasta los 24 meses (1 a 2 años) en esta etapa es importante promover la salud dental, favorecer el desarrollo social y efectivo del niño de modo que en esa etapa empieza a explorar por medio de la boca, introduce un sin fin de cosas a su cavidad oral, para sentir placer,para llenar el vació,en el aspecto de que ya no todo el tiempo esta con mama.
  • PROMOCIÓN DE LA LACTANCIA MATERNA

    PROMOCIÓN DE LA LACTANCIA MATERNA

    La lactancia materna es una forma de proporcionar un alimento ideal para el crecimiento y el desarrollo sanos de los lactantes, también es parte integrante del proceso reproductivo, con repercusiones importantes en la salud de las madres, ya que de la lactancia materna se adquieren mucho mas nutrientes que dela formula láctea por ello es recomendable que la lactancia en los primeros instantes de el nacimiento del bebe.
  • LECHE MATERNA COMO FACTOR DE RIESGO EN CARIES

    LECHE MATERNA COMO FACTOR DE RIESGO EN CARIES

    La leche materna es muy saludable, para el crecimiento del bebe, para su buen desarrollo, pero lo mas recomendable es ingerirse hasta los 6 meses y complementarla con otros alimentos hasta los dos años, y la relación que pueda encontrase con la caries es que si no se tiene una limpieza adecuada las bacterias de la boca interactuen con los sustratos que se obtiene de la leche produciendo caries dental.
  • HIGIENE DEL SENO MATERNO

    HIGIENE DEL SENO MATERNO

    El cuidado del seno materno durante la lactancia es muy importante, ya que se debe tener presente ciertos puntos para que la lactancia hacia el bebe no tenga repercusión alguna. es importante lavarse las manos antes de amamantar al bebe, siendo un factor mas la ducha cotidiana, así como el utilizar discos absorbibles de lactancia, no utilizar ropa ajustada ni aceites o cremas para la resequedad del seno, ya que podría agravar el problema
  • USO PROLOGADO DE BIBERÓN

    USO PROLOGADO DE BIBERÓN

    Se dice que el biberón ni el chupete son malos, prolongar su uso más de la cuenta puede ocasionar problemas al bebé relacionados con caries, maloclusiones bucales e incluso dificultades de pronunciación, mordida abierta, etc lo cordial es que se retire el chupón antes de los años
  • HÁBITOS ALIMENTICIOS

    HÁBITOS ALIMENTICIOS

    Los hábitos alimenticios se transmiten de padres a hijos y están influidos por factores como el lugar geográfico, el clima, la vegetación, la disponibilidad de la región, costumbres y experiencias, pero también tiene que ver la capacidad de adquisición, la forma de selección y preparación de los alimentos y la manera de consumirlos