Descarga

ADULTEZ-ANCIANIDAD (PROBLEMAS DE SALUD ORAL)

By Meel
  • CARIES DENTAL
    1 CE

    CARIES DENTAL

    La Organización Mundial de la Salud (OMS) ha definido la caries dental como un proceso localizado de origen multifactorial que se inicia después de la erupción dentaria, determinando el reblandecimiento del tejido duro del diente y que evoluciona hasta la formación de una cavidad.
  • ENFERMEDAD PERIODONTAL
    2

    ENFERMEDAD PERIODONTAL

    La enfermedad periodontal es una enfermedad infecciosa de los tejidos de apoyo de la dentadura (encías, raíz y hueso alveolar). Provoca una inflamación, sangrado de las encías y la formación irreversible de bolsas periodontales.
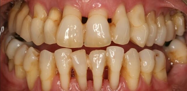
  • RESTAURACIONES DENTALES
    3

    RESTAURACIONES DENTALES

    Las restauraciones dentales son reconstrucciones de los dientes que ocupan un espacio correspondiente a los tejidos dentarios, devolviéndole al diente su función. Esto puede deberse a fracturas o caries profundas. Pero si están mal ajustadas pueden causar alteraciones en el sistema estomatógnatico.
  • ENDODONCIA
    4

    ENDODONCIA

    Endodoncia también conocida como “tratamiento de conducto o de canales”, es un procedimiento o técnica odontológica que se realiza en casos específicos de pacientes en los que generalmente la caries al ser tan profunda afecta la estructura más sensible del diente llamada “pulpa”.
    Este tratamiento, puede ayudar a prolongar la vida del órgano dentario, sin embargo con el paso del tiempo se van debilitando, y se vuelven frágiles, cambian de color.
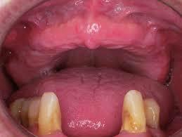
  • EDENTULISMO
    5

    EDENTULISMO

    El edentulismo es un estado de la salud bucal que corresponde a la ausencia de piezas dentarias, se clasifica en edentulismo parcial y edentulismo total.
  • Ciertos cambios ocurren lentamente con el tiempo en nuestros cuerpos a medida que envejecemos:
    6

    Ciertos cambios ocurren lentamente con el tiempo en nuestros cuerpos a medida que envejecemos:

    -Las células se renuevan a una tasa más lenta
    -Los tejidos se vuelven más delgados y menos elásticos
    -Los huesos se tornan menos densos y fuertes
    -El sistema inmunitario puede volverse más débil, por lo que se puede presentar una infección más rápidamente y la sanación toma más tiempo. Todo esto debido a enfermedades crónico-degenerativas y la polifarmacia
  • XEROSTOMÍA
    7

    XEROSTOMÍA

    -Problemas para degustar, masticar y tragar
    -Úlceras bucales
    -Enfermedad de las encías y caries dentales
    -Infección por hongos en la boca (candidiasis)
  • RECESIÓN DE LA MUCOSA
    8

    RECESIÓN DE LA MUCOSA

    -No cepillarse ni usar hilo dental todos los días
    -No recibir atención dental regular
    -Fumar
    -Diabetes
    -Resequedad de la boca
    -Sistema inmunitario debilitado
  • CANCER ORAL
    9

    CANCER ORAL

    El cáncer oral es más común en las personas mayores de 45 años, y es dos veces más común en los hombres que en las mujeres.
  • PROTESIS MAL AJUSTADAS
    11

    PROTESIS MAL AJUSTADAS

    Provocan mal nutrición, problemas digestivos, lesiones en la cavidad oral y si hay una pobre higiene oral, pueden haber problemas por hongos oportunistas. También causa inseguridad y aislamiento del Adulto mayor o portadores de prótesis.
  • 12

    REFERENCIAS BIBLIOGRAFICAS

    -Enfermedades bucales en el adulto mayor
    versión On-line ISSN 1560-4381
    CCM vol.17 no.4 Holguín oct.-.-dic. 2013
    DISPONIBLE EN: http://scielo.sld.cu/scielo.php?script=sci_arttext&pid=S1560-43812013000400008 -Impacto de la Salud Oral en la Calidad de Vida de Adultos Mayores
    Rev Clin Med Fam vol.5 no.1 Albacete feb. 2012
    DISPONIBLE EN: http://scielo.isciii.es/scielo.php?script=sci_arttext&pid=S1699-695X2012000100003

Looking for a timeline maker?

Create timelines for projects, roadmaps, history, lessons, legal cases, and stories with Timetoast. Timetoast is a timeline maker for work, school, research, and stories.