Px don juan

19-03-20.ACT6- GARCÍA_MONSERRAT

  • Admisión e historia clínica

    Admisión e historia clínica

    En esta primera cita se le realizó al paciente la historia clínica correspondiente. De esta forma se recabó sus antecedentes patológicos y no patológicos, también los antecedentes heredo-familiares y su historial dental. Dentro de los que se encontró que sufre de gastritis desde la infancia, igualmente es alérgico a la penicilina y actualmente no se encuentran bajo ningún tratamiento farmacológico.
  • Toma de modelos y fotografías intraorales

    Toma de modelos y fotografías intraorales

    Se realizó la toma de modelos como protocolo para una correcta valoración y estudio del paciente; como también la toma de fotografías de estudio intraorales del maxilar y mandíbula. En estas fotografías intraorales se encontró que el paciente tiene el frenillo labial superior extendido. Lo que ha provocado el diastema en el paciente.
  • Serie radiográfica

    Serie radiográfica

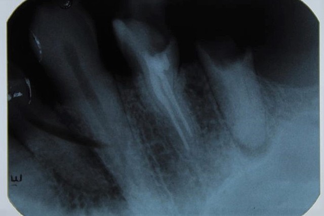
    En esta cita se tomaron 14 radiografías periapicales, que servirán de apoyo para un diagnóstico adecuado periapical de los órganos dentarios. En el órgano dentario 1.4 se encontró una endodóncia previa sin obturación y en la pieza 1.5 se encuentra sin corona dentaria, con ensanchamiento periodontal y una lesión apical.
  • Prueba de articulado

    Prueba de articulado

    Colocación del arco facial, para obtener las dimensiones fáciles del pacientes. Donde se encontró que el paciente tiene un tipo de mordida clase Angle molar no valorable y clase canina tipo I en la porción derecha, y en la izquierda clase III.
  • Sondeo periodontal

    Sondeo periodontal

    En el sondeo periodontal se encontró que la bolsa periodontal más profunda en el sector superior fue en el O.D 2.8 con un valor de 8, en la porción mesiovestibular, y en el sector inferior en el O.D 4.7 con un valor de 6, en la porción mesiovestibular
  • Análisis extraoral

    Análisis extraoral

    Tipo de cara mesocefálico, tampoco se encuentra fatiga muscular en la región cervical. El tipo de sonrisa es baja ya que se expone menos del 10% de los órganos dentarios cuando sonríe.
  • Profilaxis y planteamiento del tratamiento

    Profilaxis y planteamiento del tratamiento

    Previo a la profilaxis se le explicó al paciente la técnica de Bass. Se procedió a realizar el tratamiento y finalmente se le propuso el tratamiento tentativo que se le realizará.
  • Curetaje cerrado superior

    Curetaje cerrado superior

    En los cuadrantes 1 y 2 se realizó curetaje cerrado con la finalidad de eliminar las bolsas periodontales mayores de 3 milímetros. Durantes este procedimiento se anestesió con 4 cartuchos de lidocaína con epinefrina. El sangrado fue moderado y no se presentó ninguna complicación quirúrgica.
  • Curetaje cerrado inferior

    Curetaje cerrado inferior

    Se realizó curetaje cerrado en los sectores 3 y 4,donde no se presentó ninguna complicación y el sangrado fue el habitual.
  • Exodoncia del órgano dentario 1.8

    Exodoncia del órgano dentario 1.8

    Se realizó la extracción del órgano dentario 1.8, ya que este tenía una movilidad grado 2 y una pérdida de inserción de 6 mm. Para el procedimiento se anestesió con dos cartuchos de lidocaína con epinefrina, el acto quirúrgico fue simple ya que sólo se utilizaron elevadores chicos y medianos. El sangrado fue moderado.
  • Inicio del retratamiento endodóntico

    Inicio del retratamiento endodóntico

    Debido a que el tratamiento endodóntico previo hallado en el paciente se observa filtrato y desobturado se tomó la decisión de realizar un retratamiento endodóntico para eliminar microorganismo que se haya filtrado a lo largo del tiempo que permaneció desobturado el diente.
  • Exodoncia de los órganos dentarios 1.5 y 2.8

    Exodoncia de los órganos dentarios 1.5 y 2.8

    Se realizará la extracción del O.D 2.8 debido a que tiene movilidad grado 2 y una pérdida de inserción de 5mm y esto podría provocar el fracaso de nuestra prótesis removible.
    La exodoncia del O.D 1.5, es debido a que ya no hay corona dentaria para poder rehabilitar de forma protésica y dejar el resto radicular es una fuente de infección potencial.
  • Final del tratamiento endodóntico

    Final del tratamiento endodóntico

    Después de haber localizado la conductometría se procede a obturar los conductos con celapex y guttaperchas.
  • Frenilectomía del frenillo labial superior

    Frenilectomía del frenillo labial superior

    Se realizará esta cirugía pre-protésica para poder tener un frente estético con las carillas directas que se colocaran posteriormente, está cirugía también ayudará que el frenillo labial no quede presionado con las restauraciones.
  • Resinas en los órganos dentarios 3.4, 3.5 y 3.7

    Resinas en los órganos dentarios 3.4, 3.5 y 3.7

    Se colocarán restauraciones de resina en los órganos dentarios 3.4, 3.5 y 3.7, debido a que presentan caries. Se realizará aislamiento absoluto, y con la pieza de alta se retirarán las lesiones cariosas, finalmente se obturará con resina según el tono del órgano dentario.
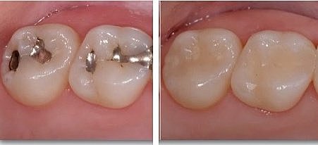
  • Cambio de restauración filtrada

    Cambio de restauración filtrada

    Se cambiarán las restauración filtrada de las piezas dentarias 2.1, 2.2, 2.4. Se utilizará aislado absoluto, con una fresa de carburo número 4 se retirará la restauración previa y finalmente se obturará con resina del tono del órgano dentario.
  • Preparación para incrustación de las piezas 3.6 y 4.7

    Preparación para incrustación de las piezas 3.6 y 4.7

    Debido a que la extensión de diente que se tiene que restaurar es amplia se decidió en colocar incrustaciones. Se aísla, y se preparan las paredes de la cavidad de forma convergente. Finalmente se toman modelos y se obtura de forma provisional. El modelo se manda al laboratorio para poder realizar el diseño de la incrustación.
  • Cambio de restauración filtrada

    Cambio de restauración filtrada

    Se realizará el cambio de las restauraciones de las piezas dentarias 4, 2.7, 4.5 y 4.6, ya que estás debido al paso del tiempo se han filtrado. Como primer paso se aislará de forma absoluta los órganos dentarios, posteriormente se retirará la obturación filtrada y finalmente se colocará una resina estética según el color del tono del diente.
  • Poste y corona

    Poste y corona

    Se coloca el poste en el O.D 14, para que tenga fuerza suficiente para soportar fuerzas oclusales. Posterior a colocar el poste se prepara el diente para una corona y se coloca un provisional
  • Cementación de incrustación

    Cementación de incrustación

    Se prueban las incrustaciones en la cavidad y se cementan con cemento dual, se verifican los puntos de oclusión y se pulen.
  • Cementación de corona

    Cementación de corona

    Una vez realizadas todas las pruebas de la corona, se procede a cementarla con ionómero tipos 1.
  • Diseño de prótesis removible

    Diseño de prótesis removible

    Con una cucharilla comercial y alginato se toman modelos de estudio para poder elaborar el diseño de la prótesis removible.
  • Colocación de restauraciones directas

    Colocación de restauraciones directas

    Finalmente que se realizaron todas las correcciones oclusales, se colocarán de forma directa las restauraciones de resina en los órganos dentarios anteriores. Esto se realizará con un aislado absoluto de los órganos dentarios 1.1, 1.2, 1.3, 2.1, 2.2 y 2.3.
  • Toma de modelos para guarda oclusal

    Toma de modelos para guarda oclusal

    Con la finalidad de proteger las restauraciones directas se confeccionará una guarda oclusal desprogramadora. Se tomarán modelos de estudio y se bajará con un acetato según el grosor adecuado para el paciente.
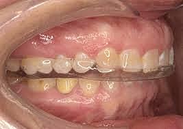
  • Entrega de guarda oclusal

    Entrega de guarda oclusal

    Después de retirar el acetato del modelo y de haberlo pulido se hace entrega del mismo al paciente con las indicaciones pertinentes.

Want to make a timeline like this?

Use Timetoast to turn dates, events, milestones, and phases into a clear visual timeline you can build and share. Timetoast is a timeline maker for work, school, research, and stories.