14h28 2001 ge rt 4 ct scanner 1024x576

Tomografía Computarizada

  • Imagen RX

    Imagen RX

    William Morton realiza la primer imagen de un esqueleto completo.
  • Imagen RX's en movimiento

    Imagen RX's en movimiento

    El Dr. Karol Mayer obtuvo las primeras imágenes usando un tubo de Rayos-X en movimiento y un cassete de película.
  • Radón

    Radón

    J. Radón describe en forma matemática la reconstrucción de un objeto a partir de sus proyecciones.
  • Prototipo de escáner de cabeza

    Prototipo de escáner de cabeza

    los Neurólogos James Ambrose y Louis Kreel probaron el primer prototipo de escáner de cabeza, en un Hospital en Wimbledon, Reino Unido.
  • Imagen craneal EEUU

    Imagen craneal EEUU

    Se instala en EEUU el primer equipo de tomografía computarizada especializado en imágenes craneales.
  • Primera generación

    Primera generación

    Este escáner de primera generación emplea en principio un solo tubo y un solo detector con movimiento de traslación y rotación que repetía sucesivamente hasta realizar la exploración completa. El método de recopilación de datos se basa en el principio de traslación y rotación del bloque tubo-detectores.
    Se tenía un solo detector desplazándose por el paciente.
    Tiempo de exploración de 5 minutos.
    Solo para cerebro.
  • Segunda generación

    Segunda generación

    Aumenta el número de detectores a 30-100.
    Se amplia el haz para permitir una cobertura de 10°.
    El tiempo de exploración disminuyó a 20 segundos.
    La dosis de radiación efectiva de los escáneres de primera generación es de 2 a 5 mSv por exploración
  • Period: to

    Primera empresas distribuidoras

    Neurscan (escáner de cabeza)
    Disco (escáner de cuerpo entero)
    Technicare
    General Electric
    Siemens
    Philips
  • Tercera generación

    Tercera generación

    Estaba constituido únicamente por un sistema de rotación y utilizaba un haz de rayos X abierto en abanico (50°).
    Era necesario un cambio en el sentido de rotación en cada corte, lo que requería un tiempo en puesta de funcionamiento y de frenado no despreciable.
    El ritmo de adquisición era de 2 cortes cada 6 segundos.
  • Escáner de haz de abanico

    Escáner de haz de abanico

    Se desarrolló el primer escáner de haz de abanico
    Haz cubría una gran parte del cuerpo
    Giraba 360° en una dirección, tomaba imagen, y360° en otra dirección, segunda imagen.
    Se detenía entre cada imagen.
    Cambiaba las direcciones mientras la mesa del paciente avanzaba.
  • Cuarta generación

    Cuarta generación

    Detectores acomodados en corona de 360° y un tubo de rayos X que gira alrededor del paciente.
    Reducción de problemas mecánicos y aumento en velocidad de rotación.
  • Premio Nobel

    Premio Nobel

    Godfrey N. Hounsfield y Allan Cormack ganadores del premio Nobel en fisiología y medicina por crear la TC
  • Principio de Hounsfield

    Principio de Hounsfield

    El coeficiente de atenuación lineal, expresa la atenuación que sufre un haz de rayos X, al atravesar una determinada longitud de una sustancia dada; este coeficiente es específico de cada sustancia o materia, lo que permite la diferenciación de tejidos en el estudio.
  • Reconstrucción de proyección de intensidad máxima

    1.- Las estructuras óseas se observan como líneas blancas.
    2.- Se proyecta el vóxel con el mayor valor de atenuación en cada vista.
    3.- Facilita una visualización rápida y efectiva de estructuras densas (vasos contrastados, huesos).
  • Reconstrucción de proyección de intensidad máxima de rotación

    1.- Es una reconstrucción de MIP enfocada en una dirección.
    2.- Crea una serie de imágenes MIP rotando la vista de la reconstrucción MIP.
    3.-Resulta en un conjunto de imágenes que si se unen, da la impresión de rotación.
  • Número de CT

    Al realizar la reconstrucción de la imagen de forma computacional se obtienen los números CT que están directamente relacionados con el coeficiente de atenuación. Para visualizar la imagen se le asigna un tono de gris a cada número, sí se selecciona un pequeño grupo de números CT, esto permite diferenciar con mayor claridad las estructuras que se buscan estudiar ya que se logra un gran contraste entre cada número CT.
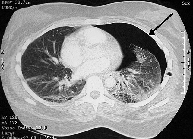
  • TC en tórax

    TC en tórax

    Se utiliza en: 1) Hemorragia intratorácica.
    2) Detectar enfermedades del corazón: neurismas de la aorta, calsificación de la arteria coronaria.
    3) Émbolos pulmonares.
  • Dosis de radiación recibida

    Dosis de radiación recibida

    Se desarrollan diferentes formas para determinar la radiación recibida: 1) CTDI: es la medida de dosis que depositada en un corte axial. 2) CTDI vol: en esta se considera el tamaño del cuerpo que se esta escaneando. 3)DLP: esta relacionada con el indice de dosis CTDI vol, representa la longitud de la salida de radiación a lo largo del eje z.
  • Period: to

    Escáner de espiral de multirebanadas

    Creación del escáner de espiral de multirebanadas.
    -Combina haz en forma de cono y movimiento deslizante. -Realiza un gran número de imágenes del interior del cuerpo de un paciente en un corto período de tiempo.
  • Windowing

    Windowing

    Esta técnica consiste en en modificar los niveles de gris de la imagen para visualizar diferentes tejidos.
    https://radiopaedia.org/articles/windowing-ct
  • Norma mexicana

    Norma mexicana

    NOM-158-SSA1-1996, Norma Oficial Mexicana Salud ambiental. Especificaciones técnicas para equipos de diagnóstico médico con rayos “X”
  • Sulfato de bario

    Sulfato de bario

    Se comienza a usar el sulfato de bario como agente de contraste.
    Una mujer en etapa de lactancia debe esperar 24 horas para amamantar al bebé después de que haya recibido el agente de contraste.
  • Componentes de un tomógrafo

    Componentes de un tomógrafo

  • Norma europea

    Norma europea

    IEC 60601-2-44 Ed. 2.1 en: Equipo Médico Eléctrico - Parte 2-44: Requerimientos particulares para la seguridad de los equipos de tomografía computarizada por rayos “X”.
  • Yodo

    Yodo

    Se comienza a usar el yodo como agente de contraste de forma inyectada.
    Mejora las estructuras tisulares de varios órganos como cerebro, la columna vertebral, el hígado y los riñones
    Se puede llegar a tener una reacción alérgica a un agente de contraste que contenga yodo.
  • AQUILION ONE™: El primer sistema de TC dinámico volumétrico del mundo

    AQUILION ONE™: El primer sistema de TC dinámico volumétrico del mundo

    La historia de la TC volvió a cambiar en 2007 con la presentación del escáner dinámico volumétrico de TC de una amplitud de 160 mm y un detector de 320 filas (comúnmente tienen 64 filas).
  • Características de imagen

    Una imagen rápida de TC requiere de 30 a 60 proyecciones.
    Una imagen de alta resolución requiere de al menos 200 proyecciones.

Looking for a timeline maker?

Create timelines for projects, roadmaps, history, lessons, legal cases, and stories with Timetoast. Timetoast is a timeline maker for work, school, research, and stories.