Membrana plasmatica

Modelos De Membrana Celular

  • Modelo de Overton

    Modelo de Overton

    Descubió que las sustancias liposolubles penetraban en las células. Dedujo que la membrana estaba formada por lípidos y sugirió que las cubiertas celulares eran una mezcla de colesterol y lectina.
  • Modelo Irvin Langmuir

    Modelo Irvin Langmuir

    Estudió el comportamiento de los fosfolípidos en benceno y al evaporarlo, observó que los grupos polares se disponen perperndicularmente.
  • Modelo de Gorter y Grendel

    Modelo de Gorter y Grendel

    Extrajeron los lípidos de la membrana de eritrocito y al externderlo sobre agua notaron que estos ocupaban una superficie dos veces mayor a la superficie del eritrocito, concluyendo que la membrana tenía una bicapa lípidica.
  • Modelo de Davson y Danielli

    Modelo de Davson y Danielli

    Proponen el "modelo edl sandwich" en donde las membranas biologicas consisten en una bicapa lípidica que estan recubiertas por proteínas, una capa de estas proteínas esta en contacto con el medio exterior (Hidrofobicas) y la otra capa con el medio interior (hidrofilicas).
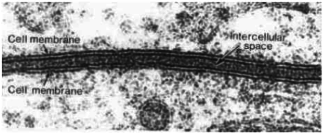
  • Modelo de Robertson

    Modelo de Robertson

    Observó que la membrana plasmatica estaba compuesta por las tres láminas. Sugirió que el espacio teñido era una zona hidrofobica y que las líneas oscuras eran las cabezas de los fosfolipidos y las capas de las proteinas la superficie de la membrana.
  • Modelo de Unwin y Henderson

    Modelo de Unwin y Henderson

    Propusieron que la mayoría de las proteínas tienen en su estructura primaria una o más secuencias hidrifobicas que abarcan la bicapa lípidica, la mayoría de las proteínas de membrana contienen segmentos trasmembrana, estos segmentos anclan las proteínas a la membrana y las mantiene alineadas correctamente dentro de la bicapa lípididca.
  • Modelo de Singer y Nicholson

    Modelo de Singer y Nicholson

    Modelo del "mosaico fluido" las proteínas, lípidos e hidratos de carbono se sitúan en una configuración estable. Los lípidos forman la bicapa lípidica y las proteínas adoptan una configuración en la membrana según la interacción de sus partes con las moléculas que la rodean

Want to make a timeline like this?

Use Timetoast to turn dates, events, milestones, and phases into a clear visual timeline you can build and share. Timetoast is a timeline maker for work, school, research, and stories.