Neurociencia

La Neuropsicologia en el Tiempo

  • Jean-Baptiste Bouillaud

    Jean-Baptiste Bouillaud

    Se distinguio dos tipos de patologias de lenguaje uno articuatorio y otro amnesio correspondientes a la forma motora y sensorial de afasia.
  • Periodo Preclasico

    Periodo Preclasico

    La primera referencia de una alteracion cognoscitiva de daño cerebral perdida de lenguaje, sucede en Egipto hacia el año 3500 ac, la primera referencia se encuentra en el corpus de Hipocrates, alrededor de 400 ac cita dos tipos de alteraciones los afonos y los anaudos como perdida del lenguaje.
  • Periodo Contemporaneo

    Periodo Contemporaneo

    Considerado uno de lso maximos representantes de la neuropsicologia contemporanea contrubuyendo a su consolidacion de la disciplina autonoma, inicialmente estudio el lobulo frontal, comprobando el coeficiente iintelectual, segun sus investigacion es posible de la formacion de nuevas sinapsis.
  • Nacimiento de la Neuropsicologia

    El termino de neuropsicologia fue utilizado por primera vez por William Osler, aunque se popularizo en 1949 quedo definitivamente asentado como una disciplina
  • Primeros experimentos

    Primeros experimentos

    Realizo lesiones experimentales en perros comprobando que la extirpacion de amplias areas del cerebro ganglios basales, neocortex producian una perdida de motivacion y de capacidad cognitiva a la extension de la lesion.
  • Periodo Moderno

    Periodo Moderno

    Fundador de la neuropsicologia moderna contribuyo activamente al desarrollo de la neuropsicologia, destacada la division del sistema nervioso en tres niveles, en el primer nivel inferior o espinal se localiza en la medula espinal y el tronco cerebral, en segundo nivel sensorial y motor, a nivel superior se encuentran los lobulos frontales.
  • Periodo Clasico

    Periodo Clasico

    Paul Broca presento este caso para fortalecer el punto de vista localizacionista, sugirio ya que un paciente habia perdido el lenguaje luego de una lesion frontal, la capacidad para hablar donominada afemia.
  • Kurt Goldstein

    Kurt Goldstein

    Realizo grandes aportes a la Neuropsicologia Clinica estudiando las consecuencias de las heridas de la guerra del sistema nervioso por lo que puede ser considerado como uno de los pioneros de la rehabilitacion neuropsicologica del daño cerebral. como las lesiones del hemisferio izquierdo ( ansiedad, anguistia, depresion y miedo) en el hemisferio derecho reacciones de indiferencia.
  • Neuropsicologia Dinámica

    Neuropsicologia Dinámica

    Aelexander Luria y su objetivo es la profundizacion en el estudio de las relaciones entre el cerebro y la conducta estudiando dinamicamente las relaciones entre los factores neurologicos y la estructura de procesos cognitivos
  • Neuropsicologia Cognitiva

    Neuropsicologia Cognitiva

    Abarca las relaciones entre la conducta y los sitemas de procesamientos en todo este proceso congitivo existen tres etapas de procesamiento.
    1. Porcesamiento de entrada accede al encefao o al analisis perceptivo.
    2. Pensamiento serial o paralelo, almacenamiento de la informacion.
    3. Pensamiento de salida es el encargado de tranformarse en algun tipo de conducta pensamiento o acción.
  • Enfermedad Cerebrovascular

    Enfermedad Cerebrovascular

    Se considera cualquier tipo de alteracion en el funcionamiento cerebral originado por alguna condicion patologica, por cambios de la permeabilidad o roptura de sus parades, puede obtruirse por un trombo o una embolia o por una aumento de viscosidad de la sangre Adams y Victor (1985)
    Isquemias: interrupcion del flujo sanguineo
    Hemorragias: Ruptura de un vaso sanguineo
  • Enfermedades Degenerativas

    Enfermedades Degenerativas

    Significa una perdida progresiva de las celulas nerviosas que se derivanen signos y sintomas neurologicos, entre ellas el sindrome de dememensia progresiva, el azlheimer, la enfermedad de huntington y la enfermedad del parkinson
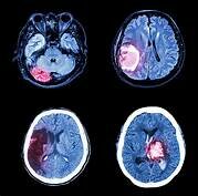
  • Tumores

    Tumores

    Se reifere al crecimiento anormal de las celulas organizadas de formas apitca que crecen pero no cumplen un proposito. Se clasifican Malignos o Benignos.

Looking for a timeline maker?

Create timelines for projects, roadmaps, history, lessons, legal cases, and stories with Timetoast. Timetoast is a timeline maker for work, school, research, and stories.